Das Zentrum für Herzbildgebung St. Anna bietet ein umfassendes Leistungsspektrum an. Dies erlaubt uns, Ihnen individuell die beste Untersuchungsmethode zukommen zu lassen. Nachfolgend finden Sie eine Erklärung zu den unterschiedlichen Bildgebungsmodalitäten. Gerne beantworten wir Ihnen auch anfallende Fragen unter der Rubrik «Häufige Fragen». Natürlich stehen wir Ihnen auch gerne persönlich zu Verfügung. Bitte kontaktieren Sie uns.

Herz CT

Die Computertomographie (CT) des Herzens ist ein radiologisches Untersuchungsverfahren bei der Röntgenröhren und ein Detektorsystem um den Oberkörper kreisen und Schichtaufnahmen des Herzens erstellen. Diese erlaubt die Darstellung der Gefässe, die den Herzmuskel mit Blut versorgen (Herzkranzgefässe) sowie den Nachweis einer koronare Herzkrankheit (KHK) bei der es zu Verengungen (Stenosen) an den Gefässen kommt.

Die Herz CT hat sich gemäss internationalen Richtlinien bei Patienten mit einem niedrigen Risiko für eine KHK als exzellente Alternative zur invasiven Herzkatheteruntersuchung etabliert.

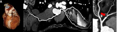
Darstellung des Herzens in 3D (A) sowie der Herzkranzgefässe in 2D (B). Nachweis einer höhergradigen, nicht verkalkten Verengung in einem der drei Hauptgefässe (roter Pfeil) (C).
Darstellung des Herzens in 3D (A) sowie der Herzkranzgefässe in 2D (B). Nachweis einer höhergradigen, nicht verkalkten Verengung in einem der drei Hauptgefässe (roter Pfeil) (C).
Darstellung des Herzens in 3D (A) sowie der Herzkranzgefässe in 2D (B). Nachweis einer höhergradigen, nicht verkalkten Verengung in einem der drei Hauptgefässe (roter Pfeil) (C).

Nuklearkardiologie

Die nuklearmedizinischen Techniken umfassen die Myokard-SPECT sowie die PET.

Die Myokard-SPECT eignet sich sehr gut zur Bestimmung von Durchblutungsstörungen des Herzmuskels. Dabei wird eine gering radioaktive Substanz (Tracer) in Ruhe und unter physikalischer oder medikamentöser Herzbelastung verabreicht. Anhand der regionalen Verteilung des Tracers im Herzmuskel ist es möglich, Durchblutungsstörungen oder Narben des Herzmuskels darzustellen. Die genaue Lokalisation sowie das Ausmass einer möglichen Durchblutungsstörung oder Narbe sind ausschlaggebend für eine optimale Behandlung des Patienten (z.B. Bypass-Operation, Stent-Implantation oder medikamentöse Therapie).

Die PET wird bei uns primär als Zusatzuntersuchung zur Abklärung von vitalem und vernarbtem Herzmuskelgewebe durchgeführt und entscheidet somit über den Nutzen eines invasiven Eingriffes, z.B. eines Herzkatheters bei Patienten mit einem vorbestehenden Herzinfarkt.  

Nachweis einer sehr grossen Durchblutungsstörung (blaues Areal mit weissen Pfeilen) unter einer medikamentösen Herzbelastung im Vergleich zum normal durchblutendem Herzmuskelgewebe in Ruhe (gelb).
Nachweis einer sehr grossen Durchblutungsstörung (blaues Areal mit weissen Pfeilen) unter einer medikamentösen Herzbelastung im Vergleich zum normal durchblutendem Herzmuskelgewebe in Ruhe (gelb).
Nachweis einer sehr grossen Durchblutungsstörung (blaues Areal mit weissen Pfeilen) unter einer medikamentösen Herzbelastung im Vergleich zum normal durchblutendem Herzmuskelgewebe in Ruhe (gelb).

Herz MRT

Die Herz Magnetresonanztomographie (MRT) bietet die vielfältigsten Möglichkeiten in der Abklärung einer grossen Bandbreite an kardialen Erkrankungen.

