Patientenzeitschrift "Am Puls der Medizin"

Aussagen wie «Lebermetastasen sind ein Todesurteil» dürfen heute zu recht kritisch hinterfragt werden. Grund dafür sind die rasanten medizinischen Fortschritte. Mit gründlichen Abklärungen und einem erfahrenen Team kann für jeden Patienten die geeignete Therapiemethode gefunden werden.

Die Lebenserwartung von Patienten mit Lebermetastasen (Tumorableger) eines Dickdarm- oder Brustdrüsenkrebses beträgt unbehandelt durchschnittlich sechs bis neun Monate, höchstens aber zwei Jahre. Umgekehrt sind heute von einer chirurgisch-radikalen Entfernung isolierter Lebermetastasen 5-Jahres-Überlebensraten von bis zu 50 % zu erzielen. 20 – 30 % der Patienten können definitiv geheilt werden. Eine vorgängige Chemotherapie, speziell in Kombination mit einer Tumorantikörpertherapie, lässt dabei in gegen 80 % dieser Patienten die Metastasen schrumpfen und teilweise vernichten, sodass oftmals eine Leberoperation überhaupt erst möglich und sinnvoll wird.

Wie viel Leber braucht der Mensch?

Bis zu 75 % der Leber können entfernt werden. Anders gesagt reicht ein Viertel gesundes Lebergewebe aus, um die lebensnotwendigen Leberfunktionen aufrechtzuerhalten. Die verbleibende Restleber wächst innerhalb von vier bis sechs Wochen auf 60 – 75 % ihrer ursprünglichen Grösse nach. Mit Hilfe der 3D-Rekonstruktion der Computertomographie-Bilder können heute das Gesamt- und das zu erwartende Restlebervolumen nahezu auf den Kubikzentimeter genau berechnet werden.

Spezifische Leberfunktionstests lassen, zusätzlich zu den üblichen Laboruntersuchungen, die Restleberfunktion nach der Operation zuverlässig voraussagen. Wie gesund und funktionstüchtig der nicht tumorbefallene Leberanteil ist, kann zudem durch eine Lebergewebeprobe feststellt werden. Dazu untersucht der Pathologe vor oder während der Operation die entnommene Probe unter dem Mikroskop. Wird die Leberreserve nach Leberteilentfernung als kritisch klein eingeschätzt, kann in Erwägung gezogen werden, die Leber in zwei – zeitlich versetzten – Schritten zu operieren. Alternativ kann vier bis sechs Wochen vor der Operation die Blutzufuhr der erkrankten Lebersegmente katheter-interventionell gedrosselt werden. Damit kommt es zu einer Schrumpfung der erkrankten, zu entfernenden Lebersegmente und zu einem kompensatorischen Anwachsen der gesunden, verbleibenden Segmente. Die grosse Regenerationsfähigkeit der Leber erlaubt es dann, insge-samt bis zu 85 % des ursprünglichen Volumens zu entfernen. Das postoperative Leberversagen ist somit bei entsprechender Erfahrung des behandelnden Teams äusserst selten geworden.

Ist Leberchirurgie gefährlich?

Obwohl die erste Lebertransplantation in Europa bereits über 40 Jahre zurückliegt, hat die Leberchirurgie erst in den letzten 20 Jahren breitere Anwendung gefunden. Grund dafür ist, dass Operationen an diesem sehr stark durchbluteten und zerbrechlichen Organ mit seiner unmittelbaren anatomischen Beziehung zur unteren Hohlvene (einem Blutgefäss von 2,5 bis 3 cm Durchmesser) technisch anspruchsvoll sind. Das verbesserte Verständnis der Leberanatomie, nämlich die Aufteilung in acht Lebersegmente, und die Erkennung verschiedener anatomischer Varianten haben zu besseren Ergebnissen beigetragen. Ergänzt durch eine verfeinerte chirurgische Technik unter Anwendung modernster apparativer Hilfsmittel sowie Fortschritte in der Anästhesie und Intensivmedizin, werden selbst grössere Lebereingriffe in erfahrenen Händen zu weitgehend ungefährlichen Routineoperationen mit einer Spitalsterblichkeit von unter 3 %. Beim Autor dieses Artikels liegt letztere sogar unter 1%. 1

