Patientenzeitschrift "Mittelpunkt"

Bei jedem fünften Kopfschmerz-Patienten ist der Einsatz bildgebender Verfahren, allen voran der Magnetresonanztomographie, erforderlich. Ebenso vielfältig wie die Ursachen des Kopfschmerzes sind hierbei die Untersuchungsmöglichkeiten. Fachärztliche Kompetenz und modernste Gerätetechnik sichern den Erfolg der Untersuchung.

hirslanden-moderne-bildgebung-bei-kopfschmerzen-1

Mehr als 60% der Bevölkerung leiden unter Kopfschmerzen, die entweder episodisch auftreten oder eine chronische Ausprägung zeigen. Allein von der Migräne sind bis zu 18% der weiblichen Bevölkerung betroffen.

Auch wenn es hierbei in erster Linie um die Betroffenen geht, zeigen die mit Kopfschmerz-Erkrankungen verbundenen Folgekosten – etwa 500 Millionen CHF nur durch Behandlung und Produktivitätsausfall bei Migräne –, dass es sich um eine in vielerlei Hinsicht bedeutsame Gruppe von Erkrankungen handelt.

Wann ist eine Bildgebung erforderlich?

Die Zuordnung der Kopfschmerzen erfolgt nach der internationalen Kopfschmerzklassifikation (IHCD-II) in primäre und sekundäre Kopfschmerzen. Die weitaus häufigsten Kopfschmerzerkrankungen – Spannungskopfschmerz und Migräne – können vom behandelnden Arzt nach Erhebung der Krankheitsgeschichte und der neurologischen Untersuchung mit grosser Sicherheit zugeordnet werden. Diese gehören zu der als primäre Kopfschmerzen bezeichneten Gruppe und erfordern keine Bildgebung.

Eine Ausnahme hiervon stellen unter anderem primäre Kopfschmerzen dar, deren Charakter oder Intensität sich eindeutig verändert hat, ebenso der «Donnerschlag-Kopfschmerz», der aufgrund des abrupten Auftretens von sekundären Kopfschmerzen nicht sicher zu trennen ist. Zudem hat sich die Erkenntnis durchgesetzt, dass auch unter den Betroffenen mit sogenannt primären Kopfschmerzen Patienten sind, die unter einem besonders hohen Leidensdruck stehen, weil sie eine schwere Tumorerkrankung als Ursache vermuten. Dieser Leidensdruck, der durch entsprechende Erkrankungen in der Familie oder im Freundeskreis gefördert sein kann, veranlasst die Patienten zu immer neuen ärztlichen Konsultationen, bis ihnen diese Angst durch eine qualifizierte Bildgebung genommen werden kann.

In all diesen Fällen ist, ebenso wie bei sekundären Kopfschmerzen, eine Bildgebung, zumeist eine Magnetresonanztomographie (MRI) des Kopfes, sinnvoll und erforderlich.

Unter sekundären Kopfschmerzen, die bis zu 20% der Kopfschmerz-Erkrankungen ausmachen, werden wiederum solche Kopfschmerzen verstanden, die infolge einer Erkrankung des Gehirns, seiner Hüllen oder der versorgenden Gefässe auftreten.

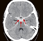
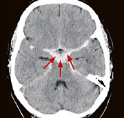
Abb. 1
Akut aufgetretener, heftigster Kopfschmerz. Das Computertomogramm zeigt eine Einblutung in den Liquorraum (SAB, Pfeile) nach Einriss eines Aneurysmas (krankhafte Gefässaussackung).
Abb. 2
Die CT-Angiographie erfasst in wenigen Sekunden Messzeit die Blutungsursache, hier ein Aneurysma (farbig markiert) an typischer Stelle.
Abb. 3
Kopfschmerzen und Sehstörungen bei krisenhafter Blutdruckerhöhung. Die Signalveränderungen der MRI-Untersuchung zeigen die charakteristischen, reversiblen Wassereinlagerungen in beiden Hinterhauptslappen (Pfeile).
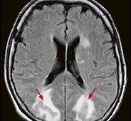
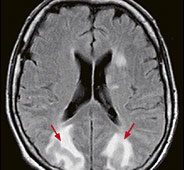
Abb. 4
Trigeminusneuralgie (Gesichtsschmerz). Das MRI zeigt ein kleines gutartiges Hirnhautgeschwulst (Meningeom, Pfeil), das den Nerv (Pfeilkopf) verlagert.

