Wir bieten eine individualisierte lokale bzw. lokoregionäre Behandlung in erster Linie bei inoperablen Tumoren zur Erzielung einer ausgedehnten Zytoreduktion unter bestmöglichem Erhalt der Lebensqualität.

Prozeduren:

  • Ablation bei primären Lebertumoren (HCC & CCC) und Lebermetastasen diverser Primärtumorentitäten (Radiofrequenz, Mikrowelle, Elektroporation)
  • Chemoembolisation (TACE) bei primären Lebertumoren (HCC & CCC) und Lebermetastasen konventionell (mit Lipiodol; cTACE), mit temporären Partikeln (DSM-TACE) sowie mit medikamentenfreisetzenden Partikeln (drug-eluting beads; DEB-TACE)
  • Radioembolisation (SIRT) bei primären Lebertumoren (HCC & CCC) und Lebermetastasen diverser Primärtumorentitäten Ablation beim Nierenzellkarzinom und bei Skelettmetastasen
interonko1
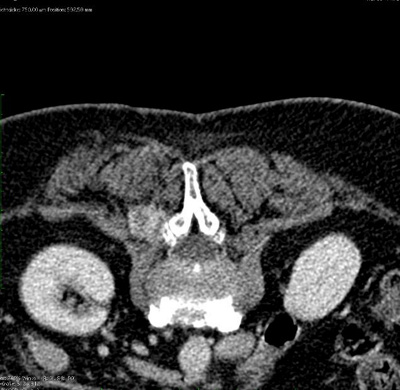
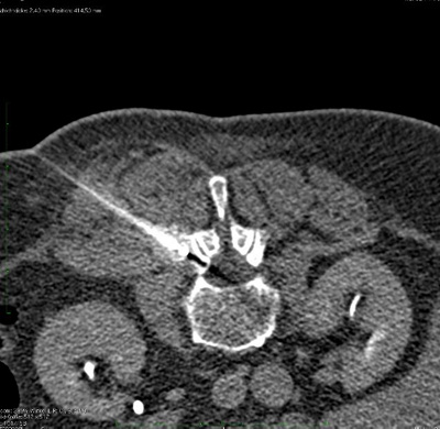
CT-gesteuerte Sondenplatzierung zur Kryoablation eines Weichteiltumors in unmittelbarer Nähe einer lumbalen Nervenwurzel
interonko2
body
Schematische Darstellung des Kathetereingriffs im Rahmen einer Radioembolisation (SIRT) über die rechte Leiste.
mikrosphaeren
Mittels Mikrokatheter erfolgt die selektive Behandlung durch Injektion der Mikrosphären.