Patientenzeitschrift "Focus"

Der Stent ist ein feines Gittergerüst, das verstopfte Herzkranzgefässe offen hält. Die neuste Generation dieser Stents zersetzt sich im Laufe der Zeit, und die Arterie findet dadurch zu ihrer ursprünglichen Form zurück.

Der kürzlich pensionierte Herr Peter ist beunruhigt. Bei Anstrengungen verspürt er regelmässig ein unangenehmes Druckgefühl im Brustkorb. Während dem Neujahrsspaziergang musste er mehrmals pausieren.

Seit 10 Jahren raucht Herr Peter nicht mehr und nimmt nur eine Blutdrucktablette ein. Die letzten Blutwerte sind gut gewesen. Seine Frau drängt ihn, den Hausarzt aufzusuchen. Es erfolgt die Überweisung zum Kardiologen. Während dem Belastungs-EKG verspürt Herr Peter die gleichen Beschwerden wie beim Neujahrsspaziergang, die EKG-Kurve zeigt eine Durchblutungsstörung an. Wahrscheinlich leidet er an einer koronaren Herzerkrankung.

Koronare Herzerkrankung

Bei der koronaren Herzerkrankung sind die Herzkranz­gefässe (Koronararterien) durch Arteriosklerose verengt; in der Folge kommt es zur Minderdurchblutung des Herzmuskels bei erhöhtem Sauerstoffbedarf, z. B. bei körper­licher Anstrengung oder seelischen Belastungen. Der Betroffene kann Schmerzen in der Brust verspüren, sogenannte Angina-Pectoris-Beschwerden. Die Beschwerden können allerdings auch fehlen. Anhaltende Schmerzen können auf einen Herzinfarkt hindeuten.

Gefässverschlüsse sichtbar gemacht

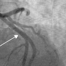
Herr Peter willigt in eine Herzkatheteruntersuchung ein. Hierbei wird der Blutfluss in den Koronararterien dargestellt, Einengungen der Koronararterien (Stenosen) oder Gefässverschlüsse werden sichtbar gemacht, Abb. 1. Es bestätigt sich der Verdacht: Die linke Koronararterie ist an einer Stelle fast verschlossen. Der Herzspezialist erklärt den Befund am Bildschirm. Es ist gut vorstellbar, dass der Herzmuskel in diesem Bereich bei Anstrengungen vermindert durchblutet wird.

hirslanden-bioresorbierbare-stents-fuer-die-herzkranzgefaesse-1
Abb. 1
90%ige Stenose
hirslanden-bioresorbierbare-stents-fuer-die-herzkranzgefaesse-2
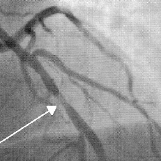
Abb. 2
nach Stent-Implantation

Einsatz von «Absorb»

Der Befund von Herrn Peter bietet sich für eine Behandlung mit der neuen Gefässstütze an. Der Stent ist auf einem Ballon am Ende eines dünnen, flexiblen Katheters montiert und wird nun im Koronargefäss platziert. Durch Aufblasen des Ballons dehnt sich «Absorb» auf und presst die arteriosklerotischen Ablagerungen an die Gefässwand. Ballon und Katheter werden zurückgezogen, «Absorb» verbleibt im Gefäss. Der Blutfluss ist wiederhergestellt. In circa zwei Jahren wird sich der Stent vollständig aufgelöst haben (Abb. 2).

Herr Peter wird zukünftig Blutverdünner und einen Cholesterinsenker einnehmen. Er hat sich vorgenommen, regelmässig zu trainieren. Rasch merkt er, dass er leistungsfähiger ist und keine Angina-Pectoris-Beschwerden mehr hat. Auch seine Frau ist erleichtert.

hirslanden-bioresorbierbare-stents-fuer-die-herzkranzgefaesse-3
Illustration 1
«Absorb» ist auf einem Ballonkatheter befestigt und wird bis zu der Stelle im Gefäss vorgeschoben, die verengt ist.
hirslanden-bioresorbierbare-stents-fuer-die-herzkranzgefaesse-4
Illustration 2
Der Ballon wird mit röntgensichtbarer Flüssigkeit gefüllt, dadurch aufgedehnt und «Absorb» somit entfaltet. Die Plaque wird gegen die Gefässwand gedrückt.
hirslanden-bioresorbierbare-stents-fuer-die-herzkranzgefaesse-5
Illustration 3
Der Ballon wird entleert und entfernt, das Gefässgerüst bleibt in der Gefässwand zurück. Der Blutfluss ist wieder hergestellt.
hirslanden-bioresorbierbare-stents-fuer-die-herzkranzgefaesse-6
Illustration 4
Das Medikament wird nun langsam in das Gefäss abgegeben, und das Gefässgerüst beginnt, sich aufzulösen.
hirslanden-bioresorbierbare-stents-fuer-die-herzkranzgefaesse-7
Illustration 5
Nach 2 bis 3 Jahren hat sich das Gefässgerüst vollständig aufgelöst. So kann die Arterie zu einem natürlicheren Zustand zurückkehren.