Nach kleinsten Veränderungen suchen

Sekundäre Kopfschmerzen, also solche, die mit Strukturveränderungen im Kopf oder im Hals einhergehen, können eine Vielzahl von Ursachen haben; verschiedenartige Gefässerkrankungen, vorangegangene Kopfverletzungen, Entzündungen des Hirngewebes und der Hirnhäute oder Störungen des Hirnwasser-Kreislaufes ebenso wie unerkannte Entzündungen der Nasennebenhöhlen seien hier beispielhaft genannt. Nicht selten sind subtile, nur wenige Millimeter kleine Strukturen, wie Gefässe oder Hirnnerven, von Bedeutung, da das Hirngewebe selber keine Schmerzrezeptoren aufweist. Diese gilt es mit einer gezielten, präzisen Bildgebung zu erkennen. Ebenso können Kopfverletzungen kleinste Blutungsreste im Hirngewebe hinterlassen haben, die nur mit bestimmten Messtechniken sichtbar gemacht werden können.

Während bei der Computertomographie (CT), einer auf Röntgenstrahlen beruhenden, weit verbreiteten Schnittbildtechnik, die Bandbreite der Untersuchungsprotokolle eingeschränkt ist, erlaubt das MRI eine Vielzahl unterschiedlicher Messungen.

Hier benötigen der Patient und sein behandelnder Arzt einen «Lotsen» für die Bildgebung, den Facharzt für Neuroradiologie. Aufgrund seiner speziellen Ausbildung ist dieser nicht nur mit den neuesten Techniken der Bildgebung, sondern auch mit den infrage kommenden Krankheitsbildern vertraut. Zahlreiche Details, wie Schmerzcharakter, Zeitpunkt und Dauer des Auftretens, auslösende Faktoren, begleitende Symptome, Alter und Vorerkrankungen des Patienten, fliessen hierbei ein und münden in eine individuelle, «massgeschneiderte» Untersuchung für jeden einzelnen Patienten.

Nicht zuletzt eröffnet der technische Fortschritt bei medizinischen Grossgeräten wie dem neuen 3-Tesla-MR-Gerät der Klinik Im Park in Zürich neue Horizonte, auch in der bildgebenden Diagnostik von Kopfschmerzpatienten. Die optimierte Bildqualität, zusätzliche Messtechniken, kürzere Untersuchungszeiten und das grosszügigere Platzangebot verbessern nicht nur die Leistungsfähigkeit des Verfahrens, sondern erleichtern auch Patienten mit Platzangst oder starkem Übergewicht den Zugang zum MRI.

Interview mit PD Dr. med. Randolf Klingebiel

Wann wird für die Kopfschmerz-Diagnose ein CT-, wann ein MR-Gerät eingesetzt?
Die Computertomographie eignet sich aufgrund sehr kurzer Untersuchungszeiten insbesondere für die Notfalldiagnostik, zum Beispiel bei den akut auftretenden stärksten Kopfschmerzen einer Hirnblutung oder bei Schädelverletzungen. Sehr leistungsfähig ist die CT Angiographie, die eine detaillierte 3-D-Darstellung von Kopf- und Halsgefässen liefert, unter anderem bei Verdacht auf Gefässfehlbildungen oder -verschlüsse. Aber auch bei Erkrankungen der Schädelknochen und der Nasennebenhöhlen wird primär die Computertomographie eingesetzt.

Und das MRI?
Die Magnetresonanztomographie ist bei der Kopfschmerzabklärung das Verfahren der Wahl, weil es auch subtile Hirnstrukturen kontrastreich abbildet. Hirnhäute und Hirnnerven, die bei der Kopfschmerzentstehung eine Rolle spielen können, sind beispielsweise mittels CT nicht hinreichend beurteilbar. Haben Patienten neurologische Begleiterscheinungen, wie Kraftschwäche, Sensibilitätsstörungen, Sehstörungen oder Bewusstseinsveränderungen, ist das MRI in jedem Fall zu bevorzugen.

