Patientenzeitschrift "Mittelpunkt"

Der Einsatz eines künstlichen Kniegelenks ist schon seit Jahren zum Routineeingriff geworden. Zu den neusten Weiterentwicklungen zählt die patientenspezifische Instrumentierung mit Hilfe von Computermodellen. Dabei wird mit Schnittführungsblöcken operiert, die spezifisch auf den Patienten abgestimmt werden.

Das menschliche Kniegelenk, wie wir es heute kennen, entwickelte sich vor circa drei Millionen Jahren, als unsere Vorfahren begannen, aufrecht zu gehen. Seine Vorläufer reichen aber viel weiter zurück – so finden sich bereits beim Dinosaurier ähnliche anatomische Strukturen.

Früher dachte man, es handle sich beim Kniegelenk um ein Scharniergelenk. Es stellte sich aber bald heraus, dass es neben Beuge- und Streckbewegungen auch über eine Gleitkomponente und eine Schlussrotation verfügt. Diese Bewegungen werden durch ein komplexes System von Bändern und den dazwischen gelagerten, zum Teil beweglichen Menisken geführt. Erst seit etwa 15 Jahren ist die weitere Bedeutung der Sehnen-, Bänder- und Kapselstrukturen bekannt. Neben dem Halten und Führen des Kniegelenks liefern sie dem Gehirn laufend Signale über die aktuelle Stellung des Gelenks im Raum, vergleichbar etwa einem Mikrochip. Das daraus resultierende Gefühl für die räumliche Position des Knies wird «Propriozep­tion» genannt. Dass es sich dabei um eine Höchstleistung an Informatik handelt, wird deutlich, wenn man sich Folgendes vor Augen führt: Der beste Schachspieler der Welt wird schon seit gut zehn Jahren vom Computer geschlagen, aber kein zweibeiniger Computer bzw. Roboter ist bisher in der Lage, eine Geröllhalde hinunterzulaufen.

kniegelenkprothese_schnittblock

Abb. 1
Exakte und optimale Schnittführung dank ­patientenspezifischem Schnittblock

Einbezug der Weichteilbalance

Eine moderne Knieprothese sollte ein möglichst anatomisches Design haben und erlauben, dass die noch vorhandenen Strukturen des Kniegelenks weitgehend erhalten bleiben. Zudem muss ein natürliches Einpassen der Prothese möglich sein. Je nach Zerstörungsanteil des Gelenks – häufig aufgrund einer Arthrose – kommen Teil-, ­Total- oder sogar teilweise verblockte Prothesen zum ­Einsatz. Wie eingangs erwähnt, stellt eine Knieprothesen-Implantation heutzutage einen Routineeingriff dar. Im Jahr 2012 wurden weltweit rund 1,4 Millionen Knieprothesen eingesetzt, davon 17 000 in der Schweiz.

Die Kniegelenkprothese erfuhr ihren grossen Entwicklungsschub in den 70er-Jahren des vergangenen Jahrhunderts, als sie von einer einfachen Scharnierprothese zu einem modernen Gelenk mit Führung im Gelenk und sogar meniskusähnlichen Anteilen ausgestattet wurde. Trotz korrekt eingesetzter Prothesen und guter Betreuung und Verhaltensweise klagten viele Patienten über Schmerzen, vor allem in den Bandregionen. Als Reaktion ­darauf entwickelte man in den 90er-Jahren das Konzept der Weichteilbalance, deren Philosophie darin besteht, die Prothese so zu implantieren, dass Bänder, Sehnen und Kapseln optimal und möglichst natürlich gebraucht werden. Bald wurde hierfür auch der Computer eingesetzt. Die ersten Modelle kann man sich wie ein GPS vorstellen: Es wurden Antennen in Ober- und Unterschenkel geschraubt, die ein Signal an ein Empfangsgerät sendeten. Mit einem weiteren Sendestift konnte die bestehende Lage der Gelenkteile, auch in der Bewegung, eingelesen werden. Der Computer rechnete anschliessend die ideale Platzierung der Prothese aus. Dank dieser Methode konnten neu neben Achse und Grösse der Prothese auch noch Rotation sowie Abknicken bestimmt werden. Diese computerassistierte Methode war für das Verständnis des Kniegelenks hilfreich, hatte aber diverse Nachteile, weshalb nach weiteren Verbesserungsmöglichkeiten geforscht wurde.

