Patientenzeitschrift "Mittelpunkt"

Die Behandlung des akuten Herzinfarktes im Herzkatheterlabor mittels Ballondilatation und Stents hat sich etabliert. Dadurch sind die Chancen, einen Infarkt zu überleben, deutlich gestiegen – eines der wichtigsten Kriterien bleibt aber der Faktor Zeit. Hier sind auch der Patient und seine Angehörigen gefordert.

Der Myokardinfarkt ist eine lebensbedrohliche Erkrankung, deren Behandlung sich in den letzten zwei Jahrzehnten grundlegend geändert hat. Die therapeutischen Verbesserungen haben die Überlebenschancen eines Patienten, der mit einem Herzinfarkt ins Spital eingeliefert wird, wesentlich erhöht. Allerdings versterben noch immer etwa 20 – 30 % der Patienten, bevor ärztliche Hilfe eintrifft.

Hirslanden-Herzinfarkt-ein-Wettlauf-mit-der-Zeit-1
Abb. 1
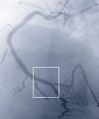
Verschluss an der rechten Herzkranzarterie
Hirslanden-Herzinfarkt-ein-Wettlauf-mit-der-Zeit-2
Abb. 2
Mittels Angiographie werden die Herzkranzgefässe dargestellt. Im Bild sichtbar ist der Kontrastmittelstopp an der verschlossenen Stelle.

Öffnen des Gefässes

Dem Infarktereignis zugrunde liegt in aller Regel ein abrupter Verschluss eines Herzkranzgefässes durch ein Blutgerinnsel, das lokal an einer verengten Stelle entstanden ist (siehe Abb. 1 und 2). Früher wurde versucht, das Gefäss durch Auflösen des Thrombus wieder zu eröffnen. Hierfür wurden gerinnungshemmende Substanzen intravenös verabreicht. Die Auflösung gelang aber nur bei einem Teil der Patienten und es konnten teils bedrohliche Blutungskomplikationen auftreten.

Mittlerweile hat sich die direkte Wiedereröffnung einer verschlossenen Koronararterie mittels kathetertechnischer Ballondilatation und Stent-Implantation (PCI) als deutlich überlegene Behandlungsstrategie herausgestellt (siehe Abb. 3 und 4). Weltweit wird deshalb diese Behandlungsform wenn immer möglich als sofortige Erstbehandlung des akuten Herzinfark- tes angestrebt. Der Faktor Zeit spielt dabei eine ausschlaggebende Rolle.

Hirslanden-Herzinfarkt-ein-Wettlauf-mit-der-Zeit-3
Abb. 3
Der Ballonkatheter wird von der Leiste her über die Hauptschlagader in die verschlossene Stelle des Herzkranzgefässes vorgeschoben.
Hirslanden-Herzinfarkt-ein-Wettlauf-mit-der-Zeit-4
Abb. 4
Am gewünschten Ort wird der Ballon aufgedehnt und der Stent entfaltet. Das Blut kann wieder fliessen.
Hirslanden-Herzinfarkt-ein-Wettlauf-mit-der-Zeit-5
Abb. 5
Die Angiographie zeigt das wiedereröffnete, vollständig durchblutete Gefäss nach erfolgtem Eingriff.

Entscheidende erste Stunden

Vom Moment eines Gefässverschlusses an wird die Sauerstoffzufuhr zum entsprechenden Herzmuskelabschnitt unterbrochen und Herzmuskelzellen beginnen abzusterben. Ein Wettlauf gegen die Zeit setzt ein, um mit der Wiedereröffnung des Gefässes möglichst viele Muskelzellen retten zu können. Je ausgedehnter die irreparable Muskelschädigung ausfällt, desto schlechter ist die künftige Pumpfunktion des Herzes. Der bleibende Schaden am Herz wird umso kleiner sein, je früher und vollständiger die Wiedereröffnung des verstopften Gefässes gelingt. Dabei zählt jede Viertelstunde, da die besten therapeutischen Erfolge in den ersten 1 bis 6 Stunden nach Schmerzbeginn erzielt werden.

Zielgerichtetes Handeln notwendig

Um eine möglichst rasche Behandlung durchführen zu können, darf weder vom Patienten noch von den involvierten Ärzten und Sanitätern unnötig Zeit verloren werden. Treten Symptome eines akuten Herzinfarktes auf, sollte unverzüglich über die Ambulanz oder den Notarzt (Telefon 144) Hilfe angefordert werden. Nach gesicherter Diagnose des Infarktes (eindeutige Symptome und EKG-Veränderungen) ist der Patient raschmöglichst in ein Spital zu transportieren, welches über die Infrastruktur zur notfallmässigen herzkathetertechnischen Infarktbehandlung verfügt. Während des Transportes können der interventionelle Kardiologe bereits informiert und das EKG sowie weitere wichtige Angaben übermittelt werden. Beim Eintreffen im Herzkatheterlabor werden dann nur noch wenige Minuten bis zum Beginn der eventuell lebensrettenden Herzkatheterbehandlung benötigt. Meist ist das für den Infarkt verantwortliche Herzkranzgefäss 30 bis 40 Minuten nach Spitaleintritt wieder eröffnet (Abb. 5).

