Wir bieten sämtliche radiologische Verfahren zur non-invasiven Gefässdarstellung an. Hiermit können Gefässerkrankungen wie viszerale oder periphere Durchblutungsstörungen, angeborene Gefäßfehlbildungen, Varikosis, Thrombose und vieles mehr, an Geräten der neusten Gerätegeneration abgeklärt werden.

Bildgebende Verfahren:

  • Duplex-Sonographie
  • CT-Angiographie
  • MR-Angiographie
duplex-sono
Duplex-Sonographie bei Stammvarikosis der Vena saphena magna
CTA bei Aneurysma
CT-Angiographie bei infrarenalem Bauchaortenaneurysma zur Planung eines Endografts
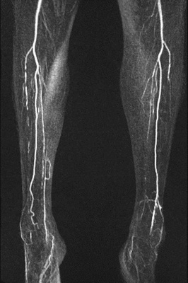
3d mr-angiographie
Zeitaufgelöste 3D MR-Angiographie mit hoher temporalen Auflösung der Unterschenkelarterien (TWIST)