Patientenzeitschrift "Am Puls der Medizin"

Mit der Entwicklung des ersten Computertomografen (CT) durch Hounsfield Anfang der 70er-Jahre wurde es erstmals möglich, überlagerungsfreie Schnittbilder des lebenden Körpers zur Diagnostik herzustellen. Dank dem enormen technischen Fortschritt in den letzten 40 Jahren nimmt der Computertomograf heutzutage einen zentralen Platz in der Radiologie ein.

hirslanden-moderne-bildgebung-1
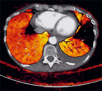
Abb.1
Lungendurchblutung: Der keilförmige dunkle Bezirk rechts entspricht dem nicht mehr durchbluteten Lungenareal aufgrund eines Blutgerinnsels (Lungenembolie in einem Lungenarterienast).

Verschiedene neue technische Ansätze bei der jüngsten Gerätegeneration bringen folgende immense Vorteile: Dank blitzschneller Bilddatengewinnung in feinster Auflösung können - auch bei unruhigen Patienten – gestochen scharfe Bilder, z. B. von Herzkranzgefässen, gewonnen werden. Hochleistungsrechner und Software erlauben verschiedene Bildrekonstruktionen innerhalb kürzester Zeit. Die neueste Technologie öffnet auch die Türe zu einer Visualisierung von Geweben und Organen, wie sie bis dahin nicht möglich war; so können z. B. die Durchblutung von Organen sichtbar gemacht, Nierensteine charakterisiert oder Knochen direkt ausgeblendet werden, um die übrigen Gewebe besser beurteilen zu können. Ein weiterer wichtiger Aspekt des Fortschrittes ist die Verringerung der Strahlendosis, die bereits bemerkenswert reduziert werden konnte. Die technische Evolution geht rapide weiter, die Strahlendosis wird noch weiter abnehmen und neue Anwendungen, wie z. B. Brust-CT, werden in Zukunft möglich sein.

Eine der neuen Geräteentwicklungen ist das sog. Dual-Source-CT: Dank zwei um 90 Grad versetzt um den Patienten rotierenden Röntgenröhren ergeben sich die oben erwähnten Vorteile optimal. Beim Dual-Source-CT der neuesten Generation mit breiten Detektorfeldern – wie ihn das Radiologische Institut in der Klinik Beau-Site Bern betreibt – kann zum Beispiel das Herz in weniger als einem Herzschlag mit minimaler Strahlendosis untersucht werden.

Ärzte 1

Facharzt für: Radiologie