Eine Bildführung mittels CT oder Sonographie ermöglicht hierbei das präzise Erreichen der Zielstruktur.

Prozeduren:

  • Biopsien in allen Körperprovinzen (ausser Mamma und ZNS)
  • Platzierung von Abszess-Drainagen in allen Körperprovinzen
  • Perkutane Anlage von Ernährungssonden (PRG und PRJ)
  • Perkutane Nephrostomie-Anlage
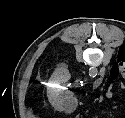
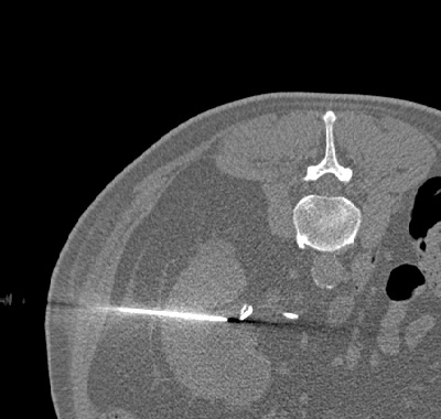
pre1
CT-gesteuerte perkutane Nephrostomaanlage bei einem einnierigen Patienten mit drohendem postrenalen Nierenversagen
pre2