Patientenzeitschrift "Mittelpunkt"

Fortgeschrittene Techniken der Magnetresonanztomographie erlauben es, Hirnveränderungen bereits in früheren Stadien von Alterserkrankungen, die mit Demenz und Bewegungsstörungen einhergehen, zu erkennen. Dies ermöglicht es Betroffenen, Ursache und Prognose der Krankheitssymptome zu verstehen und rechtzeitig Vorsorge zu treffen. Auch die Entscheidung über den Einsatz von Medikamenten kann dadurch erleichtert werden.

Demenz – also der Verlust geistiger, emotionaler und sozialer Fähigkeiten – und Bewegungsstörungen, zum Beispiel Gangunsicherheit, treten mit voranschreitendem Lebensalter gehäuft auf, bei bestimmten Erkrankungen auch zusammen. Man spricht von sogenannten neurodegenerativen Erkrankungen im Alter. Bekanntester Vertreter ist die Alzheimer-Erkrankung. Im Jahre 2011 lebten in der Schweiz mehr als 100000 Betroffene, und deren Zahl wird sich nach aktuellen Voraussagen bis ins Jahr 2030 verdoppeln.

Trotz intensiver Forschung gibt es bisher beispielsweise für die Demenz vom Alzheimer-Typ noch keine Heilungsmöglichkeit. Umso grösser ist die Besorgnis bei Patienten und Angehörigen, wenn erstmalig Symptome auftreten wie eine zunehmende Vergesslichkeit, die an eine derartige Erkrankung denken lassen. Doch liegt überhaupt eine krankhafte Einschränkung vor? Oder handelt es sich um eine häufige und milde, altersbedingte Einschränkung des Merkvermögens, eine sogenannte Altersvergesslichkeit? Demenz oder Bewegungsstörung könnten auch Ausdruck einer organischen, behandelbaren Erkrankung sein, wie beispielsweise einer gefässbedingten oder entzündlichen Erkrankung des Nervensystems, oder auch einer Stoffwechselstörung.

Ansprechpartner für die Klärung dieser Fragen ist der Facharzt für Neurologie. Im Rahmen einer Erhebung der Krankengeschichte mit dem Patienten und seinen Angehörigen sowie klinischen Untersuchungsbefunden prüft er, ob ein degenerativer Prozess vorliegt. Neben einer neuropsychologischen Untersuchung, einer Ableitung der Hirnströme sowie je nach Krankheitsbild zusätzlich einer Entnahme des Nervenwassers und einer Schlaflaboruntersuchung wird eine Magnetresonanztomographie (MRI /MRT)-Untersuchung des Gehirns durchgeführt.

 

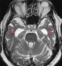
mri_alzheimer_typisch
Abb. 1a
MR-Bilder zweier Patienten mit Demenzerkrankung: typischer Befund einer Alzheimer-Erkrankung mit deutlich erweiterten Hirnkammern (rote Pfeile)
mri_alzheimer_gefaesserkrankung
Abb. 1b
Demenz bei Gefässerkrankung; die Hirnkammern sind schlank, aber zahlreiche Einblutungen in das Hirngewebe sind abgrenzbar (schwarze Punkte, gekennzeichnet mit weissen Pfeilen).

Bildgebung des Gehirns

Das MRI ist heute das Verfahren der Wahl für die Bildgebung des Gehirns. Wenn sich mit der Standardtechnik des MRI keine krankhaften Veränderungen im Hirn abgrenzen lassen, obwohl der neurologische Facharzt demenztypische Einschränkungen festgestellt hat, ergibt sich für Patient und Angehörige eine schwierige Situation: Eine ursächlich behandelbare Form der Demenz ist dann weitgehend ausgeschlossen. Eine Einordnung des Demenz-Typs ermöglicht das einfache MRI aber auch nicht, wenn die Untersuchung in einem frühen Krankheitsstadium erfolgt.

 

Einsatz fortgeschrittener Techniken der MR-Bildgebung

Da eine herkömmliche MR-Untersuchung typische Rückbildungen der Hirnsubstanz meist erst im späteren Demenz-Stadium zeigen kann, haben in den vergangenen Jahren sogenannte fortgeschrittene MRI-Techniken Anwendung gefunden, wie sie in der Klinik Im Park eingesetzt werden. Diese haben eine möglichst frühzeitige Erkennung von funktionellen Veränderungen, z. B. Durchblutungsstörungen, und strukturellen, z. B. subtiler Hirngewebeschwund, zum Ziel (Abb. 2). Auch ohne gegenwärtige Heilungsoption ist eine korrekte Diagnose im Frühstadium der Demenzerkrankung bedeutsam, weil nur dann Patient und Angehörigen ausreichend Zeit bleibt für eine entsprechende Anpassung der privaten und gegebenenfalls beruflichen Lebensumstände.

