Patientenzeitschrift "Am Puls der Medizin"

Anna Schwegler*, 62, klagt über schmerzhafte Schwielenbildung (Hyperkeratosen) in den Ballen beider Füsse und über Schmerzen in der zweiten Zehe. Die Schwielen tun ihr beim Gehen, also unter Belastung, weh. Nachdem sie erfolglos mehrere konservative Therapien ausprobiert hat, geht sie in die Spezialsprechstunde.

Die Untersuchung beim Spezialisten fängt mit der genauen Erhebung der Krankengeschichte (Anam­nese) an. Der Facharzt versucht herauszufinden, wie lange die Schmerzen schon bestehen, was ihre Auslöser sind und ob sie auf andere Körperstellen ausstrahlen. Er fragt Anna Schwegler auch, ob Nacht- oder Ruheschmerzen bestehen und ob es sich um einen brennenden oder stechenden Schmerz handelt. Von zentraler Bedeutung bei der Erhebung der Krankengeschichte ist zudem die Frage nach System­erkrankungen wie beispielsweise Diabetes, Rheuma, Gefässerkrankungen oder Gicht. Damit sich der Spezialist eine Vorstellung des Schuhwerks von Frau Schwegler machen kann, hat sie ihre am häufigsten getragenen Schuhe mitgenommen.

Ursache der Beschwerden identifizieren

Unter Metatarsalgie versteht man das belastungs­abhängige Auftreten von Schmerzen unter den Köpfchen der Mittelfussknochen (Ossa metatarsalia). Nachdem die Krankengeschichte erhoben ist, fängt die eigentliche Arbeit des Spezialisten an. Er muss in einem ersten Schritt herausfinden, ob es sich um eine primäre oder sekundäre Metatarsalgie handelt. Erstere hat eine am Fuss lokalisierte Ursache, wäh­rend letztere bei systemischen Krankheitsbildern wie beispielsweise Gicht auftreten kann.

Mit zunehmendem Alter kann es zur Ausdünnung des Fussballenfettpolsters kommen. Die Mittelfussköpfchen sind unter der Haut erkennbar, was zu mehr Druck und damit mehr Schmerzen führen kann. Einer der Hauptfaktoren für die Entstehung von Metatarsalgie ist die Ausbildung einer Hammer-, Krallenzehe oder eines Hallux valgus. In vielen Fällen ist auch die Entstehung eines Spreizfusses die Ursache für die Beschwerden der Patienten, da es beim Spreizfuss zum Absenken des Fussgewölbes kommt. Falsches Schuhwerk, insbesondere Schuhe mit hohem Absatz und Schuhe mit schlechter Pufferung und dünner Sohle, können ebenfalls eine Metatarsalgie auslösen und die Symptome verstärken. Auch die Fussform kann die Entstehung einer Metatarsalgie begünstigen. Sind die zweite Zehe und der Mittelfussknochen länger als der Grosszeh, kann es bei der Ausbildung eines Spreizfusses zu einer vermehrten Belastung oder einer Fehlbelastung des Fusses kommen.

hirslanden-metatarsalgie-1
Falsches Schuhwerk kann eine Metatarsalgie auslösen.

Diagnostik und klinische Untersuchung

Die Untersuchung beginnt mit einer Begutachtung der Schuhe, der Inspektion der Füsse und der Analyse des Gangbilds von Anna Schwegler. Speziell darauf zu achten ist, ob Schwielenbildungen oder auf Druck auslösbare Beschwerden bestehen. Anschliessend folgen Tests auf Beweglichkeit der einzelnen Gelenke, Nervenempfindungsstörungen, Durchblutungssitua­tion und die Stabilität der Gelenke. Von zentraler Bedeutung ist das Röntgenbild. Es muss zwingend im Stehen angefertigt werden, um die Statik der Gelenke zueinander unter Belastung beurteilen zu können.

Sollten die Krankengeschichte, die Untersuchung und das Röntgenbild keine sichere Diagnose erlauben, stehen dem Spezialisten eine Vielzahl von Zusatzunter­suchungen wie Computertomographie, Sonographie oder Angiographie zur Verfügung.

Diagnose gesichert – was tun?

Wenn der Spezialist die Ursache für die Beschwerden gefunden hat und diese mechanischen Ursprungs sind, so ist die genaue Auseinandersetzung mit den bis­herigen konservativen Therapien notwendig. Sind diese ausgeschöpft und wird der Leidensdruck der Patientin so gross, dass sie in ihrer Lebensqualität eingeschränkt ist, muss eine Operation diskutiert werden.

Je nach Ursache, die gefunden wurde, gibt es mehrere operative Möglichkeiten, um die Beschwerden der Patientin zu beheben. Sind die Beschwerden auf einen Hallux valgus zurückzuführen, so sollte dieser operiert werden, um die Fehlbelastung des Fusses zu korrigieren. Bei einem zu langen Mittelfussknochen muss dieser operativ verkürzt werden. Sind Hammer- oder Krallenzehen die Ursache für die Beschwerden, so kann der Spezialist diese mit gut etablierten operativen Eingriffen begradigen.

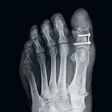
hirslanden-metatarsalgie-2
hirslanden-metatarsalgie-3

Metatarsalgien können oft auf einen Hallux valgus (hier vor und nach der Operation) zurückgeführt werden.

Bei Anna Schwegler ist die Ursache für ihre Schmerzen eine Hammerzehe mit einem zu langen zweiten Mittelfussknochen. Früher wurde bei dieser Diagnose ein Draht durch die Zehe gebohrt, der vorne herausschaute. Das hielt viele Patienten von einem Eingriff ab. Anna Schwegler hat sich zusammen mit dem Spezialisten für ein neues Operationsverfahren ent­schieden, bei dem die Schienung nicht aus einem Draht, sondern aus selbstauflösenden Zuckerstiften besteht. Damit wurden im Salem-Spital in jüngster Vergangenheit sehr gute Erfahrungen gemacht.

Spezialisierung und moderne Operationsverfahren

Die Behandlung von Fehlstellungen, Erkrankungen und Verletzungen der Füsse hat in den letzten Jahren deutlich an Bedeutung gewonnen. Das widerspiegelt sich in einer zunehmenden Speziali­sierung vieler Orthopäden auf dem Gebiet der Fuss- und Sprung­gelenkschirurgie. Die operative Therapie und neue Operationsverfahren spielen – nebst konservativer Behandlungsmöglichkeiten wie Fussgymnastik, Schuheinlagen, orthopädische Spezialschuhe und medikamentöse Schmerztherapie – zunehmend eine entscheidende Rolle.

*Name geändert

Ärzte 1

Facharzt für: Orthopädische Chirurgie und Traumatologie des Bewegungsapparates