Médecine

En cas d’arthrose du genou, si une prothèse est envisagée, l’articulation du genou ne doit pas toujours être remplacée en entier. Le Dr Patrick S. Sussmann, de la Klinik Im Park, explique quels sont les avantages d’une prothèse partielle et dans quels cas ce type de prothèse est indiqué.

blog_teilprothese

Aujourd’hui, les opérations de l’articulation du genou sont les interventions chirurgicales orthopédiques les plus fréquentes dans le monde. Associées aux facteurs héréditaires et aux suites d’accidents, la forme complexe de l’articulation et les exigences élevées en matière de sollicitation au quotidien et dans la pratique du sport entraînent fréquemment une usure de l’articulation au fil des ans. Ces conditions sont optimales pour favoriser la formation d’arthrose.

Prothèses du genou et exigences des patients

Les connaissances scientifiques sur la fonction complexe de l’articulation du genou ont été intégrées au fil des ans à la conception de prothèses du genou et ont pu permettre une résistance accrue ainsi que, dans une certaine mesure, un meilleur fonctionnement de ces articulations artificielles du genou.

Néanmoins, les exigences des patients ont considérablement augmenté en parallèle. L’actuelle génération des plus de 50 ans veut non seulement pouvoir se déplacer sans douleur, mais aussi exercer jusqu’à un âge avancé des sports sollicitant parfois beaucoup les genoux.

Malheureusement, même les prothèses modernes du genou ne satisfont pas à toutes les exigences fonctionnelles élevées. Il en résulte que notamment les patients les plus jeunes (jusqu’à 25%) ne sont pas satisfaits du résultat de leur opération d’endoprothèse totale du genou en matière de fonctionnalité. Des études comparatives montrent que ce manque de satisfaction n’est pas dû aux mauvaises techniques opératoires, mais bien plus aux fortes attentes de ces jeunes patients en termes de soulagement de la douleur et de fonctionnalité de leur prothèse du genou. Ainsi, les patients pleinement satisfaits du résultat de leur opération de prothèse du genou sont ceux dont les attentes sont comblées en matière d’amélioration de la douleur et de fonctionnalité.

La prothèse partielle, une solution satisfaisante

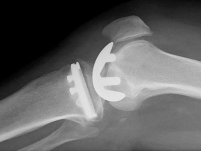
Lorsque seule une partie de l’articulation est usée, c’est-à-dire lorsque l’arthrose ne touche pas fortement toute l’articulation du genou et lorsque l’appareil ligamentaire est encore fonctionnel, il est possible d’opter pour une prothèse partielle de l’articulation. L’opération de prothèse partielle consiste à opérer uniquement la section d’articulation usée en remplaçant la surface osseuse par une surface métallique dans la zone sollicitée au niveau du bas de la jambe et de la cuisse. Cette intervention chirurgicale est beaucoup moins invasive qu’une prothèse totale et permet de conserver le reste de l’articulation du genou avec l’appareil ligamentaire. Pour le patient, cela signifie une réadaptation rapide. Après l’opération, il ressent une sensation plus normale dans l’articulation, et bénéficie d’une meilleure fonctionnalité et d’une meilleure résistance qu’avec une prothèse totale. Cela se ressent en particulier dans les sports dont la pratique exige de plier et de tourner l’articulation du genou.

Dans certaines circonstances, les bénéfices d’une prothèse partielle par rapport à une prothèse totale sont meilleurs pour les patients jeunes comme plus âgés: les jeunes patients profitent en particulier de la meilleure fonctionnalité de l’articulation du genou, tandis que l’intervention chirurgicale et la réadaptation qu’implique la pose d’une prothèse partielle sont moins lourdes pour les patients plus âgés.

Opération de prothèse partielle: qu’est-ce qui m’attend?

Une opération de prothèse partielle au niveau de l’articulation du genou est une intervention chirurgicale mini-invasive n’entraînant pas de pertes sanguines importantes. Elle peut se pratiquer sous anesthésie générale ou locale. L’opération doit être parfaitement planifiée de manière à ce que les pièces de prothèse posées puissent former une unité fonctionnelle avec la partie encore fonctionnelle de l’articulation du genou. Une planification minutieuse et l’expérience du chirurgien peuvent permettre de réduire au maximum les risques de complications et d’un résultat défavorable. Comme chaque opération, celle-ci comporte néanmoins des risques, si bien que l’indication d’une opération de prothèse partielle ne peut être posée que lorsque les possibilités de traitement conservateur ne sont plus suffisantes.

Chez les patients jeunes et encore très actifs en matière de sollicitation des articulations du genou, l’arthrose peut par ailleurs s’aggraver au fil des années dans le reste de l’articulation. Si l’on y ajoute l’usure liée à la sollicitation de la prothèse, une nouvelle intervention chirurgicale peut s’avérer nécessaire pour changer de prothèse ou remplacer la prothèse partielle par une prothèse totale.

Dans tous les cas, une évaluation minutieuse et individuelle est essentielle pour trouver une solution idéale pour et avec chaque patient.