Patientenzeitschrift "Mittelpunkt"

Die Bildgebung in der Medizin hat in den vergangenen Jahrzehnten eine unglaubliche Entwicklung erfahren. Dank dieser werden einerseits immer detailliertere Diagnosen von Gelenken möglich, anderseits erfolgen immer mehr interventionelle Eingriffe in der Radiologie, wie beispielsweise zur Behandlung von Tumoren.

Abb. 1
Das vorliegende Bild zeigt die linke Schulter in einem 3-Tesla-Magnetfeld. Der 56-jährige Patient ist auf die ausgedrehte Schulter gefallen: Nach Füllung des Gelenkraums mit 15 ml Kontrastmittel wird ein Teilriss der Supraspinatussehne (a) sichtbar sowie ein feiner Riss der Knorpellippe am oberen Pfannenrand (SLAP-Läsion; b) an der Verankerung der langen Bizepssehne. Zusätzlich besteht eine Quetschung des AC-Gelenks (Acromio-Clavicular-Gelenks; c).

Die modernen Schnittbildverfahren, wie Magnetresonanztomographie (MRI), Computertomographie (CT) und Ultraschall, sind aus dem heutigen Praxisalltag nicht mehr wegzudenken. Die Entwicklung der Bilddaten erfolgt dank immer schnellerer Rechnerleistung exponentiell und hat mittlerweile eine räumliche Auflösung im Submillimeterbereich erreicht. Aufgrund der schnellen Bildaufnahme im CT und MRI ist es möglich, 3-D- und sogar 4-D-Bilddaten und somit bewegte Bilder, beispielsweise einer Herzaktion, zu erhalten und diese elektronisch innerhalb von Minuten um die ganze Erde zu verschicken. Demzufolge wird die Bildgebung häufig zur genauen Operationsplanung, zum Therapieverlauf und für Zweitmeinungen unabhängig von Ort und Zeitzone eingesetzt. Zusätzlich zum immer breiteren diagnostischen Umfang wird auch das therapeutische Spektrum immer umfangreicher. So werden in der Radiologie immer mehr minimalinvasive Eingriffe durchgeführt, mit denen offene Operationen umgangen werden können.
Nachfolgend wird je ein Beispiel einer Gelenkdiagnostik und einer Tumorbehandlung vorgestellt.

Gelenkdiagnose: Selbst Übergänge von Knorpel und Sehnen werden sichtbar

Speziell die Abklärung der Gelenke hat in den letzten Jahren eine enorme Revolution in der Bildgebung erfahren. Die Einführung starker Magnete in der Grössenordnung von 3 Tesla – die Einheit Tesla umschreibt die Magnetfeldstärke und entspricht dem 100 000-fachen der Erdanziehungskraft – ermöglicht heute die Beurteilung von Knorpel-Sehnen-Übergängen und die Darstellung feiner Sehnenrisse (Abb. 1). Dies erlaubt ein genaues Auswahlverfahren der geeigneten Therapie für den Patienten. Nicht immer ist eine Operation oder eine Gelenkspiegelung (Arthroskopie) nötig, wenn die genauen Verletzungen mittels bildgebender Verfahren bekannt sind. Bei einzelnen Gelenken, wie beispielsweise dem Knie, reicht die Bildgebung aus, um ohne zusätzliche Kontrastmittel eine exakte Diagnose zu stellen.

Bei komplexeren Gelenken ist es jedoch häufig nötig, eine zusätzliche Aufdehnung des Gelenkinnenraums vorzunehmen, um feine Risse exakt darstellen zu können. So zum Beispiel beim Schulter-, Hand- und Hüftgelenk. Dort gibt es Verletzungen der Knorpel- und Sehnenübergänge, die nur mittels eines erhöhten Kontrasts im Gelenk sichtbar werden. Dazu wird das Gelenk mit einer feinen Nadel punktiert, und wenige Milliliter eines Kontrastmittels werden ins Gelenk eingebracht. Innerhalb der nächsten 30 Minuten kann dann die Bildgebung mittels MRI oder CT erfolgen (Abb.1). Das Kontrastmittel wird von den Patienten exzellent vertragen und in den folgenden Stunden über die Nieren vollständig ausgeschieden.