mri_alzheimer_untypisch
Abb. 2a
Standard-MR-Bild eines Patienten mit Demenzerkrankung: untypischer Bildbefund für eine Alzheimer-Erkrankung, ohne Aufweitung der Hirnkammern (rote Pfeile)
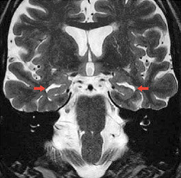
messung_hirndurchblutung
Abb. 2a
Messbild der Hirndurchblutung eines Patienten mit Farbkarte der Durchblutungsmessungen. Die Durchblutungsminderungen sind zum Hinterhaupt (okzipital) betont (innerhalb der Ovale), somit ebenfalls untypisch für eine Alzheimer-Erkrankung. Hier kommt eine andere Demenzform, z. B. die sogenannte Lewy-Körper-Demenz (LBD), in Betracht.

Schwund des Hirngewebes prüfen

Bevor das Auge auch eines erfahrenen Facharztes für Neuroradiologie regionale Hirnvolumen-Abnahmen und deren Muster erkennen kann, ist dies mit hochauflösenden MRI-Messungen in Kombination mit computergestützten Auswertetechniken bereits möglich. Dazu wird das Gehirn zunächst millimetergenau vermessen und die Datensätze des Patienten auf ein standardisiertes «Normalgehirn» umgerechnet. Patientendaten und Vergleichsangaben eines altersgleichen Kollektivs gesunder Personen sowie von Patienten mit gesicherten neurodegenerativen Erkrankungen werden statistisch genau ausgewertet. So lassen sich frühzeitig und objektiv Art und Muster des Gewebeschwundes nachweisen.

 

Durchblutungsstörungen erkennen

Moderne MRI-Techniken erlauben die Messung der Hirndurchblutung in verschiedenen Arealen, auch ohne intravenöse Kontrastmittelgabe. Die Durchblutungsminderungen betreffen je nach Erkrankung unterschiedliche Hirnareale, gehen dem Gewebeschwund in der Regel weit voraus und können wiederum anhand des Verteilungsmusters auch im Frühstadium wichtige Hinweise auf die Art der neurodegenerativen Erkrankung liefern (Abb. 2b). Bei der Alzheimer-Erkrankung z. B. stehen Durchblutungsminderungen in den Schläfen- und Scheitellappen im Vordergrund.

 

Frühzeitige Diagnose dient der Lebensplanung

Die Anforderungen an die MR-Bildgebung haben sich in den letzten Jahren grundlegend gewandelt. Es geht nicht mehr nur um den Ausschluss andersartiger, behandelbarer Erkrankungen, deren Symptome einer primären neurodegenerativen Erkrankung ähneln. Von Bedeutung ist vielmehr die frühzeitige Erkennung und diagnostische Zuordnung der jeweiligen Demenz und/oder Bewegungsstörung, um dem Patienten und seinen Angehörigen die Möglichkeit frühzeitiger Weichenstellung zu geben. Auch der rechtzeitige Einsatz von Medikamenten, sogenannten Dementiva, die den Krankheitsverlauf im Frühstadium günstig beeinflussen können, wird so unterstützt.

Interview mit Prof. Dr. med. Randolf Klingebiel und Dr. med. Adriana Schmid

Was sind neurodegenerative Erkrankungen?

Prof. R. Klingebiel (RK): Neurodegeneration ist ein Sammelbegriff für Erkrankungen, die durch Schädigung und Zerfall von Nervenzellen zu meist langsam fortschreitenden neurologischen Symptomen führen, am häufigsten sind Demenz und Bewegungsstörungen. Zu den bekanntesten Vertretern dieser Gruppe zählen die Alzheimer-Demenz und die Parkinson-Erkrankung. Da neurodegenerative Erkrankungen in vielerlei Hinsicht Überschneidungen aufweisen, können auch die Leitsymptome Demenz und Bewegungsstörungen bei verschiedenartigen Erkrankungen gemeinsam auftreten, allerdings zu unterschiedlichen Zeitpunkten.

 

Zu welchem Zeitpunkt lassen sich Betroffene neurologisch untersuchen?

Dr. A. Schmid (AS): Manche früher, andere später, je nach Lebensphase und Aktivitätsgrad. Sie suchen in der Regel ihren Hausarzt oder direkt den Neurologen auf, wenn sie feststellen, dass gewohnte Bewegungsabläufe nicht mehr richtig funktionieren – z. B. Spaghetti aufdrehen, die Computermaus zielsicher bedienen, Knöpfe schliessen – oder dass sie auf Wanderwegen unsicher werden. In anderen Fällen ist es das Umfeld, das die Erkrankten auf Veränderungen ihrer Körperhaltung oder ihrer Persönlichkeit hinweist. Insbesondere, wenn sich eine Demenz entwickelt, die für alle eine delikate Situation darstellt, werden Betroffene von der Familie zur Untersuchung angemeldet.

