Wie kann ein Aufstau von Gallenflüssigkeit behandelt werden?
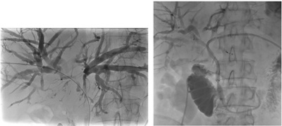
In den meisten Fällen ist es möglich mittels Endoskopie (endoskopische retrograde Cholangiopankreatikographie, ERCP) einen Aufstau der Gallenflüssigkeit durch Einlage eines Plastikröhrchens (Stent) zu behandeln, insbesondere wenn es sich um eine gutartige Ursache des Gallenaufstaus handelt. Mögliche Komplikation hierbei ist jedoch das Auftreten einer Bauchspeicheldrüsenentzündung (Pankreatitis). Bei tumorbedingtem Aufstau der Gallenflüssigkeit mag eine ERCP aufgrund der Verlegung des Gallengangs nicht gelingen. In solch einer Situation ist der technische Erfolg des interventionellen Verfahrens, der sog. perkutanen transhepatischen Cholangio-Drainage (PTCD), höher und birgt nicht das Risiko einer Pankreatitis. Hierbei wird zunächst in Lokalanästhesie ein erweiterter Gallenweg unter Ultraschall-Bildführung mit einer feinen Kanüle durch die Haut punktiert. Dann wird unter Röntgen-Kontrolle ein Draht bis in den Zwölffingerdarm vorgeführt über den schliesslich ein Metallgitterstent in den Hauptgauptgallengang eingebracht wird, um so den Aufstau der Gallenflüssigkeit zu beheben.

cholangio
Wiederherstellung des Gallenabfluss bei einem Patienten mit einer Abflussstörung aufgrund einer zentralen Lebermetastase mittels perkutaner transhepatischer Cholangio-Drainage (PTCD).