Knoten in der Leber oder der Bauchspeicheldrüse werden oft als Zufallsbefunde bei Routineuntersuchungen entdeckt. In solchen Fällen gilt es, sorgfältig abzuklären, ob es sich um eine gutartige, eine potentiell bösartige oder eine bereits bösartige Veränderung handelt und wie diese zu charakterisieren ist. Dafür stehen verschiedene diagnostische Verfahren zur Verfügung. Bei gutartigen Knoten folgt darauf die anspruchsvolle Entscheidung, ob die Knoten belassen werden können oder mit der operativen Entfernung zugewartet werden kann. Bei bösartigen Veränderungen ist zu entscheiden, welche Therapieschritte angezeigt sind, wobei die Operation im Mittelpunkt steht.
Bei einem 62-jährigen Patienten wird im Ultraschall zufällig ein 4 cm grosser Knoten in der Leber entdeckt. Er wird zu einem auf Lebererkrankungen spezialisierten Gastroenterologen überwiesen, der mittels kontrastmittelverstärkten Ultraschalls ein Hämangiom (Blutschwamm) diagnostiziert (vgl. Abb. 1). Aufgrund der Gutartigkeit wird der Leberknoten belassen, eine Therapie ist nicht erforderlich. In einem vergleichbaren Fall wird bei einer 70-jährigen Frau in der Bauchspeicheldrüse ein 2 cm grosser Knoten nachgewiesen. Der Gastroenterologe diagnostiziert mittels Endosonographie (Ultraschall mittels Sonde über den Magen) und endosonographischer Punktion (Gewebeentnahme) einen neuroendokrinen Tumor (vgl. Tabelle 1). Die Patientin wird mit dem Ziel der Heilung operiert.
Leber- oder Pankreasknoten sind relativ häufige Befunde, welche bei Routineuntersuchungen meistens zufällig entdeckt werden. Solche Knoten, die oft keine Beschwerden verursachen, kommen in bis zu 20 Prozent der Ultraschalluntersuchungen vor. Der Untersucher muss dann die Entscheidung treffen, ob und wenn ja, welche weitere Diagnostik erforderlich ist. Muss operiert werden oder ist Zuwarten ohne Gefahr möglich? Das ist die wichtigste Frage. Bei der weiteren Diagnostik geht es um die höchstmögliche Sicherheit für den Patienten, denn eine Fehldiagnose kann weitreichende Konsequenzen haben.
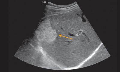
Der Leber-Ultraschall zeigt ein gutartiges Hämangiom (Blutschwamm).
Eine Metastase in der Leber, wie sie sich dem Chirurgen nach operativer Entfernung zeigt.
Diagnostik
Bei der Diagnostik sind gutartige oder noch gutartige von bösartigen Knoten sowie primäre Tumoren (von Leber oder Pankreas ausgehend) von sekundären Tumoren (z.B. Lebermetastasen) zu unterscheiden (vgl. Tabelle 1). Zeigt der konventionelle Bauchultraschall bzw. die Farbduplexsonographie keinen eindeutigen Befund, ist in vielen Fällen ein kontrastmittelverstärkter Ultraschall (KM-Sonographie) für die Leber bzw. eine Endosonographie für das Pankreas sinnvoll. Auch die Durchführung einer weitergehenden Schnittbilddiagnostik (CT, MRI) kann notwendig sein.
Kontrastmittelsonographie
Die KM-Sonographie hat sich als aussagekräftige Bildgebung in der Abklärung von Leberraumforderungen etabliert. Die verschiedenen Knoten in Leber und Pankreas weisen charakteristische Kontrastmittelverhalten auf. Die KM-Sonographie ermöglicht bei mehr als 90 Prozent der im konventionellen Ultraschall unklar gebliebenen Leberknoten eine Differenzierung zwischen gutartigen und bösartigen Veränderungen. Darüber hinaus hat die KMSonographie bei den häufigen gutartigen Zufallsbefunden, wie fokal nodulären Hyperplasien oder unklaren Hämangiomen (vgl. Tabelle 1), einen sehr hohen diagnostischen Stellenwert. Der Vorteil dieser Methode ist die ausbleibende Strahlenbelastung und auch die fehlende Nierenschädlichkeit.
Endoskopische Ultraschalluntersuchung
Die von innen durchgeführte Ultraschalluntersuchung (Endosonographie) hat den Vorteil, dass das Zielorgan näher am Ultraschallkopf liegt und dadurch schärfer und genauer dargestellt werden kann. Insbesondere bei Knoten im Pankreas kann diese Methode in vielen Fällen zwischen gutartigen und bösartigen Knoten differenzieren. In unklaren Fällen kann dennoch eine Gewebeentnahme durch Punktion notwendig sein, die mit der Endosonographie durchgeführt werden kann.
Biopsie
Die feingewebliche Untersuchung (Biopsie) bleibt zwar der Goldstandard in der Diagnostik von unklaren Knoten in Leber und Pankreas, jedoch kann dank der oben beschriebenen Untersuchungen in vielen Fällen darauf verzichtet werden.
Tumorcharakterisierung
Zu den häufigsten gutartigen Leberknoten gehören neben den einfachen Leberzysten das Hämangiom, die fokal noduläre Hyperplasie sowie das Leberzelladenom (vgl. Tabelle 1). Die häufigsten bösartigen Veränderungen der Leber (ca. 85 Prozent) sind Metastasen (vgl. Abb. 2), gefolgt vom hepatozellulären Karzinom (vorwiegend bei Patienten mit Leberzirrhose) und vom cholangiozellulären Karzinom.
Zu den häufigsten gutartigen Pankreasknoten zählen intraduktale papillär-muzinöse Neoplasien (Hauptgang- oder Seitengang-IPMN, Krebsvorstufen), serös- oder muzinös-zystische Knoten (Letztere sind Krebsvorstufen) und die solid-pseudopapillären Neoplasien. Letztere zählen ebenfalls zu den zystischen Pankreasveränderungen und betreffen vor allem junge Frauen. Das Adenokarzinom des Pankreas ist der häufigste bösartige Tumor.
Tabelle 1
Leber: gutartig
- Hämangiome: Wucherungen von Blutgefässen («Blutschwamm»)
- Fokal noduläre Hyperplasie: Bindegewebiger, knotiger Tumor
 