Teamwork ist gefragt

Entscheidend für eine erfolgreiche Infarkt-Behandlung ist ein rund um die Uhr einsetzbares sehr gut eingespieltes Team aus Kardiologen und Pflegefachleuten sowie eine optimale Infrastruktur. Der Einsatz der ergänzenden medikamentösen Behandlung muss ausserdem individuell gewählt und angepasst werden. Am meisten Zeit kann derzeit vor allem in der Vorspitalphase gewonnen werden. Hier ist die Reaktionsgeschwindigkeit des Patienten bzw. der Angehörigen entscheidend. Ebenfalls sind die Notfallequipen gefordert, um möglichst schnell die richtige Diagnose zu stellen und den unverzüglichen Transport des Patienten ins Herzkatheterlabor zu gewährleisten. Eine rasche, klare Kommunikation zwischen Patient, Notfallarzt und Zentrumsspital sowie die Verwendung modernster Hilfsmittel, wie transportable EKG-Geräte oder elektronische drahtlose Datenübermittlung, sind entscheidend, um den Ablauf zu optimieren.

Risikofaktoren in Auge behalten

Nach der akuten Infarktbehandlung wird der weitere Verlauf wesentlich vom Ausmass der erlittenen Herzmuskelschädigung bestimmt. Eine «blutverdünnende» medikamentöse Behandlung ist wichtig, um erneute Gerinnselbildungen in den Arterien zu verhindern. Ausserdem wird mit cholesterinsenkenden Präparaten die zugrunde liegende Erkrankung der Gefässe, die Arteriosklerose, günstig beeinflusst. Zur Prävention und zur Verbesserung der Herztätigkeit nach einem Infarkt ist eine ambulante Herzrehabilitation häufig sehr sinnvoll. Auch später bleiben regelmässige Kontrollen beim Hausarzt und/oder beim Kardiologen notwendig, um die kardiovaskulären Risikofaktoren zu überwachen und ein allfälliges Fortschreiten der Gefässerkrankung rechtzeitig erkennen zu können.

Wie erkenne ich einen Herzinfarkt?

  • Schmerzen, Druck und Engegefühl hinter dem Brustbein, seltener in der Magengegend oder im unteren Halsbereich
  • Häufig, aber nicht zwingend vorhanden: Ausstrahlung der Schmerzen in den Brustkorb bis hin zu den Schultern und Armen, in den Hals, Nacken und Unterkiefer sowie in den Oberbauch und/oder Rücken
  • Die Schmerzen dauern länger als 15 Minuten.
  • Oft Begleitsymptome, wie Atemnot, Unwohlsein, Schwindel und Übelkeit, schwacher Puls, blasse und fahle Gesichtsfarbe, kalter Schweiss

Treten diese Symptome auf, rufen Sie unverzüglich den Notarzt oder die Ambulanz 144 an und lassen sich ins nächste Herzzentrum bringen!

Hirslanden-Herzinfarkt-ein-Wettlauf-mit-der-Zeit-6
Typische Schmerzlokalisation bei Herzinfarkt

Interview mit Dr. med. Maurus Huber

Wie bewerten Sie die akute Herzinfarktbehandlung?

Wenn der Patient einmal im Spital ist, dann stehen seine Chancen wesentlich besser als vor 20 Jahren. Die Sterberate konnte um etwa einen Drittel auf weniger als 10 % gesenkt werden. Unter anderem ist dies auf die rasche Behandlung im Herzkatheterlabor zurückzuführen. Dabei gelingt es in über 95 % der Fälle, ein verstopftes Gefäss wieder zu eröffnen, und zwar so, dass es offen bleibt.

Und wie gestaltet sich das Leben danach?

Das Ziel der Herzinfarktbehandlung ist es, dass der Patient das akute Ereignis überlebt und dann möglichst uneingeschränkt in den Alltag zurückkehren kann – dies häufig bereits nach wenigen Wochen. Entscheidend bleibt die Reaktionszeit: Je rascher bei einem Infarkt therapiert wird, umso mehr Herzgewebe und -tätigkeit kann erhalten werden. Viele der Infarktpatienten können wieder denselben Aktivitäten nachgehen wie zuvor, Bergtouren oder Langstreckenlaufen inklusive.

