Welches sind die häufigsten Folgeerkrankungen bei Leberzirrhose?
Die Leberzirrhose ist eine sehr ernst zu nehmende Erkrankung mit einem breiten Spektrum an Folgeerkrankungen. In der Pfortader entsteht durch die Vernarbung der Leber ein gefährlicher Bluthochdruck, da das Blut nicht mehr frei durch die Leber fliessen kann. Krampfadern bilden sich, besonders an der Speiseröhre oder am Magen. Steigt der Blutdruck weiter, so besteht die Gefahr des Platzens dieser erweiterten Gefässe mit der Folge einer lebensbedrohlichen Blutung. Die Bauchwassersucht (Aszites) ist eine weitere Folge des Bluthochdrucks in der Pfortader, aber auch der abnehmenden Fähigkeit der Leber zur Produktion von Eiweissen. Flüssigkeit wird in den Bauchraum gepresst, der Bauch schwillt an und schmerzt. Darüber hinaus ist die Leberzirrhose die häufigste Ursache für die Entstehung von Leberkrebs (hepatozelluläres Karzinom), einer sehr bösartigen Tumorerkrankung mit schlechter Prognose.

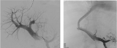
TIPS zur Behandlung des Pfortaderhochdrucks
Zur Senkung des Pfortaderdrucks besteht die Möglichkeit einer minimalinvasiven Anlage einer künstlichen Kurzschlussverbindung zwischen Lebervene und Pfortader (TIPS, transjuguläre intrahepatische portosystemische Shunt-Anlage). Dieser Kurzschluss entlastet den Pfortaderkreislauf und führt zur Rückbildung der hierdurch entstandenen Folgeerkrankungen. Ein solcher Eingriff kann angezeigt sein bei ausgeprägten Krampfadern sowie bei auf medikamentöse Therapie resistentem Aszites.

kurzschlussverbindung
Minimalinvasive Anlage einer Kurzschlussverbindung (TIPS) zwischen Lebervene und Pfortadersystem zur Senkung des Pfortaderdruck.