Welche Behandlungsmöglichkeiten bei Bandscheibenvorfall gibt es?
Grundsätzlich wird zwischen konservativen und operativen Behandlungsmöglichkeiten unterschieden. Sollten im Rahmen eines Bandscheinvorfalls gleichzeitig Lähmungen sowie Blasen-/Mastdarmstörungen aufgetreten sein, so ist meist eine Operation notwendig. Ist dies jedoch nicht der Fall, so werden Patienten zunächst konservativ mittels Schmerzmedikamenten (Analgetika) behandelt. Die CT-gesteuerte Schmerztherapie stellt hierbei die aggressivste Form der konservativen Therapie dar, welche in der Regel sehr effektiv die Beschwerden der Patienten lindert. Rationale für diese Behandlung ist, dass ein Bandscheibengewebe sehr wasserhaltig ist und sich ein Bandscheibenvorfall somit im Verlauf durch „Eintrocknung“ auch wieder zurückziehen kann und sich die Beschwerden hierdurch bessern können. Es gilt somit die akute Phase mit starken Beschwerden zu überstehen, hier kann die CT-gesteuerte Schmerztherapie in vielen Fällen sehr effektiv helfen.

ct-gesteuert-schmerz
Schematische Darstellung des Schmerzverlaufs und der Rationale für eine CT-gesteuerte Schmerztherapie zur Reduktion der Beschwerden in der akuten Phase.

Wie erfolgt die CT-gesteuerte Schmerztherapie?
Dieser Eingriff ist so wenig invasiv und so komplikationsarm, dass er ambulant durchgeführt werden kann. In örtlicher Betäubung wird hierbei CT-gesteuert eine feine Nadel an die betroffene Nervenwurzel platziert und schmerzlindernde und entzündungshemmende Medikamente appliziert.

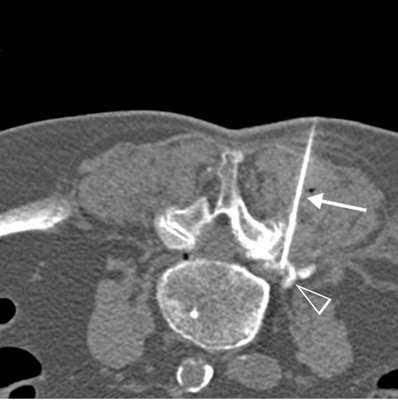
nervenwurzel-1
CT-gestützte Schmerztherapie: unmittelbar an die betroffene Nervenwurzel wird eine feine Nadel millimetergenau platziert (Pfeil), durch Beimischung von Röntgen-Kontrastmittel kann die Verteilung der applizierten Medikamente sichtbar gemacht werden (Pfeilspitze).