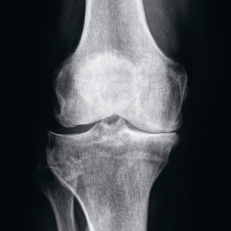
kniegelenkprothese_roentgenbild
Abb. 2
Röntgenbild mit einseitig völlig ­verbrauchtem Knorpel. Die Knochen ­schleifen aufeinander.
kniegelenkprothese_screen
Abb. 3
3D-Simulation des Prothesen­modells; sichtbar sind die Schnittstellen und die zu entfernenden Areale.
kniegelenkprothese_screen_arbeitsplatz
Abb. 4
Überprüfung und allfällige Korrektur des Computermodells durch den Arzt.
kniegelenkprothese_modell
Abb. 5
Modell des zu behandelnden ­Patientenknies mit exakt darauf passendem Schnittblock. Das Modell des Knochens dient zur Kontrolle und zur genauen Positionierung während der Operation.
kniegelenkprothese_schnittblock_klein
Abb. 6
Der individuelle Schnittblock ist am Kniegelenk befestigt und dient der exakten, schonenden Schnittführung.
kniegelenkprothese_kunstgelenk
Abb. 7
Knie mit bestmöglich positioniertem Kunstgelenk.

Patientenspezifische Instrumentierung

Die jüngste Entwicklung lehnt sich an die Zahnimplantat-Technik an. Ungefähr fünf Wochen vor dem Eingriff werden Gelenkachsen und Gelenkstellungen des Patienten mit einem Computertomogramm ausgemessen. Basierend auf diesen Daten konstruiert der Ingenieur des ­Knieprothesenherstellers am Computer ein virtuelles 3D-­Modell des Kniegelenks. An diesem interaktiven Modell bestimmt der Chirurg im Dialog mit dem Ingenieur die für den Patienten am besten geeignete Prothese und deren optimale Positionierung. Dabei verbinden sich medizinische Kenntnisse und Erfahrung mit theoretischem Ingenieurwissen über Statik und Dynamik. Anschliessend ­werden im 3D-Druckverfahren ein Kniegelenkmodell des Patienten sowie individuelle Schnittblöcke angefertigt (Abb. 1–5).

Beim Eingriff bringt der Operateur die Schnittblöcke auf den entsprechenden Gelenkteilen an, wo sie der exakten Schnittführung dienen. Mit ihrer Hilfe wird die Oberfläche zugeschnitten, auf der die Prothese angebracht wird (Abb. 6–7). Der Chirurg kann so deutlich schneller und präziser arbeiten. Zudem fallen die für die Implantation nötigen Zugänge kleiner und gelenkschonender aus als bei älteren computerassistierten Operationstechniken. Für die Patienten bedeutet das weniger Schmerzen, weniger Blutverlust, eine grössere Beweglichkeit und einen kürzeren Spitalaufenthalt.

Ausblick

Bei der patientenspezifischen Instrumentierung handelt es sich um eine relativ junge Operationstechnik; allerdings ist die Entwicklung in diesem Bereich rasant. Die Methode wurde erst vor ungefähr drei Jahren in der Schweiz eingeführt, doch bereits letztes Jahr wurden 3000 Kniegelenke so operiert. Im Vergleich zu konven­tionelleren Methoden ist sie präziser, schonender und ­effizienter, auch Funktionstüchtigkeit und Haltbarkeit der Prothese sollten sich langfristig als besser erweisen.

Interview mit Dr. med. Adam Magyar

Die Zahl künstlicher Kniegelenke steigt stetig an. Werden die Patienten immer früher operiert?

Nein, ich denke nicht. Ich sehe den Hauptgrund in der demographischen Entwicklung. Die Leute werden immer älter, und sie sind bis ins hohe Alter aktiv. 

Wie lange funktionieren künstliche Kniegelenke?

Das ist schwer zu sagen. Vor 20 Jahren ist man von einer Lebensdauer von 20 Jahren ausgegangen. Ob das heutige Material noch besser ist, wird sich erst in der Zukunft zeigen. Moderne Prothesen haben allerdings einen höheren Tragekomfort und sie passen anatomisch viel besser.

Wann raten Sie von einem Kunstgelenk ab?

Immer dann, wenn ich merken, dass die Erwartungshaltung in Bezug auf das Kunstgelenk zu hoch ist. Gerade im Sportbereich zeigt sich dies gelegentlich. Ein Kunstgelenk ist nach wie vor nicht das eigene Gelenk. Bei Patienten unter 60 Jahren tue ich mich schwer, ein Kunstgelenk einzusetzen.

Warum?