Die Diagnose von Kopfschmerzen scheint sich sehr komplex zu gestalten.
Ja und nein. Zirka 80% der Kopfschmerzerkrankungen zählen zu den primären Formen, die klinisch weit überwiegend ohne Bildgebung zugeordnet werden können. Für die restlichen 20% allerdings gilt, dass eine sorgfältige fachärztliche Untersuchungsplanung die Wahrscheinlichkeit einer erfolgreichen Ursachensuche wesentlich erhöht. Frequenz, Dauer, Schmerzcharakter, Ort des Auftretens, Ausstrahlung und Begleitsymptome müssen in einen Zusammenhang gestellt werden. Viele Faktoren spielen eine Rolle, und der Neuroradiologe muss sie kennen, um die richtigen, individuell massgeschneiderten Bilddaten zu generieren. Darum ist nicht nur die apparative Ausstattung, sondern auch die Erfahrung des Neuroradiologen wichtig.

Wie kann ein MRI individuell massgeschneidert sein?
Eine MRI-Untersuchung besteht aus einer Abfolge von Einzelmessungen und dauert in der Regel insgesamt zwischen 20 und 30 Minuten. Jede dieser zirka 3 bis 6 Minuten dauernden Einzelmessungen liefert spezifische Informationen über Gewebe- und Gefässkontraste, die häufig erst in der Kombination eine Aussage ermöglichen. Da für die jeweiligen Messungen unterschiedliche Schaltungen des Magnetfeldes erfolgen, nimmt der Patient im Gerät auch unterschiedliche Geräuschmuster wahr. Werden diese Einzelmessungen falsch kombiniert oder nicht auf die spezielle Problematik des jeweiligen Patienten abgestimmt, fehlen wichtige Informationen.

Können Sie das Vorgehen anhand eines Beispiels verdeutlichen?
Der behandelnde Arzt überweist einen Patienten mit dem Verdacht auf eine symptomatische Trigeminusneuralgie, also einen Gesichtsschmerz mit mutmasslich organischer Ursache. Anhand der Angaben des Zuweisers und des Anamnesegesprächs mit dem Patienten wird die Untersuchungsplanung festgelegt. Dabei gilt es, wie vorhin beschrieben, den Schmerz einzugrenzen: Sind die Schmerzen ein- oder beidseitig? Wie sind Schmerzcharakter, Auslöser und Häufigkeit des Auftretens? Welche der drei Trigeminusäste sind betroffen?

Würden Sie kurz beschreiben, wie der Nerv verläuft?
Der Nerv tritt beidseits seitlich am Hirnstamm aus, zieht durch das Hirnwasser in eine kleine Hirnhauttasche und teilt sich dort in seine drei Äste, welche die Schädelbasis über unterschiedliche Austrittsstellen verlassen, um die Gesichtsweichteile zu erreichen.

Bei trigeminalen Gesichtsschmerzen, die blitzartig und mit hoher Intensität auftreten, sollte der Hirnnerv von den Kerngebieten im Hirnstamm über die möglichen Kontaktstellen mit Hirngefässen bis zum Eintritt in die Schädelbasis und dort weiter bis zu den Austrittsstellen der einzelnen Äste abgebildet werden. Hier sind unter anderem gezielte dünne Schichten, Gefässdarstellungen, Kontrastmittelgabe und sogenannte Signalsättigungen erforderlich, um Kontrastüberlagerungen in der Schädelbasis zu vermeiden. Daher sollte der untersuchende Röntgenarzt über detaillierte Kenntnisse des Gehirns, der Nervenbahnen und der Schädelbasis verfügen. Eine neuroradiologische Expertise ist aber auch für die richtige Einordnung von Zufallsdiagnosen oder Nebenbefunden bedeutsam.

Was ist mit Zufallsdiagnosen gemeint?
Das MRI liefert sehr präzise Bilder mit einem hohen Detaillierungsgrad im Millimeterbereich. Daher können auch Veränderungen sichtbar werden, welche für die Kopfschmerzen nicht massgeblich sind, wie zum Beispiel harmlose Gefässvarianten. In der Literatur wird die Häufigkeit von Zufallsbefunden bei MRI-Untersuchungen des Kopfes zwischen 3% und 10% angesiedelt, teilweise sogar noch höher. Werden diese Zufallsbefunde missverstanden oder überinterpretiert, kann es geschehen, dass der Patient unnötigen weiteren Untersuchungen, im ungünstigsten Fall sogar Eingriffen unterzogen wird. Das ist auch einer der Gründe für die Zurückhaltung gegenüber Bildgebung bei der Abklärung primärer Kopfschmerz-Erkrankungen und ein weiteres Argument, weshalb die Bildgebung bei Kopfschmerzen in einem neuroradiologischen Zentrum mit moderner Gerätetechnik durchgeführt werden sollte.

Besten Dank für das Gespräch.