Patientenzeitschrift "Focus"

Durch die gezielte Suche nach Lungenkrebs bei Risikogruppen, vor allem bei Rauchern, kann die Lungenkrebs-Sterblichkeit um 20% gesenkt werden.

«Gustav Blättler, 62-jährig, rauchte seit seiner Jugend mindestens ein Päckli Zigaretten pro Tag. Er entschloss sich, eine Vorsorgeuntersuchung durchzuführen, um die innere Ungewissheit zu beseitigen, eventuell lungenkrank zu sein.

Im daraufhin durchgeführten Screenig-CT wurde ein Lungenrundherd entdeckt und anschliessend entfernt. Die Diagnose lautete Lungenkrebs. Glücklicherweise betrug der Tumordurchmesser erst 9 mm, weshalb der befallenen Lungenlappen schonend – minimal invasiv – entfernt werden konnte. In der Zwischenzeit hat Gustav Blättler mit dem Rauchen aufgehört und ist dankbar, seit der gelungenen Operation krankheitsfrei zu sein.»

Tendenz der Neuerkrankungen ist steigend

Bis vor kurzem starben 85% der an Lungenkrebs erkrankten Menschen bis spätestens fünf Jahre nach der Dia­gnose. Dies obwohl ein eindrücklicher diagnostischer und therapeutischer Fortschritt in den letzten 25 Jahren stattfand. Weltweit weist der Lungenkrebs die höchste Sterblichkeit auf, beim Mann ist es sogar die häufigste Krebserkrankung. Das Verhältnis von erkrankten Männern zu Frauen liegt bei etwa 3:1. In der Schweiz beträgt die jährliche Anzahl an Neuerkrankungen bei 3500 Personen. Die Tendenz ist steigend, aufgrund der zunehmenden Nikotinabhängigkeit bei Frauen.

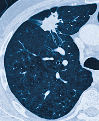
hirslanden-lungenkrebs-1
Abb.1
HR-CT Bild eines sternförmigen Lungenkarzinoms.

Radikale Prognoseverbesserung für Lungenkrebs-Patienten

Glücklicherweise ist bei der Erkennung und Behandlung von Lungenkrebs in letzter Zeit einiges in Bewegung geraten, was berechtigte Hoffnung auf eine deutliche Prognoseverbesserung nährt: Die exakte mikroskopische Differenzierung, die zunehmende genetische Entschlüsselung und eine präzise, hochauflösende Bildgebung (CT, MRI) ermöglichen eine immer genauere Identifizierung von Tumorgestalt, -form, -lokalisation und -ausdehnung.

Mit Hilfe dieses sogenannten «Tumor-Stagings» wird heute für jeden Patienten mit Lungenkrebs in einem interdisziplinären Tumorboard ein individuelles Therapie­regime erarbeitet. Nebst den medizinischen Daten des Patienten werden auch dessen Lebensqualität und seine persönlichen Wünsche und Bedürfnisse mitberücksichtigt, um eine individuell beste Therapie auszugestalten.

Früherkennung von Lungenkrebs

Seit über 40 Jahren erstellte Analysen der Krankheits­verläufe beweisen, dass Patienten in einem frühen Lungenkrebsstadium von der chirurgischen Entfernung des Tumors profitieren, ja auf Heilung hoffen dürfen. Bei Patienten mit einem Tumor unter 1cm Durchmesser beträgt die Heilungschance zwischen 80 und 95%. Die fraglos wünschbare Diagnosestellung im Frühstadium der Krankheit ist jedoch schwierig, da diese Zeitspanne beim Lungenkrebs in der Regel ohne Symptome verläuft. Des-halb wurde bis vor kurzem lediglich bei 20% aller Lungenkrebs-Patienten frühzeitig entdeckt, dass sie einer potentiell Heilung bringenden Operation zugeführt werden konnten.

Nicht bei jedem Menschen besteht dieselbe Gefahr, an Lungenkrebs zu erkranken. Das Erkrankungsrisiko lässt sich mit Hilfe von Risikofaktoren abschätzen. Beim Lungenkrebs existieren anerkannte genetische, biologische sowie verhaltens- und umweltbedingte Faktoren. Das daraus gewonnene Risikoprofil wird beim Programm zur Früherkennung des Bronchuskarzinoms mittels Computertomographie eingesetzt. Ausschliesslich Risikopatienten werden dieser Untersuchung zugeführt.

Durch die computertomographisch dokumentierbare Grössenzunahme eines verdächtigen Lungenherds in­nerhalb einiger Monate lassen sich möglicherweise bösartige von nichtwachsenden, gutartigen Veränderungen unterscheiden. Patienten mit verdächtigen Befunden werden näher abgeklärt.

Chirurgische Entfernung des Lungenkrebses im Frühstadium

Besteht bei einem Lungenrundherd die Gefahr, dass es sich in einem frühen Lungenkrebsstadium befindet, wird der Befund im Computer-Tomogramm kontrolliert. Anschliessend wird der Patient minimal invasiv – das bedeutet mit «Schlüssellochtechnik» – operiert. Der markierte Lungenabschnitt wird für diagnostische Zwecke entnommen. Bestätigt sich die Diagnose eines Lungenkrebses, folgt die Entfernung des gesamten Lungenabschnitts wiederum minimal invasiv. Durch dieses Vorgehen besteht für die Patienten mit Lungenkrebs im Frühstadium eine Heilungschance von über 80%. Insgesamt betrifft dies statistisch in der Schweiz mindestens 540 Menschenleben pro Jahr.

Für die blosse Entfernung des verdächtigen Lungenbefunds ist eine Operation von ca. 30 Minuten notwendig. Der Patient verbleibt dazu zwei bis vier Tage im Spital. Muss der befallene Lungenabschnitt mitentfernt werden, dauert die thorakoskopische Operation 90 bis 150 Minuten und der Spitalaufenthalt beträgt in der Regel fünf bis sechs Tage.

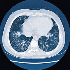
hirslanden-lungenkrebs-2
hirslanden-lungenkrebs-3

«Tree in bud» – Feinknotige entzündliche Verdichtung von ganz peripheren kleinsten Luftwegen, die sich aufzweigen und einem Zweig mit Blüten ähneln.

Hochauflösende Computertomographie HR-CT

Die hochauflösende Computertomographie (HR-CT) der Lunge spielt eine wichtige Rolle in der Abklärung von Erkrankungen, welche die feinen Strukturen der Lunge betreffen.

Aufgrund der hohen Auflösung – High-Resolution – können Erkrankungen der luftleitenden Wege und der Lungenbläschen entdeckt und anhand spezifischer Veränderungen bestimmten Erkrankungen zugeordnet werden. Die Basiskriterien dieser Veränderungen stellen netzförmige und knötchenförmige Verschattungen sowie eine vermehrte oder verminderte Dichte der Lunge dar.

Lungenerkrankungen können dabei mit der HR-CT schon erkannt werden, wenn das Lungenröntgenbild noch unauffällig ist. Die HR-CT ist aus dem diagnostischen Prozess neben Labor, Lungenfunktion, Bronchoskopie und als Ergänzung des Thoraxröntgens nicht mehr wegzudenken.

Ärzte 1

Facharzt für: Radiologie