Patientenzeitschrift "Focus"

Ein künstliches Kniegelenk ist oftmals die richtige Antwort auf schwerwiegende Kniebeschwerden. Halten die Beschwerden mit einer Knieprothese jedoch an oder setzen sie Jahre später wieder ein, kommen dafür verschiedenste Ursachen in Frage. Nur sorgfältige und umfassende Abklärungen zeigen auf, ob eine Revisionsoperation tatsächlich angezeigt ist.

Im letzten Jahr wurden in der Schweiz gegen 16 000 Knieprothesen implantiert. Bis zu 20% aller Patienten mit einer Knieprothese sind jedoch längerfristig mit dem Resultat unglücklich oder haben weiterhin Schmerzen über das erträgliche Mass hinaus. Die Ursachen sind verschiedenartig und die Beschwerden lassen sich nicht mit der zu hohen Erwartungshaltung der Patienten erklären. Patienten mit einer schmerzhaften Knieprothese müssen immer ernstgenommen werden. Häufig sind mehrere aufwändige Abklärungsschritte notwendig, bis die Ursache gefunden ist.

Rückkehrende Knieschmerzen

Die 74-jährige Andrea Ohnsorg beklagt seit Jahren Schmerzen im rechten Knie und musste seit einem Unfall in der Jugend schon unzählige Operationen über sich ergehen lassen. Im Jahr 2000 entschied sie sich letztlich doch für eine Knieprothese. Mit zunehmendem Alter traten aber wieder Schmerzen auf und sie verspürte bei jedem Schritt ein Gefühl der Unsicherheit. Daher musste sie wieder an Stöcken gehen und konnte ihren geliebten Garten nicht mehr pflegen. Da sie Angst vor einer weiteren Operation hatte, suchte sie erst nach einigem Zögern ihren Hausarzt auf. Dieser überwies sie nach einer Besprechung an die Orthopädie St. Anna mit Standort am Bahnhof Luzern.

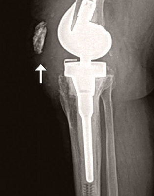
hirslanden-kuenstliche-gelenke-11
Abb. 1
Im Röntgenbild steht die Kniescheibe im Verhältnis zur Gelenklinie zu hoch. Eine Lockerung lässt sich im Röntgenbild nicht erkennen. Die Prothese liegt gut in der Achse.
hirslanden-kuenstliche-gelenke-2
Abb. 2
In der Darstellung des Knochenumbaus lässt sich die Reizung auf die Kniescheibe und eine Lockerung des Prothesenanteils am Unterschenkelknochen rechts darstellen.
hirslanden-kuenstliche-gelenke-3
Abb. 3
Postoperatives Röntgenbild mit der geführten Knieprothese. Die Gelenklinie wurde verbessert und durch die Führung wurde das Gelenk stabilisiert.

Abklärung in der Orthopädie St. Anna

In der klinischen Untersuchung stellte sich das Knie als instabil heraus. Die Kniescheibe und der seitliche Bandapparat waren zudem schmerzhaft. Im Röntgenbild (Abb. 1) zeigte sich ein etwas tiefer Sitz der Knieprothese im Verhältnis zur Kniescheibe ohne Lockerungszeichen, was nach 16 Jahren seit dem Einbau eine mögliche Ursache für die Beschwerden hätte sein können. Unter der Röntgendurchleuchtung in der Sprechstunde wurde das Knie erneut untersucht und die Instabilität des Kniegelenks sichtbar gemacht.

Spezielle Bildgebung SPECT-CT

Als nächster Schritt erfolgte eine nuklearmedizinische Untersuchung in der Radiologie der Klinik St. Anna, ein sogenanntes SPECT-CT. Dabei wird der Knochenumbau mit Hilfe eines Medikaments sichtbar gemacht, das vorgängig über eine Infusion verabreicht wird (Abb. 2). Die gesamte Untersuchung kann mit Pausen bis zu vier Stunden dauern. Durch diese hochspezialisierte Technik können auch Probleme der Knieprothese erkannt werden, die im Röntgen unsichtbar sind. Die Untersuchung von Andrea Ohnsorg ergab, dass die Kniescheibe gereizt und ein Teil der Prothese gelockert war.

