Die interventionelle Radiologie hält eine Reihe gering bis geringst invasiven Behandlungen vor, die Schmerzpatienten oftmals rasch und effektiv weiterhelfen können.

Prozeduren:

  • Schmerztherapie an der Wirbelsäule: Periradikuläre Infiltrationen, Facettengelenksblockaden & epidurale Injektionen
  • Vertebroplastie, Kyphoplastie & Osteoplastie
  • CT-gestützte Infiltration des Plexus coeliacus bei Patienten mit chron. Oberbauchschmerzen (z.B. bei chron. Pankreatitis, Pankreas-Ca)
  • Perkutane Schraubenosteosynthese in ausgewählten Situationen
  • Osteoid-Osteom-Ausbohrung/Ablation
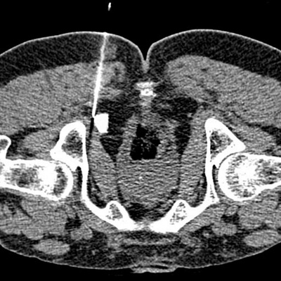
Canalis1
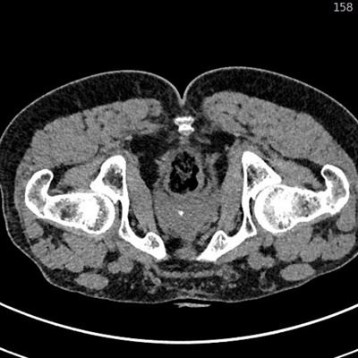
CT-gesteuerte Infiltration des Nervus pudendus im Canalis pudendalis (Alcock-Kanal) bei Pudendus-Neuralgie
Canalis2