Gutartige Gebärmutterknoten

Gutartige Gebärmutterknoten (sog. Leiomyome) sind häufig. Sie betreffen 30-40% der Frauen jenseits des 35. Lebensjahres. Mögliche klinische Zeichen eines solchen Gebärmutterknotens können Rücken- und Bauchschmerzen, übermässiger Harndrang, Verstopfung sowie eine übermässige und verlängerte Periode (Mens) sein.

Die Ausdehnung und Anzahl solcher Knoten wird in der modernen Medizin v.a. mittels Magnetresonanztomographie (MRT) bestimmt (Gebärmutterknoten).

Nach einer solchen Ausgangsuntersuchung kann bei Patientinnen, die unter den bestehenden Symptomen leiden, eine Therapie angeboten werden.

Behandlung

Neben der Gebärmutterentfernung können solche Knoten auch ausgeschält werden. Mit gleichwertigem Erfolg hat sich im letzten Jahrzehnt weltweit die Verödung solcher Knoten durch mikrotherapeutische Verstopfung der zuführenden Gefässe etabliert.

Die Zuverlässigkeit und Effizienz eines solchen Vorgehens ist mit der höchsten medizinischen Sicherheitsstufe nachgewiesen und anerkannt worden. Die Behandlung findet in enger Absprache mit den Kollegen der Frauenheilkunde statt.

Diese sogenannte Gefässverstopfung (syn. Embolisation) erfolgt durch die Leistenarterie (Kathetereingriff), in welche ein ca. 1.4 mm dünner Schlauch (Katheter) bis in die Gebärmutterarterie gelegt wird. Über diesen Schlauch wird dann zum einen der Tumor mit Kontrastmittel dargestellt und dann werden feinste (500-700µm) Kügelchen (Partikel) in die Gefässe des Tumorknotens verabreicht.

Diese Kügelchen verstopfen das Tumorgefäss zunehmend (Resultat), sodass immer weniger Blut in den Knoten gelangt. Hierdurch ist dieser von der Versorgung durch Nährstoffe und Sauerstoff abgeschnitten, sein Gewebe stirbt und der Knoten schrumpft (Schrumpfung).

Eine solche mikrotherapeutische Behandlung ist effizient und führt bei über 90% der Patientinnen zur Beschwerdefreiheit, oder zumindest zur deutlichen Besserung.

Vorteile der mikrotherapeutischen Behandlung gegenüber einer offenen Operation

Offensichtliche Vorteile liegen im Erhalt der Gebärmutter, im kurzen Spitalaufenthalt (ca. 3 Tage) und in der fehlenden Vollnarkose während des Eingriffs.

Gebärmutterknoten

Magnetresonanztomographie bei einer Patientin mit Gebärmutterknoten. Die Gebärmutter ist stark vergrössert und die gutartigen Knoten (Pfeile) nehmen nahezu das gesamte kleine Becken ein.

zentrum-fuer-mikrotherapie-gebaermutterknoten
© Interventionelle Radiologie - Swiss Intervention

Kathetereingriff

Schematische Übersicht des Kathetereingriffs. Über die rechte Leistenarterie wird ein Katheter in die Gebärmutterarterie gelegt, über welchen dann in der Folge die Therapie erfolgen kann.

zentrum-fuer-mikrotherapie-kathetereingriff
© Interventionelle Radiologie - Swiss Intervention

Partikel

Die verwendeten kleinsten Kügelchen (Partikel) werden über eine Spritze (a) und den verwendeten Schlauch eingebracht. In der Mikroskopie (b) ähneln Sie entfernt kleinsten Tischtennisbällen, wobei diese jedoch nur 1/15 Millimeter gross sind und somit über den zarten Schlauch in das Tumorgefäss eingebracht werden können (c).

zentrum-fuer-mikrotherapie-partikel
© Interventionelle Radiologie - Swiss Intervention

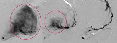
Resultat

Die Verstopfung der Gefässe erfolgt unter ständiger Bildkontrolle mittels einer modernen Durchleuchtungsanlage. Hierüber wird zum einen gewährleistet, dass wirklich nur das Tumorgefäss behandelt und verschlossen wird, zum anderen wird sichergestellt, dass der Eingriff erst dann beendet wird, wenn wirklich alle Tumorgefässe behandelt und verstopft wurden.

  • Im zeitlichen Ablauf sieht man eine kräftige Kontrastmittelaufnahme des Tumorknoten vor der Behandlung (a)
  • Diese wird im Verlauf weniger (b)
  • Am Ende der Behandlung  ist sie gar nicht mehr nachweisbar. Alle Tumorgefässe wurden somit erfolgreich blockiert (c)
zentrum-fuer-mikrotherapie-resultat
© Interventionelle Radiologie - Swiss Intervention

Schrumpfung

Als Reaktion auf die Minderversorgung mit Sauerstoff und Nährstoffen schrumpft der vormals prall durchblutete Knoten im zeitlichen Verlauf nach der Verstopfungstherapie.

zentrum-fuer-mikrotherapie-schrumpfung
© Interventionelle Radiologie - Swiss Intervention