Meistens wollen diese Patienten mehr, als ein Kunstgelenk bringen kann, weshalb sie dann in der Folge unzufrieden sind. Bei wenig Schmerzen, die bei zusätzlicher Aktivität mit einer Tablette pro Woche ausgehalten werden können, ist die Person aus meiner Sicht noch kein Kandidat für eine Prothese. Man muss trotz technischem und medizinischem Fortschritt davon ausgehen, dass sich eine Prothese lockern kann oder ersetzt werden muss.

Wird die patientenspezifische Instrumentierung den Einsatz von Knieprothesen revolutionieren?

Sie hat ein neues Verständnis des Kniegelenks gebracht: ausgehend von der Idee eines Scharniergelenks hin zu einem Gelenk mit Weichteilbalance, also dem Einbezug von Meniskus, Sehnen und Bändern bei Beugung, Streckung und Rotation. Ich sehe diese patientenspezifische Instrumentierung mit der Planung am 3D-Modell und den nachfolgend angefertigten Schnittblöcken als einen weiteren grossen und sehr spannenden Schritt in einer Reihe von vielen guten Entwicklungsstufen. Wir können damit die Prothese anatomisch noch genauer anpassen.

In welchen Fällen wenden Sie diese Methode an?

Bei einem normalen Kniegelenkersatz wende ich dieses Vorgehen immer an, da es zusätzlich zur Opera­tionsmethode ein weiteres Werkzeug darstellt. Die Erfahrung des Operateurs wird ergänzt durch ein einfaches, sehr gewebeschonendes Tool. Alle bestehenden Instrumente können beispielsweise bei einer Korrektur problemlos angewendet werden, und man spart Zeit im Operationssaal. Dies ist das Bestechende daran.

Können Sie das erläutern?

Dank dem 3D-Modell wird vieles im Vorfeld geplant und ausgewertet, was früher erst im Operationssaal, während der Patient narkotisiert war, unter Sichtkontakt ausgemessen und entschieden werden konnte. Die OP-Zeit verkürzt sich dadurch stark. Die präzisen Schnittblöcke mit ihren Auflagepunkten helfen, nur ein Minimum an Gewebe abzulösen und punk­tuell Gewebe zu entfernen.

Was merkt der Patient davon?

In der Summe über alle behandelten Patienten gesehen darf man sagen, dass die Behandlungsdauer im Spital um drei bis vier Tage kürzer ausfällt. Die Patienten bewegen sich nicht nur schneller, sondern auch besser, und sie haben weniger Schmerzen.

Welches sind die Nachteile?

Nur die Wartezeit, wenn die Opera­tion dringend ist. Vom CT über das 3D-Modell, das in Zusammenarbeit von Ingenieur und Chirurg erstellt wird, bis zur Anfertigung der Schnittblöcke vergehen etwa vier bis fünf Wochen. Für eine planbare Einsetzung einer Prothese, wie dies meistens der Fall ist, stellt die Wartezeit kein Problem dar.

Wie muss ich mir die Zusam­menarbeit zwischen Arzt und Ingenieur vorstellen?

Der Ingenieur kreiert auf der Basis des Computertomogramms ein dreidimensionales Computermodell mit einem Vorschlag, wie die Prothese eingesetzt werden soll. Ich überprüfe dann als Chirurg, kraft meines Wissens und meiner Erfahrung, das Modell und ändere es bei Bedarf am Bildschirm ab. Anschliessend erfolgt, falls notwendig, nochmals eine gemeinsame Besprechung, bevor dann die Schnittblöcke hergestellt werden. Zu Beginn war der gesamte Prozess sehr zeitaufwendig. Heute, nach fünf Jahren Zusammenarbeit mit demselben Ingenieur, geht es viel schneller. Man muss klar sehen, dass auch der operative Ersatz des Kniegelenks Handwerk und somit ein Unikat ist.

Sind wir mit dieser Methode in der personalisierten Medizin angelangt?

Ja. Ich sehe allerdings bereits die Wahl des Chirurgen als Teil der personalisierten Medizin an. Heute wird die passende Prothese sozusagen von der Stange gekauft, jetzt aber mit einem individualisierten Tool noch besser eingepasst – sozusagen als Ergänzung zum Know-how des Chirurgen. Möglicherweise werden mit der Zeit sogar personalisierte Prothesen hergestellt; aber das ist auch eine Frage der Kosten.

Liegt diese personalisierte Instrumentierung im Trend?

Die Tendenz ist bei Knieprothesen stark steigend. Immer mehr Prothetik-Firmen bieten diese patientenspezifische Instrumentierung an.

Besten Dank für das Gespräch.