Das vorliegende Bild zeigt die linke Schulter in einem 3-Tesla-Magnetfeld. Der 56-jährige Patient ist auf die ausgedrehte Schulter gefallen: Nach Füllung des Gelenkraums mit 15 ml Kontrastmittel wird ein Teilriss der Supraspinatussehne sichtbar, ebenso ein feiner Riss der Knorpellippe am oberen Pfannenrand (SLAP-Läsion) an der Verankerung der langen Bizepssehne. Zusätzlich besteht noch eine Quetschung des AC-Gelenks (Acromio-Clavicular).

hirslanden-interventionelle-radiologie-2
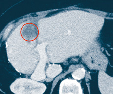
Abb. 2a
CT-Darstellung einer Lebermetastase (Tochtergeschwulst eines Dickdarmtumors – grauer Fleck innerhalb des roten Kreises).
hirslanden-interventionelle-radiologie-3
Abb. 2b
Im Rahmen des thermoablativen Verfahrens wird eine Sonde exakt ins Zentrum der Metastase vorgeschoben, und der Tumor wird anschliessend «verkocht».
hirslanden-interventionelle-radiologie-4
Abb. 2c
Ergebnis nach erfolgreicher Ablation: Die Metastase ist zerstört. Der Kreis zeigt das Areal, in dem sich die Metastase vormals befand und das mit einem erforderlichen Sicherheitsabstand therapiert wurde.

Die Intervention: ein Kerngebiet der modernen Radiologie

Mit den modernen bildgebenden Verfahren, speziell der Angiographie und der Computertomographie, werden auch interventionelle Eingriffe durchgeführt. Diese ermöglichen die Diagnose und Therapie vieler unterschiedlicher Erkrankungen, überwiegend des Gefäss- oder des Gallengangsystems. Sie werden aber auch bei zahlreichen Tumorerkrankungen angewandt. Unter Bildsteuerung kann der Radiologe mit Angiographiekathetern, die einen Durchmesser von weniger als einem Millimeter besitzen, in das Gefässsystem fast jeden Organs gelangen und dort Blutungen stillen oder unmittelbar vor Ort Tumoren behandeln. Oftmals ist dieses Vorgehen schonender und effektiver als eine offene Operation.

Mit Hitze oder Medikamenten Tumoren vor Ort bekämpfen

Ob eine interventionell-radiologische Therapie bei einem Krebsleiden zum Einsatz kommt, wird im Rahmen einer engen interdisziplinären Kooperation mit den Spezialisten verschiedener medizinischer Fachrichtungen, zumeist Chirurgie, Innere Medizin und Onkologie, entschieden. Insbesondere bei bösartigen Lebertumoren beziehungsweise Tumorabsiedelungen von Dick- und Enddarmtumoren in der Leber kommen – falls eine Operation aufgrund der Tumorgrösse und -lage nicht mehr möglich sein sollte – neue minimalinvasive Therapieverfahren erfolgreich zum Einsatz.

Die Chemo-Embolisation (TACE) ist ein interventionelles Verfahren zur Behandlung von Leberkrebs oder anderen stark durchbluteten Tumoren. Mittels eines Angiographiekatheters werden Chemotherapeutika und winzig kleine Partikel direkt in das Gefässsystem des Tumors eingebracht. Das Chemotherapeutikum wirkt somit in höchster Konzentration innerhalb der Geschwulst, wodurch die Effizienz deutlich erhöht und gleichzeitig das Ausmass der Nebenwirkungen reduziert wird. Die Partikel ihrerseits bewirken eine sehr selektive Unterbindung der Blutzufuhr (Embolisation). Beides kombiniert führt zu einer überaus effektiven Hemmung des Tumorwachstums.

Die thermoablativen Verfahren, beispielsweise Radiofrequenzablation oder Mikrowelle (Abb. 2b), werden vor allem zur Behandlung von Tumoren in Leber und Niere, aber auch am Knochen angewandt. CT-gesteuert werden spezielle Ablationsnadeln gezielt ins Tumorgewebe eingebracht, um dieses durch grosse Hitze vollständig zu zerstören. Abhängig von der Tumorgrösse ist der Therapieerfolg einer AblationAblation: Entfernen von Körpergewebe mit dem einer Operation vergleichbar.