- Hepatozelluläres Adenom: Leberzelladenom; Geschwulst aus Schleimhaut oder Drüsengewebe
Pankreas: gutartig
- Seröse Zysten: Mit wässriger Flüssigkeit gefüllte Hohlräume
- Muzinöse Zysten: Mit schleimiger Flüssigkeit gefüllte Hohlräume (Krebsvorstufe)
- Intraduktale papillär-muzinöse Neoplasie (IPMN): Schleimhaltige, zystische Veränderung im Haupt- oder Seitengang des Pankreas (Krebsvorstufe)
Leber: bösartig
- Hepatozelluläres Karzinom: Leberzellkarzinom; Tumor, der sich aus den Leberzellen bildet
- Cholangiozelluläres Karzinom: Gallengangskarzinom; Tumor im Bereich der ableitenden Gallenwege
- Metastase: Häufig von Darmkrebs
Pankreas: bösartig
- Adenokarzinom: Von den Zellen der Drüsengänge ausgehender Tumor
- Azinuszellkarzinom: Von den Drüsenzellen ausgehender Tumor
- Neuroendokriner Tumor: Von den hormonbildenden Zellen ausgehender Tumor
Therapie
Abhängig vom bösartigen Potential der Knoten müssen manche Leber- und Pankreasknoten engmaschig überwacht oder operiert werden. Die Leberzelladenome sind zwar gutartige Knoten, sie können sich jedoch im Verlauf zu bösartigen Veränderungen entwickeln. Bestimmte Subtypen der Leberzelladenome müssen operativ entfernt werden. Hauptgang-IPMNs in der Bauchspeicheldrüse haben ein Entartungsrisiko von > 60 Prozent. Daher werden auch sie operativ entfernt. Gleiches gilt für muzinös-zystische Neoplasien. Seitengang-IPMNs werden nur bei Vorliegen von sog. «Worrysome features» (Wandknoten, Hauptgangerweiterung, Durchmesser > 3 cm) operiert, ansonsten beobachtet. Dies hängt jedoch auch vom Alter und Gesundheitszustand des Patienten ab.
Bei einer Pankreasoperation gibt es viele Möglichkeiten, die heute häufig auch als minimalinvasive Operation möglich sind. Neben lokalen Ausschälungen bei vermutlich noch gutartigen Veränderungen kann auch die Entfernung des betroffenen Pankreasteils (Kopf, Körper, sog. Segmentresektion, und Schwanz mit oder ohne Milz) nötig werden.
Bei Lebertumoren gibt es durch die Regenerationskraft der Leber mannigfaltige Möglichkeiten einer operativen Entfernung eines potentiell bösartigen oder bösartigen Tumors. Auch bei beidseitigem Befall, z.B. durch Lebermetastasen, gibt es bei vielen Tumoren die Möglichkeit, in Kombination mit einer Chemotherapie oder lokalen Sondenbehandlungen (Hitzeablation, irreversible Elektroporation) noch Tumorfreiheit oder zumindest eine Lebensverlängerung zu erreichen.
Geschrieben von:
Glossar
Hyperplasie: Vergrösserung eines Organs oder Gewebes durch abnorme Vermehrung der Zellen
Farbduplexsonographie: Ultraschalluntersuchung, die eine Darstellung des Blutflusses ermöglicht
Hitzeablation: Zerstörung von Tumorzellen mittels Hitze
Irreversible Elektroporation (IRE): Zerstörung von Tumorzellen mittels elektrischer Impulse
 
                        
                        
                     
    