Was geschieht, wenn der Herzmuskel zu stark geschwächt wird?

Bleibt der Herzmuskel stark geschädigt und die Pumpfähigkeit verringert, wird auch die Lebensqualität bleibend beeinträchtigt. In diesem Fall müssen lebenslang Medikamente das Herz entlasten. Trotz intensiver Forschung sind wir noch nicht in der Lage, mittels Stammzellentherapie funktionsfähiges Muskelgewebe zu erzeugen. Deshalb gilt es, einen grossen Herzinfarkt möglichst zu vermeiden.

Warum verstreicht häufig noch zu viel Zeit, bis die Patienten ins Spital gehen?

Es gibt zwei Gründe. Zum einen können die Beschwerden von der Lokalisation her atypisch auftreten und nicht primär auf das Herz schliessen lassen – es schmerzt beispielsweise die Schulter, der Magen oder der Kiefer. Schmerzen direkt in der Herzgegend sind keinesfalls zwingend, denn erfahrungsgemäss verspüren nur etwa ½ bis maximal ¾ der Patienten die typischen Beschwerden hinter dem Brustbein oder im linken Brustkorb. Zum anderen kommt der Infarkt für viele sehr überraschend. Dies trifft vor allem auf Personen zu, die vorher regelmässig Sport getrieben haben und kaum Risikofaktoren aufweisen. Sie rechnen im Gegensatz zu einem starken Raucher nicht mit einem Infarkt.

Welchen Tipp geben Sie diesen Personen?

Wenn die Schmerzen nach 15 bis 20 Minuten nicht vorbeigehen, sollten sie umgehend reagieren und Hilfe anfordern. Ob es sich um einen Herzinfarkt handelt, zeigt nur ein EKG und die anschliessende Überwachung. Stellt sich heraus, dass es kein Infarkt ist, dann ist es Glück im Unglück.

Welches sind die Risikofaktoren?

Hauptrisikofaktoren sind Rauchen, Zuckerkrankheit und Bluthockdruck sowie ungünstige Cholesterinwerte. Übergewicht als alleiniger Faktor ist umstritten, führt aber häufig zu einer Verschlechterung der Stoffwechselsituation. Ungünstig ist auch eine genetische Vorbelastung mit Herzerkrankung bei Verwandten 1. Grades, also Geschwistern oder Eltern.

Ist es sinnvoll, den Hausarzt aufzusuchen?

Wichtig ist, dass der Patient bei einem Herzinfarkt schnellstmöglich medizinisch betreut wird. Wenn der Hausarzt sofort erreichbar ist und rasch ein EKG geschrieben werden kann, dann ist es eine Option. Wenn nicht, ist es empfehlenswert, sofort die Ambulanz zu rufen. Häufig geht ein Infarkt in den ersten 24 Stunden mit Herzrhythmusstörungen, einem Kammerflimmern oder einem Herzstillstand einher; diese Phase ist heikel. In der Ambulanz oder im Spital kann mittels Defibrillator und Reanimation auf solche Rhythmusstörungen reagiert werden. Zu Hause, ohne Defibrillator, ist der Patient in solch einer Situation häufig chancenlos!

30 bis 40 Minuten nach Spitaleintritt ist das Gefäss bereits wieder eröffnet. Wie können Sie so schnell reagieren?

Hierzulande sind Ambulanzen mit einem EKG-Gerät ausgestattet und die Daten werden elektronisch oder per Fax an das Spital übermittelt. Idealerweise erhalten wir die Diagnose, noch bevor der Patient eingeliefert wird. Dies spart wertvolle Zeit, da die Abklärung nicht erst im Spital vorgenommen werden muss. Anschliessend benötigen wir 15 bis 20 Minuten, um das Personal aufzubieten und den Saal vorzubereiten. Während des Eingriffs zählen dann Routine und Erfahrung.

Viele Infarktpatienten haben Angst vor einem erneuten Infarkt. Was können Sie dagegen tun?

Vor 20 – 30 Jahren war diese Angst wesentlich grösser, da man nicht jeden Patienten koronarangiographiert hatte. Heute machen wir bei fast jedem Patienten eine Gefässdarstellung, sodass anhand der Bilder genau beurteilt werden kann, wie die Gefässe aussehen und wie gross das Risiko eines erneuten Infarktes ist. Je höher das Risiko, um so engmaschiger ist die Betreuung. Dadurch können wir den Patienten sehr viel Zuversicht schenken und sie beruhigen. Und der Patient kann selber aktiv werden. Wir wissen, dass ein leichtes Ausdauertraining von täglich 30 – 45 Minuten hilft, das Risiko eines erneuten Herzinfarktes um 30 % zu senken!

Besten Dank für das Gespräch.