Die früher gefürchteten hohen Blutverluste während der Operation von mehreren Litern bilden heute die grosse Ausnahme. Selbst bei ausgedehnten Leber-Teilentfernungen gelingt es, den mittleren Blutverlust auf weniger als 500 Milliliter zu beschränken, auch ohne temporäres Abklemmen der grossen Leberstielgefässe.1 Damit bleiben dem Patienten mögliche Komplikationen in den meisten Fällen erspart. 1

Gibt es Behandlungsalternativen?

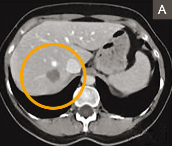
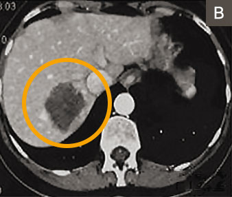
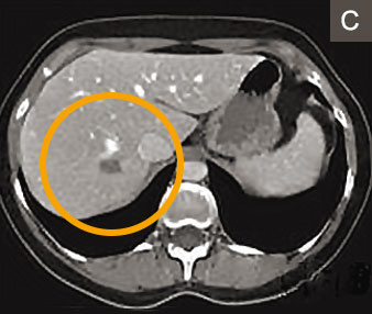
Alternativ oder ergänzend zur Leberteilentfernung können Lebertumoren auch mit einer Nadeltechnik 2 verödet werden. Dabei erzeugen Radiofrequenzen oder Mikrowellen hohe örtliche Hitze. Die Methode ist für nicht oberflächlich gelegene Lebertumoren bis zu einer Grösse von drei Zentimetern geeignet (Abbildungen A – C). Sie wurde vom Autor und seinem Team seit 15 Jahren angewandt und weiterentwickelt 3 und bietet folgende Vorteile: Es geht weniger normales Lebergewebe verloren als bei der Leberteilentfernung und der Eingriff kann ohne Bauchschnitt durchgeführt werden. Entsprechend ist die Nadeltechnik für die Patienten wenig belastend.

hirslanden-lebermetastasen-1
Computertomographie-Bild mit einzelner Metastase (grauer Fleck) im rechten Leberlappen
hirslanden-lebermetastasen-2
1 Woche nach Nadelbehandlung: Verödetes Leberareal (dunkelgrauer Fleck, etwas grösser als Metastase)
hirslanden-lebermetastasen-3
1 Jahr später: verödetes Areal ist geschrumpft, kein Tumorrückfall

Von was hängt der Erfolg in der Lebertumorbehandlung ab?

Jede Tumorbehandlung beginnt mit einer sorgfältigen Abklärung, das heisst mit einer möglichst genauen Erfassung des Tumortyps und der Ausdehnung des Tumorleidens. Die Klinik Beau-Site verfügt dafür über modernste Verfahren. Interdisziplinär, also in Anwesenheit von erfahrenen Leberspezialisten, Bauchchirurgen, Onkologen, Strahlentherapeuten, Pathologen und Radiologen, wird an der wöchentlich stattfindenden Tumorkonferenz ein optimaler Behandlungsvorschlag für jeden Patienten ausgearbeitet. Die beteiligten Fachärzte schenken dabei der individuellen psychosozialen Situation und der zu erwartenden Lebensqualität der Patienten grosse Beachtung.

 

1 Maurer C.A. et al., Liver Resections Can Be Performed Safely Without Pringle Maneuver. Submitted
2 Maurer C.A. et al., Radiofrequency ablation permits an effective treatment for colorectal liver metastasis. Eur J Surg Oncol. 2007 Feb; 33 (1): 67–71
3 Maurer C.A. et al., Radiofrequency Ablation of liver tumors: a novel needle perfusion technique enhances efficieny. J Surg Res 2010; 159: 532–7