 

Warum zögern manche Erkrankte, sich untersuchen zu lassen?

AS: Weil einerseits die Untersuchung die Betroffenen mit ihren Funktionsdefiziten konfrontiert, anderseits mit einer Diagnose zu rechnen ist, die weitreichende Konsequenzen haben kann. Noch gibt es keine Medikamente, die neurodegenerative Erkrankungen heilen können, manche können die Symptome eine Zeit lang verbessern und den Verlauf verlangsamen– abgesehen von einigen wenigen behandelbaren Demenzursachen, die es im Rahmen der neurologischen Abklärung zu erkennen gilt.

 

Das bedeutet, dass gewisse Demenzen behandelbar sind?

RK: Potenziell behandelbar sind sogenannte sekundäre Demenzen, also organische Erkrankungen wie Entzündungen, Gefässerkrankungen, Stoffwechselstörungen, Vitaminmangelzustände usw., die unter anderem demenzielle Symptome verursachen können. Eine solche organische Erkrankung rechtzeitig zu erkennen, war früher die Hauptaufgabe der Bildgebung. Heute greift die moderne Bildgebung deutlich weiter und zielt darauf ab, den Demenztyp und seinen Verlauf frühzeitig zu charakterisieren.

AS: Ein MRI sollte allerdings im klinischen Kontext bzw. im Rahmen einer neurologischen Abklärung interpretiert werden.

 

Womit muss der Patient rechnen?

AS: Mit einer eingehenden Erhebung der subjektiven Beschwerden – ergänzende Angaben durch die Angehörigen sind erwünscht –, je nach Krankheitsbild mit einer neuropsychologischen Untersuchung, von Fall zu Fall mit der Ableitung von Hirnströmen und/oder der Entnahme von Nervenwasser und Blut sowie einer Ultraschalluntersuchung der Hirngefässe. Aufgrund des Beschwerdebildes und der Befunde wird eine erste Diagnose gestellt und mit der Frage nach einer Abflussstörung der Hirnflüssigkeit, Durchblutungsstörungen, Tumor oder krankheitsspezifischer Schrumpfung einzelner Hirnregionen eine MRI-Untersuchung veranlasst.

RK: Diese Angaben bestimmen letztlich Vorgehensweise und Aussagekraft der MRI-Untersuchung. Unter Einsatz fortgeschrittener Techniken kann bereits ein geringer regionaler Gewebeschwund erkannt werden. Hierbei hilft insbesondere die computergestützte Auswertung des Hirnvolumens, ein Verfahren, das die Klinik Im Park ihren Patienten in Kooperation mit Prof. H.-J. Huppertz von der Epiklinik Zürich anbietet. Es erfolgt unter anderem der Abgleich unserer Messwerte mit denjenigen anderer Patienten, bei denen die Erkrankung bereits diagnostiziert wurde. So wird frühzeitiger eine ausreichende diagnostische Sicherheit gewährleistet, die z. B. für die Entscheidung über eine medikamentöse Behandlung bedeutsam sein kann. Auch die Aussagekraft von Verlaufskontrollen in frühen Krankheitsstadien wird durch diese Auswertung entscheidend verbessert.

 

Welche Therapieoptionen gibt es?

AS: Diese hängen von der jeweiligen Diagnose ab. Bei einer Abflussstörung der Hirnflüssigkeit wird z. B. die Einlage eines Shunts veranlasst, bei der Parkinson-Erkrankung werden Medikamente und Physiotherapie verschrieben, bei Demenzen – je nach Demenztyp – Medikamente, die den Abbau verlangsamen, in Kombination mit einem Hirnleistungstraining, oder Hirnleistungstraining allein.

 

Wo steht die Forschung?

RK: Auch wenn die genaue Ursache der Alzheimer-Erkrankung weiterhin ungeklärt ist, konnte gezeigt werden, dass krankhafte Eiweissablagerungen in und um Nervenzellen in bestimmten Hirnregionen eine wichtige Rolle spielen. Daher richten sich die Forschungsanstrengungen auf die Hemmung bzw. den frühzeitigen Abbau der Eiweissablagerungen, bevor diese zu Schädigungen führen.

Besten Dank für das Gespräch.

Ärzte 1

Fachärztin für: Neurologie
RandolfKlingebiel
Prof. Dr. med.
Randolf Klingebiel