Operation – eine gemeinsame Entscheidung von Patient und Arzt

Die Ursache einer schmerzhaften Knietotalprothese muss sorgfältig abgeklärt werden, da oft mehrere Faktoren für die Beschwerden verantwortlich sind. Der Entscheid zur Revisionsoperation muss vor allem deshalb umsichtig gefällt werden, weil die Risiken und Komplikationsmöglichkeiten höher sind als beim ersten Einbau einer Prothese. Zudem gilt es das aktuelle, oftmals fortgeschrittene Alter der Patienten zu berücksichtigen. Die Entscheidung wird gemeinsam vom Arzt und vom Patienten getroffen und sie braucht Zeit. Bis es so weit ist, kann die Zwischenzeit für physiotherapeutische Massnahmen oder z. B. für eine Schienenbehandlung genutzt werden. Gelegentlich helfen diese Massnahmen die momentane Situation zu verbessern, was den Zeitpunkt für eine Revisionsoperation erstreckt oder sogar hinfällig macht.

Das Krafttraining und die Physiotherapie sollten auf jeden Fall durchgeführt werden, weil über die Jahre eine verminderte Nutzung der Muskulatur rund um das Knie stattfindet. Ausserdem wirkt sich die wieder aufgebaute Muskulatur günstig auf die Rehabilitationsphase im Anschluss an eine allfällige Revisionsoperation aus. Es gibt zum Glück nur wenige Gründe, die eine dringliche Revisionsoperation notwendig machen. Dazu zählen zum Beispiel das Risiko für einen Knochenbruch in der Nähe des Knies, eine weit fortgeschrittene Prothesenlockerung oder eine akute Infektion. Meist stellen sich die Beschwerden schleichend ein, sodass man sich körperlich und geistig frühzeitig darauf einstellen kann.

Die Revisionsoperation

Bei Andrea Ohnsorg verringerten sich die Schmerzen dank der Physiotherapie, aber sowohl das Instabilitätsgefühl als auch das Sturzrisiko liessen sich durch das Krafttraining nur unwesentlich verbessern. Deshalb fiel der Entscheid für eine Revisionsoperation. Der Knieprothesenwechsel fand während eines stationären Aufenthalts in der Hirslanden Klinik Meggen statt. Auch wenn kein Verdacht auf eine Infektion bestand, wurden während der Operation Gewebeproben entnommen und bakteriologisch untersucht, wobei alle Resultate unauffällig blieben.

Am Tag der Operation durfte sie in Begleitung der Physiotherapie das erste Mal aufstehen. Nach wenigen Tagen war sie bereits selbständig an Stöcken mobil und schon nach fünf Tagen verliess die Patientin das Spital zur weiteren Rehabilitation. In der Kontrolle sechs Wochen nach der Operation (Abb. 3) erschien Andrea Ohnsorg ohne Stöcke. Und sie war auch schon wieder in ihrem geliebten Garten.

Verschiedenste Ursachen können bei Patienten mit Knieprothesen zu Beschwerden führen:

Prothese als direkte Ursache

  • Infektion
  • Bandinstabilität
  • Achs- und Rotationsfehlstellung der Knieprothese
  • Weichteilprobleme im Knie
  • Überschiessende Narbenbildung, chronische Entzündung des Bindegewebes
  • Metall- oder Polyethylenabrieb der Prothese, Prothesenlockerung
  • Blutergüsse im Knie
  • Kniescheibenprobleme

Andere Ursachen

  • Hüftgelenkserkrankung
  • Fussfehlstellungen
  • Neurologische Erkrankungen
  • Probleme der Wirbelsäule (Bandscheibenvorfall)
  • Durchblutungsstörung der Arterien oder Venen
  • Muskuläre Beschwerden, Schleimbeutelentzündung
  • Sehnenentzündungen
  • Bruch in der Nähe der Prothese
  • Schmerzverarbeitungsprobleme, psychische Faktoren
  • Stoffwechselerkrankungen
  • Rheumatische Erkrankungen

Orthopädie St. Anna

Die Orthopädie St. Anna mit Standort im Bahnhof Luzern bietet eine umfassende, persönliche und patientenorientierte Betreuung. Angeboten werden konservative und operative Therapien im gesamten Spektrum der Orthopädie mit Unterstützung von Spezialisten aus dem Bereich der Wirbelsäulenorthopädie, Rheumatologie, Sportmedizin und dem Team der PhysioART.