Was ist ein Milzarterienaneurysma?
Ein Aneurysma ist eine umschriebene Gefässerweiterung und stellt an der Milzarterie die häufigste Lokalisation von viszeralen Aneurysmen dar. Insgesamt sind Milzarterienaneurysmen jedoch selten und umfassen lediglich 0,1-2,0 % der arteriellen Aneurysmen. Ursachen für die Entstehung von Gefässaneurysmen im Allgemeinen sind Arteriosklerose, entzündliche Veränderungen und angeborene Bindegewebsschwächen. Bis heute werden die meisten Aneurysmen zufällig im Rahmen von anderen Untersuchungen entdeckt, meist einer Computertomographie (CT-Angiographie) oder einer Ultraschalluntersuchung der Bauchorgane. Die am meisten gefürchtete Komplikation ist ein Gefässriss, die sogenannte Ruptur, die mit einer hohen Letalität, insbesondere bei Frauen in der Schwangerschaft, einhergeht. Das primäre Behandlungsziel ist also, das Platzen eines Milzarterienaneurysmas durch eine vorbeugende Ausschaltung zu verhindern.

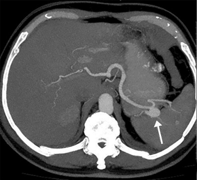
Milzarterienaneuysma
Nachweis eines Milzarterienaneurysmas in der CT-Angiographie.

Wann sollte ein Milzarterienaneurysma behandelt werden?
Komplikationsbedingte Symptome nehmen ab einem Aneurysmadurchmesser von 2 cm zu. Das Rupturrisiko wird bei einer Aneurysmagrösse von > 2 cm mit 30-40 % beschrieben und ist mit einer Letalität von 46-75 % vergesellschaftet, so dass nach allgemeiner Empfehlung Viszeralaneurysmen ab einer Grösse von 2 cm behandelt werden sollten.

 

Welche Behandlungsmöglichkeiten gibt es?
Grundsätzlich kann ein Milzarterienaneurysma auch operativ entfernt werden. Aufgrund des operativen Zugangstraumas, der perioperativen Morbidität (7-12 %) und Letalität (bis 5 %) werden bei Viszeralarterienaneurysmen jedoch zunehmend endovaskuläre Techniken favorisiert, bei der in Lokalanästhesie über ein Leistengefäss die Ausschaltung des Aneurysmas mittels Embolisation durch einen Katheter mittels Metallspiralen (Coils), Gefässkorken (Vascular Plug) oder einem Drahtgeflecht, das von einer Kunststoffmembran umhüllt ist (Stentgraft) erfolgt.

milz-endovaskulär
Minimalinvasive endovaskulärer Ausschaltung eines Milzarterienaneurysmas (A: Pfeil) mittels Vascular Plugs (B: Pfeil).