Sie ermöglicht die exakte Bestimmung der Herzgrösse und der Herzfunktion. Zudem erlaubt sie die Bestimmung von Durchblutungsstörungen des Herzmuskels im Rahmen einer koronaren Herzkrankheit sowie die Identifizierung von vitalem und vernarbtem Herzmuskelgewebe nach einem Herzinfarkt.

Als einzige Methode ist es der MRT zudem möglich, das Herzmuskelgewebe genau zu charakterisieren. Dies ist vor allem bei Entzündungen des Herzmuskels und des Herzbeutels sowie spezifischen Herzmuskelerkrankungen von grosser Bedeutung.

Aufgrund der Möglichkeit den Blutfluss sowie die Blutflussgeschwindigkeiten genau zu bestimmen, ist die MRT sehr hilfreich bei speziellen Herzklappenerkrankungen oder angeborenen Herzfehlern.

Die MRT ist aufgrund der fehlenden Strahlenbelastung eine sehr schonende Methode für den Patienten.  

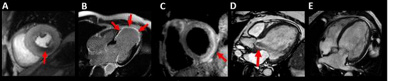
Beispiele der unterschiedlichen Anwendungsgebiete der Herz MRT:  Durchblutungsstörungen (A) oder Narben (B) des Herzmuskelgewebes bei koronarer Herzkrankheit, Entzündungen des Herzmuskels und Herzbeutels (C), Undichtigkeit von Herzklappen (D) oder Herzmuskelerkrankungen (E).
Beispiele der unterschiedlichen Anwendungsgebiete der Herz MRT: Durchblutungsstörungen (A) oder Narben (B) des Herzmuskelgewebes bei koronarer Herzkrankheit, Entzündungen des Herzmuskels und Herzbeutels (C), Undichtigkeit von Herzklappen (D) oder Herzmuskelerkrankungen (E).
Beispiele der unterschiedlichen Anwendungsgebiete der Herz MRT:

Durchblutungsstörungen (A) oder Narben (B) des Herzmuskelgewebes bei koronarer Herzkrankheit, Entzündungen des Herzmuskels und Herzbeutels (C), Undichtigkeit von Herzklappen (D) oder Herzmuskelerkrankungen (E).

Hybriduntersuchung

Jede Bildgebungsmodalität hat spezifische Vor- und Nachteile. In einigen Fällen ist es deshalb sinnvoll, eine Kombination der Untersuchungen im Sinne einer Hybriduntersuchung durchzuführen: Die Kombination einer Herz-CT mit nuklearmedizinischen Techniken erlaubt zum einen den Nachweis einer Minderdurchblutung des Herzmuskels (Ischämie), zum anderen die exakte Zuordnung des Ischämieareals zum betroffenen Herzkranzgefäss. Diese Technik ist sehr hilfreich bei Patienten mit schwer ausgeprägter, koronarer Herzkrankheit und erlaubt bei diesen Patienten eine gezielte Intervention.

Darstellung der Koronaranatomie sowie der Durchblutung des Herzens im Rahmen einer Hybriduntersuchung. Nachweis einer sehr grossen Minderdurchblutung (blaues Areal) aufgrund einer Stenose (Verengung) im Bereich der vorderen Koronararterie.
Darstellung der Koronaranatomie sowie der Durchblutung des Herzens im Rahmen einer Hybriduntersuchung. Nachweis einer sehr grossen Minderdurchblutung (blaues Areal) aufgrund einer Stenose (Verengung) im Bereich der vorderen Koronararterie.
Darstellung der Koronaranatomie sowie der Durchblutung des Herzens im Rahmen einer Hybriduntersuchung. Nachweis einer sehr grossen Minderdurchblutung (blaues Areal) aufgrund einer Stenose (Verengung) im Bereich der vorderen Koronararterie.
Zentrum für Herzbildgebung St. Anna
St. Anna-Strasse 32 6006 Luzern
DGK_K-CT-Staette-web