Zusammenfassung

Mit bioresorbierbaren Koronarstents ist die Vision der Behandlung von verengten Herzkrankgefässen ohne Einsatz eines dauerhaften Implantats Wirklichkeit geworden. Prinzipiell ist die Auswahl des geeigneten Koronar­stents stets von der Form und der Länge der Verengung, vom betroffenen Gefäss und den Begleiterkrankungen des Patienten abhängig. Nicht jede Verengung der Herzkranzgefässe kann mit einem bioresorbierbaren Koronarstent behandelt werden. Akute Herzinfarkte werden mit den bisher üblichen Stents behandelt.

Bioresorbierbare Koronarstents

Der Wunsch nach einem Stent, der das Gefäss stützt und sich nach getaner Arbeit auflöst, ist nachvollziehbar. Dafür wurde beinahe 20 Jahre lang geforscht, wobei die Schwierigkeit in der Entwicklung eines geeigneten Polymers lag, das keine überschiessende Reaktion der Gefässwand verursacht.

Die Gefässstütze «Absorb®» (Abbott) kombiniert die nützlichen Effekte der verfügbaren Koronarstents und bietet den Vorteil der Bioresorbierbarkeit. Das Gerüstmaterial von «Absorb» wird seit Jahren bei resorbierbarem Nahtmaterial genutzt. Es besteht aus einem Milchsäure-Polymer und zerfällt innerhalb von 12 bis 24 Monaten zu Wasser und CO2. Zusätzlich ist dieser neuartige Stent mit Everolimus, einem das Immunsystem unterdrückenden Medikament, beschichtet. Günstig ist, dass die Gefässe nach der Resorption des Gerüsts ihre natürliche Form wieder annehmen. Man hofft, langfristig die gefürchteten Restenosen im Stentbereich verhindern zu können. Zudem ist es ohne störende Koronarstents leichter, die Koronararterien in CT-Bildern zu beurteilen oder erneut einzugreifen, falls die Implanta­tion eines weiteren Stents oder eine Bypass-Operation nötig wird. «Absorb» hat in internationalen Studien im Vergleich mit den besten beschichteten Koronar­stents gut abgeschnitten, Daten zum Langzeitverlauf werden fortlaufend gesammelt.

Medizingeschichte

Andreas Grüntzig behandelte 1977 erstmals ein verengtes Herzkranzgefäss mittels Aufdehnung durch einen Ballon. Dies war revolutionär. Es bestand allerdings das Risiko eines akuten Gefässverschlusses oder -einrisses. Ausserdem entwickelte sich häufig eine Art Narbe im Gefäss, die erneut zur Verengung führte.

Etwa 10 Jahre später wurden die ersten Koronarstents, kleine dehnbare Gitternetzröhrchen aus medizinischem Edelstahl, eingeführt. Der Stent verblieb im Gefäss und hielt dieses offen. Die Gefahr des akuten Verschlusses oder des Längsrisses war reduziert. Mit der Zeit wurde der Stent von der körpereigenen Gefässwand über­wachsen. Problematisch blieben die überschiessende Gewebereaktion (Wucherung) und eine erneute Ver­engung im behandelten Bereich, sogenannte Restenosen, die in circa 22% der Fälle auftraten.

Ein weiterer Meilenstein war die Einführung von medikamentenbeschichteten Stents. Durch den Überzug der Stents mit Medikamenten konnte die überschiessende Gewebereaktion reduziert werden, Wiedereinengungen im Stentbereich traten seltener auf. Allerdings verlänger­te sich der Einheilprozess. War der Stent noch nicht ausreichend gut eingeheilt, wenn die Blutverdünnung reduziert wurde, konnte es zur raschen Gerinnselbildung (Thrombose) im Stent kommen und einen Gefässverschluss auslösen.