Arthritis

Arthritis zeigt sich als schmerzhafte, entzündliche Gelenkschwellungen. Diese können verschiedenste Ursachen haben. Die genaue Befragung (Anamnese), klinische Untersuchung und weitere Abklärungen (z.B. Ultraschall, Röntgen, Labor) führen zu einer Diagnose und einer entsprechenden Therapie.

Beispiele

Rheumatoide Arthritis, Morbus Bechterew, Psoriasisarthritis, Arthritis bei Darmerkrankungen, Gicht, Pseudogicht ("falsche Gicht")

Arthrose

Die Arthrose ist die häufigste Erkrankung der Gelenke und des angrenzenden Gewebes. Zusätzlich zu einer Therapie wird ein angepasstes Training, gezielte Infiltrationen (z.B. Hyaluronsäure) und Medikamente eingesetzt. Bei fortgeschrittener Arthrose kann ein Gelenkersatz vorgenommen werden. 

Osteoporose

Osteoporose kann verschiedene Ursachen haben. Die Erkrankung ist jedoch dank fortschrittlicher Medizin gut behandelbar. Zur Diagnose und Abschätzung des Knochenbruchrisikos erfolgt eine genaue Befragung (Anamnese), eine klinische Untersuchung mittels neuester Geräte zur Knochendichtemessung und bei Bedarf auch Gewebeuntersuchungen des Knochens (Knochenbiopsie). Mittels dual energy x-ray absortiometry (DXA) wird die Knochendichte bestimmt.

Zudem sind die Bestimmung des TBS (trabecular bone score) zur Abschätzung der Mikroarchitektur des Knochens und eine Messung der Gesamtzusammensetzung des Körpers (Knochen- und Muskelmasse, Fettanteil) möglich. Neben der Knochendichtemessung können die für den Knochenstoffwechsel wichtigen Blutwerte bestimmt werden.

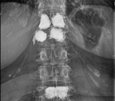
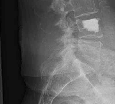
Rückenschmerzen

Am Rücken können unterschiedliche Strukturen zu Schmerzen führen. Um Rückenschmerzen gezielt individuell behandeln zu können, werden neben der genauen Befragung (Anamnese) und der klinischen Untersuchung bildgebende Verfahren wie Röntgen oder MRT/MRI (Magnetresonanztomographie) eingesetzt. Zur Schmerzkontrolle sind gezielte Infiltrationen unter Röntgen, Ultraschall und CT (Computertomographie) möglich. Neben der Schmerzkontrolle mittels Infiltration/Medikamenten ist für einen langfristigen Erfolg meistens individuelles Training wichtig.

Kollagenosen und Vaskulitiden

Bei Kollagenosen und Vaskulitiden kommt es zu Entzündungen des Bindegewebes und von Gefässen, welche verschiedene Organe betreffen können. Die Beschwerden können sehr unterschiedlich ausgeprägt sein. Entsprechend komplex kann die Abklärung und Behandlung sein.

Weichteilrheuma

Zum Weichteilrheuma zählen Erkrankungen der "weichen" Strukturen am Bewegungsapparat, wie z. B. Muskeln, Faszien, Sehnen und Bänder. Diese können durch Überlastungen, Verletzungen oder auch andere (rheumatische) Erkrankungen Beschwerden verursachen. Beispiele sind der Tennisellbogen, die Achillessehnenschmerzen oder – wenn Beschwerden am ganzen Körper bestehen – das generalisierte myofasziale Schmerzsyndrom (Fibromyalgie). Die Therapie wird entsprechend der zugrundeliegenden Ursache individuell durchgeführt und kann z. B. Physiotherapie, Ergotherapie, Infiltrationen, Medikamente und Stosswellentherapie beinhalten.

Zentrum für Rheuma- und Knochenerkrankungen
Haus Bellaria
Bellariastrasse 38 8038 Zürich