Patientenzeitschrift "Forum"

Unser Fuss besitzt eine ideale Dreipunktekonstruktion. Ein Dreibein steht immer stabil und wackelt kaum. Deshalb hat sich diesbezüglich die Natur beim Fuss einer Kuppelkonstruktion, mit einem Längs- und Quergewölbe, bedient. Dies ermöglicht prinzipiell einen guten und sicheren Stand. Die Hauptauflagepunkte sind dabei der Rückfuss (Ferse) und im Vorfuss das Grosszehengrundgelenk wie auch das gleiche Gelenk an der Kleinzeh.

Die häufigsten Vorfussbeschwerden stellen sich beim Abflachen des niedrigen Quergewölbes im Vorfussabschnitt ein. Durch das Nachlassen des Bandgefüges kommt es zur Fehlbelastung des Vorfusses mit Überlastung der längeren, mittleren Strahlen. Gleichzeitig drückt das Nachgeben der Spannung die Randstrahlen in die Breite. Die Folge ist ein Spreizfuss mit einer Hallux-valgus-Fehlstellung des Grosszehenstrahls. Analog kann aussen, in entgegengesetzter Richtung, die Kleinzehe rausgedrückt werden, was zu einem Digitus quintus varus führt. Durch diese Veränderung des Vorfusses stellt sich auch eine Sehnenspannung der Zehen ein, was sich typischerweise in Hammerzehen-Deformitäten und durch das Hochziehen zu den bekannten Druckstellen über den kleinen Gelenken (Hühneraugen) äussert. Solche Veränderungen kommen oft familiär gehäuft vor. Zudem sind die Frauen wesentlich häufiger als Männer betroffen. Daneben sind aber, wie in den anderen Gelenken, auch Abnutzungen oder Überlastungen mögliche Ursachen. Diesbezüglich ist das Grosszehengrundgelenk am meisten betroffen (Hallux rigidus).

hirslanden-haeufige-vorfussprobleme-und-deren-therapiemoeglichkeiten-1
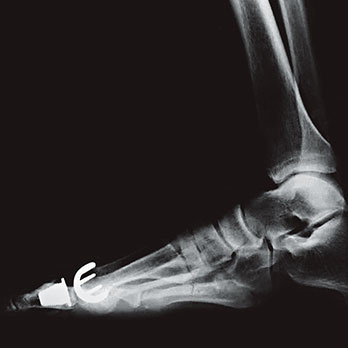
Abb. 1
Hallux valgus
hirslanden-haeufige-vorfussprobleme-und-deren-therapiemoeglichkeiten-2
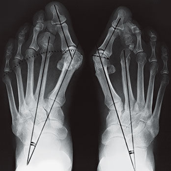
Abb. 2
Methode nach SCARF

Hallux valgus

Geringe Deformitäten mit wenig Beschwerden können mit Fussgymnastik, Schuhanpassungen oder häufig mit einer spreizfusskorrigierenden Schuheinlage, welche der Orthopädietechniker oder -schuhmacher anfertigt, korrigiert, respektive verbessert werden. Gröbere Verformungen bedürfen einer operativen Korrektur. Es gibt verschiedene Operationsverfahren. Ziel ist es, die Vorfussverbreiterung zu reduzieren und die Zehen wieder besser auszurichten. Die sanfteste operative Korrektur ist die Gelenks- oder Mittelfussköpfchen-Remodellierung. Hier wird das durch Verknöcherungen deformierte Köpfchen oder das gesamte Gelenk wieder in die ursprüngliche Form gebracht. Mit grösserem Aufwand werden Fehlstellungen durch Verschiebekorrekturen auf verschiedenen Höhen des Grosszehen-Mittelfussknochens sowie der Zehenglieder durchgeführt (Abb. 1). Diesbezüglich sind sehr viele verschiedene Operationsverfahren möglich. Ziel all dieser Korrekturen ist es, dass die ursprüngliche Fussform mit den physiologischen Auflageorten und der Kraftverteilung wieder hergestellt wird. Die aktuell meistgenutzte Korrekturoperation mit guten Möglichkeiten ist die Methode nach SCARF (Abb. 2), welche vom französischen Orthopäden Dr. Samuel Barouk entwickelt wurde. Sie beinhaltet eine seitliche, Z-förmige Mittelfussdurchtrennung mit Parallelverschiebung des vorderen Gelenksfragments zur 2. Zehe hin. Die Korrekturstellung wird anschliessend mit Spezialschrauben fixiert, und zur Entlastung des operierten Vorfusses wird ein Spezialschuh während 6 Wochen getragen.

Hammerzehen

Die Hammerzehenbildung ist ebenfalls eine Veränderung im Rahmen des Spreizfusses. Hier plagt meist das Hühnerauge über dem ersten kleinen Zehengelenk der mittleren Zehen im Schuh. Milde Formen können auch hier mittels spreizfusskorrigierenden Einlagen verbessert werden. Stärkere Verformungen bedürfen operativer Massnahmen. Am wirkungsvollsten sind leichte Strahlverkürzungen mit Versteifung des prominent stehenden Gelenks. Oft sind danach keine Sehnenverlängerungen zusätzlich notwendig.

Grosszehenarthrose

Sind die knorpligen Gelenksgleitflächen abgenutzt, hilft zur Schmerzreduktion im Frühstadium eine aussteifende Fussbettung, allenfalls kombiniert mit einer Abrollrampe der Sohle. Genügt dies nicht, können die Schmerzen durch eine Gelenksversteifung eliminiert werden. Alternativ können auch Kunstgelenke am Grosszehengrundgelenk eingesetzt werden.

Digitus quintus varus

Analog zum Hallux valgus können auch an der Kleinzehe durch die Vorfussverbreiterung zu Druckstellen an der Fusssohle oder von aussen mit Schmerzen und Zehendeformitäten führen. Diese müssen ebenfalls oft operativ korrigiert werden. Sie werden in etwas einfacherer Weise durch schräg verlaufende Schnitte und Verschiebungen behandelt. Die optimierte Stellung wird mit starren Drähten oder Schrauben in der druckentlasteten Stellung gehalten und so zur Ausheilung gebracht.

Neben diesen häufigen, obenerwähnten Vorfussproblemen gibt es natürlich noch unzählige weitere, eher seltenere Schmerzursachen, welche es primär abzuklären gilt. Auch für die Sanierungsmassnahmen müssen vorerst alle Möglichkeiten evaluiert und zusammen mit dem Patienten ausführlich diskutiert werden. Allenfalls bedarf es ergänzender Abklärungsmassnahmen. Nur nach klarer Diagnostik und Berücksichtigung aller Fakten wie Beschwerdeintensität, Funktions- und Belastungseinschränkung, Aktivitätsbeeinträchtigung und Leidensdruck können im Dialog mit dem Betroffenen die besten Verbesserungsmöglichkeiten evaluiert und durchgeführt werden.