Patientenzeitschrift "Am Puls der Medizin"

Hallux valgus ist der medizinische Fachausdruck für eine deformierte Grosszehe. Dabei weicht die Grosszehe in Richtung Fussaussenrand ab. Neben der Verformung sind Schmerzen, Beeinträchtigung der Nachbarzehen mit Hammerzehenbildung und chronische Entzündungen die Folge. Oft ist eine Operation notwendig, um die Patienten von den Schmerzen zu befreien. Die Vielzahl von Behandlungsmöglichkeiten erfordert eine genaue Abklärung und Beratung durch den Spezialisten.

Schmerzen im Grosszehen-Grundgelenk und Schwierigkeiten, passende Schuhe zu finden, sind die häufigsten Klagen der Betroffenen. Ausgeprägte Schmerzen werden eher in einem frühen Stadium mit geringer Verformung beobachtet. Nach einer monatelangen Schmerzphase kann es zum völligen Verschwinden der Schmerzen kommen. Nicht selten folgt darauf aber eine rasche, massive Zunahme der Fehlstellung. Oft kommt es an jener Stelle, wo der Schuh auf den vorstehenden Ballen drückt, zu schmerzhaften Schleimbeutelentzündungen. Später führt die Fehlstellung zum Verschleiss des Grundgelenks (Arthrose) und zur Deformierung der Nachbarzehen: Normales Gehen oder sportliche Aktivitäten werden immer mühsamer, Fehlbelastungen des Vorfusses und Probleme beim Tragen von geschlossenen Schuhen sind die Folge.

hirslanden-hallux-valgus-1
Abb. 1
Fuss mit Hallux
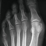
hirslanden-hallux-valgus-2
Abb. 2
Hallux vor Korrektur
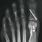
hirslanden-hallux-valgus-3
Abb. 3
Hallux-Korrektur
hirslanden-hallux-valgus-4
Abb. 4
Fuss nach Hallux-Korrektur

Sind die hohen Absätze schuld?

In vielen Fällen ist die Ursache eine angeborene Bänder- und Bindegewebsschwäche, oft familiär bedingt. Diese begünstigt das Entstehen des Spreiz-/Senkfusses: Das Längsgewölbe sinkt unter Belastung ein und beim Abrollen wird der Vorfussballenbereich auseinandergedrückt. Die Spannung der Sehnen auf und unter dem Fuss nimmt zu, bis die Grosszehe schliesslich zur Seite kippt.

Vier von fünf Betroffenen sind Frauen. Schuhe mit zu kleinem Zehenraum und hohe Absätze können eine bestehende Fehlstellung der Füsse verstärken. In Ländern, in denen die Menschen viel barfuss gehen, kommt Hallux valgus nur selten vor.

Konservative, nicht operative Therapie 

Bereits bevor sie einen Arzt aufsuchen, haben die meisten Patientinnen breite Schuhe mit weichem Obermaterial gekauft, um Schmerzen im Bereich des Knochenwulstes zu vermeiden. Allerdings kann sich dadurch der Mittelfuss unter Belastung ungehindert verbreitern, was die Krümmung der Grosszehe weiter verstärkt.

In einem frühen Stadium kann Physiotherapie – insbesondere Spiraldynamik – helfen, die Füsse zu stabilisieren und die Muskeln zu kräftigen. Auf Dauer ist es aber nur selten möglich, einen insuffizienten Kapsel- und Bandapparat durch eine muskuläre Stabilisierung zu kompensieren. Einlagen sind sinnvoll, da sie das Längsgewölbe des Fusses stützen. Hallux-Schienen hingegen sind bei ausgeprägten Formen nicht wirksam, können aber vereinzelt kurzzeitig nach Operationen angezeigt sein.

Die Aussicht auf Heilung einer etablierten Deformität mit einer nicht operativen Therapie ist gering, allenfalls kann das Fortschreiten der Erkrankung zeitweilig aufgehalten bzw. verlangsamt werden.

Wann ist eine Operation sinnvoll?

Dies ist eine nicht immer einfach zu beantwortende Frage, da die Verformung meist nicht mit dem Ausmass der Schmerzen übereinstimmt. In vielen Fällen ist nicht der Hallux valgus selbst schmerzhaft, sondern die Folge davon, z.B. eine Hammerzehe. Bei mittelschweren und schweren Deformierungen, die von Beschwerden begleitet sind, ist eine Operation in der Regel angebracht. Aber auch geringe Deformierungen können erhebliche Schmerzen verursachen, die ein chirurgisches Vorgehen rechtfertigen.

Oft drängen Patientinnen mit geringer Verformung und minimen Schmerzen auf eine Operation. Andrerseits zögern Patientinnen mit fortgeschrittenen Stadien oder lehnen einen sinnvollen chirurgischen Eingriff ab. Der Grund dafür ist eine in der Bevölkerung weit verbreitete Verunsicherung bezüglich der Erfolgschancen der Hallux-Chirurgie. Deshalb dient das persönliche Gespräch mit dem Fusschirurgen nicht nur dazu, das Ausmass der Beschwerden herauszufinden, sondern auch dazu, die Erwartungen der Patientin zu klären. Es ist wichtig, dass diese frühzeitig über den zu erwartenden Verlauf einer konservativen oder chirurgischen Therapie – und, im Falle einer Operation, über den Eingriff, die damit verbundenen Risiken und den zu erwartenden postoperativen Verlauf – informiert wird.

Wahl der Operationstechnik

Es gibt über hundert Operationstechniken zur Behandlung des Hallux valgus. Meist beinhalten sie eine Knochendurchtrennung (Osteotomie) und Korrektur des ersten Mittelfussknochens und des Grundgliedes der Grosszehe. Welche Methode bei welchem Patienten angewendet wird, hängt von den anatomischen Gegebenheiten, aber auch von der Erfahrung des Chirurgen mit den einzelnen Methoden ab. Aufgrund der Resultate der klinischen und radiologischen Untersuchungen legt der Chirurg die individuell optimale Operationstechnik fest. Da der Hallux valgus eine variantenreiche Deformierung ist, muss der Chirurg verschiedene Operationstechniken beherrschen. Bei fortgeschrittener Arthrose des Grosszehen-Grundgelenks ist in der Regel nur eine Arthrodese, das heisst, eine operative Versteifung des Gelenks sinnvoll.

Nachbehandlung

Unabhängig von der Operationstechnik sollte der Fuss nach dem Eingriff möglichst früh wieder belastet werden. Dies bedingt eine stabile Fixierung der durchgeführten Korrektur und eine vorübergehende Vorfussentlastung durch einen Vorfussentlastungsschuh oder einen speziellen Stiefel. Physiotherapie ist sinnvoll, wenn sich eine Gelenksteifigkeit und eine anhaltende, ausgeprägte Schwellung abzeichnen. Bei einem verzögerten Heilungsverlauf mit länger andauernden Schmerzen und Bewegungseinschränkungen sind regelmässige Kontrollen, eventuell Physio- oder Ergotherapie und die Mitarbeit der Patientin wichtig.

Neue Methoden

In letzter Zeit häufen sich die Berichte über minimal invasive Operationsmethoden oder Hallux-Korrekturen mittels Laser. Für diese Verfahren liegen aber noch zu wenig gesicherte Daten betreffend Resultaten und Komplikationen vor. Bei wirklich behandlungsbedürftigen Deformationen wird man auch in Zukunft nicht um «echte» chirurgische Eingriffe herumkommen.