Das Ausmass von arteriellen Verstopfungen kann von der einfachen und klinisch nicht bemerkbaren Engstelle bis zum vollständigen Verschluss reichen.

Werden solche Engstellen und Verschlüsse relevant, so kommt es zu einer Minderdurchblutung der abhängigen Organe und Gewebe.

Periphere arterielle Verschlusskrankheit (PAVK)

In diesem Fall betrifft diese Minderversorgung meist die Beinmuskulatur und führt zur sogenannten Schaufensterkrankheit (Claudicatio). In sehr schweren Fällen kann es zum Gewebsuntergang und der Notwendigkeit einer Amputation kommen.

Neben den Beinarterien können aber auch viele andere Arterien des Körpers betroffen sein, z.B. die Beckenarterien, die Nierenarterien oder die Darmarterien. Je nachdem, welche Arterie betroffen ist, können die Symptome ganz unterschiedlich sein.

Diagnostik

Die Diagnostik der arteriellen Verschlusskrankheit geht von Krankengeschichte (Anamnese) und körperlichem Untersuchungsbefund über diverse Laboruntersuchungen und funktionelle Messungen bis zur Bild-Diagnostik.

Therapie

Die Basistherapie der Arteriosklerose besteht in der Kontrolle der Risikofaktoren durch diätetische und medikamentöse Massnahmen. Gehtraining ist eine weitere wirksame Massnahme.

Bei deutlicher Beschränkung der Gehstrecke, bei Ruheschmerz und bei Gewebsuntergang (Nekrose) wird üblicherweise versucht die Durchblutung zum Bein bzw. zum Fuß durch operative oder minimal-invasive Massnahmen zu verbessern. Dabei kommt es darauf an, Engstellen (Stenosen) bzw. Verschlüsse (Okklusionen) in den zuführenden Arterien zu beseitigen oder zu umgehen.

Mikroinvasive Katheterbehandlung

Diese erfolgt mit Ballons und Stents, die über Führungsdrähte in die Engstellen hineingeschoben und dort entfaltet werden.

Dazu muss zunächst ein Zugang zu dem entsprechenden Gefäss hergestellt werden. Für Arterien und Venen erfolgt dies meist in der Leiste, seltener am Arm oder an anderen Orten.

Danach muss der Therapeut mit Katheter und Führungsdraht die Einengung bzw. den Verschluss im Gefässbaum aufsuchen (sondieren) und passieren (rekanalisieren).

Ballonbehandlung

Bei der Ballonbehandlung wird dann ein Ballonkatheter an die Stelle der Verengung in der Arterie geführt und dort entfaltet (Ballondilatation, perkutane transluminale Angioplastie, PTA):

Das arteriosklerotische Material wird in die Gefässwand gedrückt und das Gefäss ist deutlich weiter als zuvor, sodass das Blut wieder normal fliessen kann.

Die Stentbehandlung

Sie ergänzt die Ballonbehandlung z.B. bei elastischen Stenosen, die direkt nach der Dilatation wieder zurückkommen, bei Einrissen in der inneren Gefässwand und bei anderen Fällen. Dann wird ein Stent, eine Gefässstütze (Beckenarterie und Nierenarterie), an der Engstelle implantiert, der das Material an die Wand fixiert.

Die Mikrotherapeuten von SwissIntervention haben jahrelange Erfahrung in der professionellen Anwendung dieser Techniken.

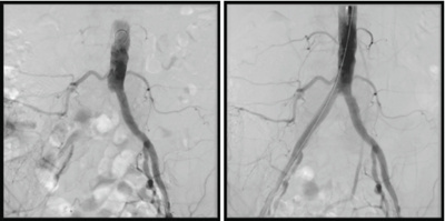
Beckenarterie

zentrum-fuer-mikrotherapie-beckenarterie
Verschluss der rechten Beckenarterie (links), welche durch den Mikrotherapeuten mittels einer Gefässstütze (Stent) erfolgreich geöffnet werden konnte.
© Interventionelle Radiologie - Swiss Intervention

Nierenarterie

zentrum-fuer-mikrotherapie-nierenarterie
Engstelle der linken Nierenarterie (Pfeil links), welche ebenfalls mit einer Gefässstütze erfolgreich erweitert werden konnte (Pfeil rechts).
© Interventionelle Radiologie - Swiss Intervention