Hierbei wird endovaskulär ein temporärer und permanenter Verschluss von lazerierten oder pathologisch veränderten Gefässen unter Verwendung diverser Embolisationsmaterialien (Plugs, Coils, Partikel, Glubran, Onyx, Gelfoam) erzielt.

Prozeduren:

  • Blutungsembolisationen in allen extrakraniellen Körperprovinzen
  • Präoperative Embolisationen bei stark vaskularisierten Prozessen
  • Embolisation von Viszeralaneurysmen
  • Embolisation von angeborenen arteriovenösen Gefässfehlbildungen
  • Uterusmyomembolisation
  • Prostataembolisation bei benigner Hyperplasie
embolisation1
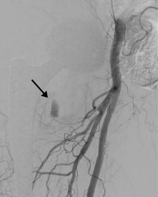
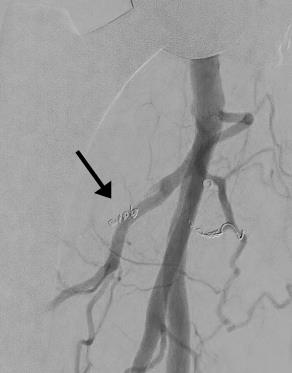
Embolisation einer Nachblutung nach Implantation einer Endoprothese an der rechten Hüfte
embolisation2