Patientenzeitschrift "Mittelpunkt"

Die irreversible Elektroporation ist ein neues Verfahren, das mittels elektrischer Impulse gezielt Tumorzellen zerstört. Der Tumor oder die Metastase wird durch gesundes Zellgewebe ersetzt.

Wenn der Chirurg beim Kampf gegen den Krebs den ­Tumor aufgrund seiner Lage nicht erreichen kann, eine Bestrahlung zu viel Gewebe zerstören würde und eine Chemotherapie nicht hilft, haben Ärzte jetzt eine weitere Möglichkeit: den Einsatz von elektrischem Strom.

Starke elektrische Impulse

Die irreversible Elektroporation (IRE) ist eine Methode, die mit sehr kurzen, sehr starken elektrischen Impulsen die Membran von Tumorzellen durchlöchert. Diese verlieren dadurch ihre Stabilität und programmieren sich selbst auf den freiwilligen Zelltod (Apoptose). Wie jede abgestorbene Zelle werden sie vom Körper entsorgt. Der Krebs löst sich sozusagen an der behandelten Stelle in nichts auf. Der grösste Vorteil der IRE ist der, dass das ­Gerüst der Blutgefässe und anderer Leitstrukturen, wie beispielsweise der Gallengänge, geschont wird und die innere Zellwand sich entlang der Gefässe wieder neu ­bilden kann. Blut- und Lymphgefässe können sich daher nach den bisherigen Erfahrungen vollständig regenerieren, Nerven oder Gallengänge werden nicht dauerhaft zerstört. Das bedeutet weniger Nebenwirkungen und Komplikationsmöglichkeiten. Die Patienten erholen sich schneller, und es können auch Tumoren an wichtigen ­Gefässen oder Gallengängen beseitigt werden, ohne dass diese Strukturen zerstört werden.

Bei thermoablativen Verfahren, beispielsweise der Radiofrequenzablation (RFA) oder der Mikrowelle (vgl. Artikel im Mittelpunkt 1/2012), die bislang überwiegend bei nicht operierbaren Krebsarten angewendet werden, erfolgt die Zerstörung der Tumorzellen dagegen mittels Hitze. Im Gegensatz zur irreversiblen Elektroporation gehen dabei auch andere, gesunde Umgebungsstrukturen zugrunde. Übrig bleiben teils ausgedehnte Narbenareale.

elektroporation-4
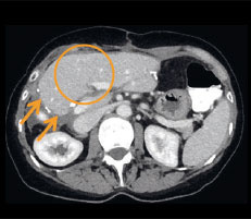
Abb. 1
Mehrere Metastasen in beiden Leberlappen. Die nahe an einem ­Blutgefäss gelegene Metastase im linken Leberlappen wird mit dem IRE-Verfahren behandelt. Zunächst werden mehrere Sonden in ­paralleler Anordnung in den Au­ssenbereich der Metastase unter CT-Kontrolle vorgeschoben.
elektroporation-1
Abb. 1a
Positionierung der IRE-Sonden in CT-Ansicht.
elektroporation-2
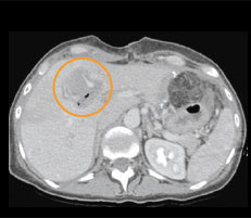
Abb. 1b
Ergebnis nach IRE: In der Mitte zeigt sich die vollständig abgetötete Metastase nach der Ablation als dunkle Zone innerhalb des hellen, gut durchbluteten Lebergewebes (siehe Kreis).
elektroporation-3
Abb. 1c
Verlaufskontrolle nach vier Monaten: Zwischenzeitlich wurde der rechte Leberlappen, wo sich die restlichen Metastasen befanden, entfernt (siehe Pfeile entlang der Operationslinie: Resektionsrand der Leber). Auf der linken Seite ist das nachgewachsene Lebergewebe ohne Vernarbung sichtbar.

Durchführung des IRE-Verfahrens

Anhand des nachfolgenden Beispiels wird das IRE-Verfahren erläutert: Frau O. litt unter einem bösartigen Tumor des Dünndarms, der bereits zu Metastasen in der Leber geführt hatte (Abb. 1). In einer ersten Operation wurde der Tumor im Dünndarm und in einer zweiten der rechte Leberlappen entfernt. Zwischen den beiden Operationen wurde die schwierig gelegene Metastase im linken Leberlappen mit dem IRE-Verfahren behandelt.

