Patientenzeitschrift "Am Puls der Medizin"

Für die Entstehung einer Rückgratverkrümmung mit zunehmendem Alter sind verschiedene Ursachen oder deren Kombination verantwortlich. Die normale und balancierte Wirbelsäule ist von vorne gesehen gerade und hat von der Seite gesehen eine doppelte S-förmige Krümmung. Damit stabilisiert die Wirbelsäule sich selbst bei aufrechter Haltung, ähnlich wie eine Feder.

Ursachen der Fehlstellung

Auf der Vorderseite der Wirbelsäule befinden sich die Wirbelkörper mit den dazwischen liegenden Bandscheiben, auf der Rückseite die Wirbelbögen mit den kleinen Wirbelgelenken. Mit zunehmendem Alter verlieren die Bandscheiben ihre Fähigkeit, Wasser zu speichern und damit ihre Elastizität. Die Folge ist, dass die Höhe der Bandscheiben abnimmt und damit die Wirbelsäule auf der Vorderseite kürzer wird, während die Höhe auf der Rückseite gleich bleibt. Das hohle Kreuz im unteren Rücken kann komplett verloren gehen, andererseits kann der runde Rücken im Bereich des Brustkorbes massiv zunehmen. Hierdurch verlagert sich der Körperschwerpunkt nach vorn. Wenn die Bandscheiben eher einseitig abnutzen, kann es zusätzlich zu seitlichen Verkrümmungen des Rückens kommen. In der Folge wird es durch die Fehlstellung für die Betroffenen immer schwieriger, sich aufrecht zu halten. Die Wirbelsäule neigt ausserdem dazu, in dieser Fehlhaltung steif zu werden. Zusätzlich wird auch die Rumpfmuskulatur mit zunehmendem Alter schwächer und hat nicht mehr die Kraft, die Fehlhaltung zu kompensieren.

hirslanden-warum-verkruemmt-sich-das-rueckgrat-im-alter-1
Abb. 1
Modell einer normalen Wirbelsäule in seitlicher Ansicht

Folgenschwere Verkrümmung

Die Folgen können sein: schnelle Ermüdung des Rückens mit Schmerzen durch die ständig überlastete Muskulatur, vornüber gebeugte Haltung mit Schwierigkeiten, geradeaus zu schauen, Steifheit im Rücken und hierdurch z.T. massive Einschränkungen im täglichen Leben. So kann die Selbstständigkeit gefährdet sein, es müssen Schmerzmittel eingenommen werden, die Betroffenen verlassen teilweise ihre Wohnung nicht mehr und sind kaum noch mobil. Die Sturzgefahr ist durch die schlechte Blickrichtung erhöht, aber auch soziale Einschränkungen dürfen nicht unterschätzt werden, weil die Teilnahme am Leben «draussen» nicht mehr möglich ist. All dies kann zu schweren Einschränkungen der Lebensqualität führen.

Muskulatur stärken und Hilfsmittel verwenden

Zur Linderung der Beschwerden stehen zahlreiche Massnahmen zur Verfügung. Zunächst sollten betroffene Patienten versuchen, durch Übungen den Rücken möglichst beweglich zu halten und die Rumpfmuskeln zu stärken. Die Ausarbeitung eines Trainingsprogrammes zusammen mit einem Physiotherapeuten ist dabei meist hilfreich. Zudem sollte so lange wie möglich versucht werden, die Beschwerden mit Schmerzmitteln erträglich zu halten. Dabei müssen die Nebenwirkungen der Medikamente jedoch im vertretbaren Rahmen bleiben. Hilfsmittel vom Orthopädietechniker können das Leben enorm erleichtern. Zum Gehen haben sich Walking-Stöcke oder in schweren Fällen ein Rollator sehr bewährt und können die Lebensqualität stark verbessern. Für den Haushalt gibt es Greifzangen, Anzieh-Hilfen etc., auch Stützmieder können bei einigen Patienten helfen.

Operation als letzte Massnahme

Wenn alle diese Massnahmen nicht ausreichen, besteht die Möglichkeit einer Operation. In der Regel sind grössere Operationen notwendig, um den Rücken in ein gutes Gleichgewicht zu bringen. Versteifungen des Rückens sind dabei meist nicht zu vermeiden, so dass eine Einschränkung der Beweglichkeit die Folge ist (Abb. 2 und 3).

Operationen sind deswegen nur bei schweren Fällen mit hochgradiger Funktionseinschränkung zu empfehlen. In diesen Fällen lässt sich aber die Lebensqualität des Patienten durch eine Operation häufig dramatisch verbessern. Bei solch grossen Operationen älterer Patienten ist mit einem erhöhten Risiko für Komplikationen zu rechnen. Daher braucht es eine gute Infrastruktur mit erfahrenen Operateuren, Narkoseärzten, Spitälern und Hausärzten, um die Risiken zu minimieren. Im Hirslanden Salem-Spital wird diese Art von Operationen routinemässig mit gutem Erfolg durchgeführt. Für eine ausführliche Beurteilung und Beratung sollten sich Betroffene an einen Spezialisten wenden.

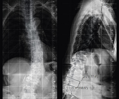
hirslanden-warum-verkruemmt-sich-das-rueckgrat-im-alter-2
Abb. 2
Röntgenbilder von vorn (links) und von der Seite, 78-jährige Patientin mit schwerer Fehlhaltung vor der Operation
hirslanden-warum-verkruemmt-sich-das-rueckgrat-im-alter-3
Abb. 3
Röntgenbilder derselben Patientin nach der Operation

Verkrümmung des Rückgrats

Neben rein altersbedingten Veränderungen können Verkrümmungen des Rückens im Alter auftreten durch:

  • Abnutzungserscheinungen und damit Verschlechterung von Fehlstellungen, die bereits seit der Jugend bestehen
  • entzündliche Erkrankungen («Rheuma»)
  • Befall der Wirbelsäule bei Tumorerkrankungen
  • Stellungsverlust durch mehrere Wirbelbrüche bei Knochenschwund (Osteoporose)

Ärzte 1

Facharzt für: Orthopädische Chirurgie und Traumatologie des Bewegungsapparates