Patientenzeitschrift "Forum"

Der Hallux valgus ist eine Fehlstellung der Grosszehe, die sich meist im Rahmen eines Spreizfusses entwickelt: Dabei wird der Kopf des ersten Mittelfussknochens nach innen gedrückt, was dort zu einer sichtbaren und im Schuh meist druckempfindlichen Veränderung führt. Die Veranlagung zu einem Hallux valgus ist familiär gehäuft, Frauen sind häufiger betroffen als Männer, und enge, elegante Schuhe mit hohen Absätzen begünstigen die Entwicklung dieser Deformität. Durch die Fehlverlagerung der Grosszehe kommt es zu einer falschen Position des Sehnenapparates, einer eingeschränkten Stützfunktion der Grosszehe und damit zu einer Belastungsverlagerung vom ersten auf den zweiten Mittelfussknochen und schliesslich zu dessen chronischer Überbelastung mit Bildung von störender Hornhaut und Schwielen an der Fuss-Sohle. Später kann es zu Hammerzehenbildung, Arthrosen und Ermüdungsbrüchen kommen. Milde Deformitäten können mit gezielter Fussgymnastik, breitem, bequemem Schuhwerk, Schutz vor mechanischer Reizung mit Pflastern oder Silikonen, entzündungshemmenden Medikamenten und eventuell auch mit Einlagen günstig beeinflusst werden. Die konservativen Massnahmen sind oft jedoch rasch erschöpft, sobald der Hallux einmal symptomatisch geworden ist.

hirslanden-fuss-schmerzen-bei-hallux-valgus-1
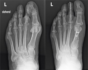
Abb. 1
Röntgenbild vor und nach operativer Hallux-valgus-Korrektur
hirslanden-fuss-schmerzen-bei-hallux-valgus-2
Abb. 2
Anatomisches Modell einer Korrekturoperation bei Hallux valgus

Mit einem operativen Eingriff können die Deformität korrigiert und die Beschwerden gelindert werden. Die Prinzipien der operativen Behandlung sind erstens die Lösung der vernarbten Weichteile und zweitens die knöcherne Aufrichtung des ersten Mittelfussknochens. Je nach Situation müssen zusätzliche Eingriffe, wie eine Verkürzung des zweiten Mittelfussknochens oder eine Hammerzehenkorrektur, vorgenommen werden. Ziel ist die Korrektur der Deformität mittels Knochen- und Weichteileingriffen.

Nach der Fussoperation ist die Hochlagerung sowie nach einiger Zeit das schonende Durchbewegen des Grosszehengrundgelenkes sehr wichtig. Durch einen Vorfussentlastungsschuh kann die nachfolgende Behandlung bis zum Verheilen der Knochenschnitte ohne Stöcke bequem unter sogenannter Fersenbelastung erfolgen. Die Patientenzufriedenheit mit dem Eingriff ist hoch, sofern die richtige Operationsmethode entsprechend dem Ausmass der Deformität gewählt und korrekt durchgeführt worden ist.

Die Vorfussentlastungsschuhe müssen nach der Operation während rund vier bis sechs Wochen getragen werden, Stöcke werden selten benötigt, da man in diesen Schuhen den Fuss voll belasten kann. Nachkontrollen mittels Röntgenaufnahmen erfolgen in der Regel nach zwei, sechs, zwölf und vierundzwanzig Wochen. Gelegentlich wird eine Physiotherapie zur Mobilisation des Grosszehengrundgelenks und zur Entstauung angeordnet.

Bei noch nicht zu weit fortgeschrittenen Deformitäten wird zunehmend auch die minimalinvasive Operationsmethode angewendet.

Ärzte 2

Facharzt für: Orthopädische Chirurgie und Traumatologie des Bewegungsapparates
Facharzt für: Orthopädische Chirurgie und Traumatologie des Bewegungsapparates