Bis vor wenigen Jahren waren Lebermetastasen häufig gleichbedeutend mit einer Unmöglichkeit zur Heilung. Durch Fortschritte in der Chirurgie, der Onkologie (Chemotherapie) und der Medizintechnik stehen dem Arzt heute jedoch weitaus mehr Möglichkeiten offen, die Tumore in der Leber zu bekämpfen und häufig vollständig abzutöten.

Lokal ablative Verfahren wie die RFA (Radiofrequenzablation) und die IRE (Irreversible Elektroporation) werden meist in lokaler Betäubung und CT- oder Ultraschall-gesteuert durchgeführt. Je nach Befall der Leber können ablative Verfahren mit chirurgischen Resektionen und / oder Chemo-/Radiotherapie kombiniert werden. Der individuelle Therapieplan bei solch komplexen Krankheitsbildern wird für jeden einzelnen Fall an unserem interdisziplinären Tumorboard erstellt. Hierzu setzen die Behandlungsteams aus verschiedenen Medizinfachgebieten ihr ganzes Wissen und Können ein, um in jedem Einzelfall einen individuellen Therapieplan zu erstellen. So kann z.B. eine Chemotherapie die Metastasen verkleinern und dann oft erst eine operative Entfernung ermöglichen.

Radiofrequenzablation

Bei der Radiofrequenzablation werden Lebermetastasen durch Hitze zerstört. Dabei wird eine spezielle Sonde durch die Haut eingebracht und im Zentrum des Lebertumors platziert. Durch einen hochfrequenten Wechselstrom entsteht an der Sondenspitze eine Temperatur bis 125°C, was zu einer Zerstörung des Tumorgewebes führt.

Die Radiofrequenzablation eignet sich insbesondere für Tumoren von max. 5cm Durchmesser mit genügend Abstand zu grösseren Blutgefässen und Gallengängen, da diese durch die extreme Hitze beschädigt werden können.

Irreversible Elektroporation

Mit dem neuen Verfahren der irreversiblen Elektroporation (IRE) steht nun ein weiteres vollkommen neuartiges Konzept zur Abtötung von besonders schwierig gelegenen Herden zur Verfügung.

chirurgisches-zentrum-irreversible-elektroporation-schema-lebermetastasen
Leber mit Metastasen in beiden Leberlappen. Ein Herd ist schwierig gelegen an einem grossen Blutgefäss.

Das Prinzip des Verfahrens besteht darin, dass durch ultrakurze, starke Stromstösse zwischen mehreren um den Tumor eingebrachten Elektroden mikroskopisch erkennbare Löcher in die Zellwände der Zellen im Spannungsfeld „geschossen“ werden. Durch diese Löcher fliesst dann das sog. Zytoplasma der Zellen aus und sie sterben ab. Unmittelbar neben oder sogar durch den Tumor verlaufende Gefässe und Gangstrukturen werden nicht zerstört, sondern bleiben in ihrer Struktur erhalten. Zwar werden auch die Zellauskleidungen im Inneren dieser Kanäle abgetötet, aber durch die erhaltende Gerüststruktur können rasch gesunde Zellen aus dem benachbarten nicht behandelten Gewebe einwandern und das Innere der Gefässe oder Gallengänge wieder bekleiden. Darüber hinaus erholt sich der behandelte Leberabschnitt wieder und man kann die Behandlung wiederholen, wenn erforderlich.

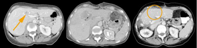
chirurgisches-zentrum-irreversible-elektroporation-bilder-lebermetastasen
Schwierig gelegene Lebermetastase (links), unmittelbar nach der irreversiblen Elektroporation (Mitte) und mit narbenfreier Erholung nach Behandlungsabschluss (rechts).

Seit der ersten Anwendung des neuen Verfahrens in der Schweiz durch unser Team im April 2012 haben wir bis im Januar 2014 bereits 25 Patienten behandelt. In diesem Zeitraum wurden keine schwerwiegenden Komplikationen bei unseren Patienten beobachtet Mittlerweile sind mehr als hundert wissenschaftliche Publikationen zu diesem Thema erschienen und weltweit mehr als 2000 Patienten an verschiedenen Organen (z.B. auch an der Niere und Prostata) behandelt worden.

Swiss Surgery
Prof. Dr. med. Jan Schmidt
Kappelistrasse 7
8002 Zürich