In welchen klinischen Situationen können solche Ernährungssonden Patienten helfen?
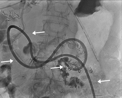
Falls die Speiseröhre durch einen Krebs für Speisen unpassierbar geworden sein sollte, besteht die Möglichkeit, eine Ernährungssonde in örtlicher Betäubung unter Röntgen-Kontrolle durch die Haut in den Magen zu führen (perkutane radiologische Gastrostomie – PRG). Ist der Verschluss nicht an der Speiseröhre, sondern am Magenausgang lokalisiert ist, muss zur Ernährung ein Katheter gelegt werden, der bis in den Dünndarm hineinreicht (perkutane radiologische Jejunostomie – PRJ).

ernaehrungssonde
Radiologische Ernährungssonde, die von aussen direkt in den Magen gelegt wurde und im Dünndarm endet (Pfeile).