Das IRE-Verfahren kann entweder intraoperativ oder bildgesteuert durch die geschlossene Bauchdecke erfolgen. In diesem Fall ist die Bildgebung zur korrekten Platzierung der Sonden essenziell, um den Tumor oder die Metastase genau zu lokalisieren. Sie erfolgt in der Regel mittels Computertomographie. Im Fall von Frau O. wurde eine Behandlung durch die Bauchdecke gewählt. Mehrere Sonden in Form von langen Nadeln werden um die Metastase herum platziert (Abb. 1). Dabei ist wichtig, dass die Sonden parallel und in regelmässigen Abständen an den Aussenbereichen des Zielvolumens angeordnet werden (Abb. 1a). Sie werden dann an einen Generator angeschlossen, der abwechselnd jeweils zwischen zwei Nadeln elektrische Spannungen aufbaut. Die Ausdehnung des verödeten Volumens wird in Echtzeit berechnet und kann vom Bediener jederzeit überprüft und korrigiert werden.

Je nach Behandlungsfeldgrösse und Sondenanzahl dauert die Ablation zwischen einer und zehn Minuten. Die ­exakte Platzierung der Sonden ist jedoch der wichtigste Schritt und nimmt ein Vielfaches dieser Zeit in Anspruch. Mittels dreidimensionaler computer- oder magnetresonanztomographischer Kontrolle wird direkt im Anschluss an die Ablation überprüft, ob das Tumorgewebe ausreichend abgetötet wurde. Im Fall von Frau O. wurde das Gewebe vollständig erfasst: Sichtbar ist eine dunkle Zone innerhalb des ansonsten hellen, gut durchbluteten Lebergewebes (Abb. 1b). Die IRE-Behandlung wird in Vollnarkose durchgeführt. Ein Krankenhausaufenthalt ist bei ­einer nicht operativen Anwendung nicht zwingend notwendig, wird jedoch zur Sicherheit des Patienten empfohlen.

Vier Monate nach der IRE-Anwendung kommt Frau O. zur Verlaufskontrolle. Die computertomographische Kontrolluntersuchung verdeutlicht, dass die Narbe im Bereich der vormaligen Ablationszone und die Metastase in der Zwischenzeit verschwunden sind und sich das Lebergewebe vollständig regenerieren konnte (Abb. 1c). Mit der Kombination aus Operation und Ablation mittels irreversibler Elektroporation konnten trotz des Befalls beider Leberlappen alle Metastasen entfernt werden. Frau O. gilt als geheilt und tumorfrei.

Vielversprechende Ergebnisse

Dank diesem neuartigen, gewebeschonenden Verfahren bieten sich nun völlig neue Möglichkeiten: Tumoren der Bauchspeicheldrüse oder der Leber beispielsweise, die aufgrund ihrer Lage zu Gefässen oder anderen Leitstrukturen bislang nicht therapierbar waren, können jetzt behandelt werden. Aufgrund der vollständigen Regeneration des Gewebes werden zudem deutlich ausgedehntere kombinierte Eingriffe aus Operation und Intervention möglich. Grundsätzlich sind mit diesem Verfahren Tumoren in fast allen Körperregionen, wie Leber, Bauchspeicheldrüse, Lunge oder Prostata, behandelbar.

Auch wenn es sich um ein neues Verfahren handelt, hat sich gezeigt, dass die irreversible Elektroporation eine sehr sichere Therapie ist. Sie wird allerdings auch in Zukunft weder die Chirurgie noch die Strahlentherapie oder die Chemotherapie ersetzen. Sie stellt aber ein zusätzliches, sehr wertvolles Werkzeug in der Krebsbekämpfung dar, mit dem viele Metastasen oder Tumoren, die sonst nicht therapierbar wären, nun behandelt werden können.

Da diese Technologie jedoch noch sehr neu ist und Langzeiterfahrungen fehlen, müssen auch eventuelle längerfristige Veränderungen im behandelten Gewebe und die lokale Rezidivrate zukünftig beobachtet und ausgewertet werden.