Patientenzeitschrift "Am Puls der Medizin"

«Warum nicht nur das ersetzen, was auch kaputt ist?» Diese Frage stellt sich auch bei Eingriffen am Kniegelenk. Seit Jahren wird bei Arthrose des Kniegelenks meistens der Einbau einer Knietotalprothese empfohlen. Unabhängig vom Ausmass der Schädigung wird dabei das ganze Kniegelenk ersetzt. Gerade bei aktiven Patienten mit hohen Alltags- und Freizeitansprüchen erfüllt das Ergebnis oft die Erwartungen nicht. In der letzten Zeit haben sich Konzepte zum Einbau von Teil- oder Miniprothesen am Kniegelenk etabliert. Diese ersetzen lediglich den defekten (arthrotischen) Teil des Kniegelenks durch künstliche Materialien, der intakte Anteil des Gelenks bleibt erhalten.

Verschiedene technische Details führen dazu, dass das Knie durch den Einbau einer Teilprothese weniger belastet wird als mit einer Totalprothese. Die Gelenkreflexe und die Bänder bleiben erhalten und der minimalinvasive Zugang beim Eingriff ist gewebe- und weichteilschonend.

hirslanden-teil-und-miniprothesen-als-alternative-zur-knietotalprothese-1
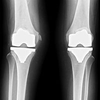
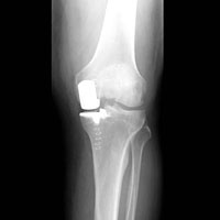
Abb. 1
Knieteilprothese
hirslanden-teil-und-miniprothesen-als-alternative-zur-knietotalprothese-2
Abb. 2
Knietotalprothese

Insbesondere jüngere Patienten profitieren

Die weltgrösste, schwedische Prothesendatenbank gibt für ältere Patienten (> 75 Jahre) die Haltbarkeit einer Totalprothese mit 97 % nach zehn Jahren an. Jüngere Patienten jedoch benötigen in 10 % der Fälle nach zehn Jahren bereits wieder eine neue Knietotalprothese. Für Teilprothesen hingegen werden in dieser Alterskategorie Haltbarkeitswerte von bis zu 98 % nach zehn Jahren angegeben. Nicht nur die Haltbarkeit, sondern auch die Beweglichkeit und die Sportfähigkeit sind bei der Teilprothese wesentlich besser als bei einer Vollprothese.

Teilersatz des inneren Kniebereichs

Die meisten Teilprothesen werden auf der Innenseite des Kniegelenks implantiert. Oftmals wurde bei diesen Patienten vor vielen Jahren (unfallbedingt) ein Teil des Innenmeniskus entfernt. Dies oder andere Faktoren haben dann zu einer Arthrose-Entwicklung auf der Knieinnenseite geführt. Nicht wenige der Patienten haben zudem ausgeprägte O-Beine. Wenn die konservativen Massnahmen wie Schmerzmittel, Schuheinlagen, Physiotherapie und Spritzen nicht mehr nützen, sollte auf der Knieinnenseite eine Teilprothese eingesetzt werden. Durch einen in der Regel nur zehn Zentimeter grossen Hautschnitt werden der Knorpel des Ober- und des Unterschenkels und der Meniskus der Knieinnenseite ersetzt. Der Spitalaufenthalt dauert nur wenige Tage, eine stationäre Rehabilitation ist meist nicht notwendig. Das Kniegelenk kann sofort voll belastet und komplett bewegt werden. Im Gegensatz zur Totalprothese können die meisten Patienten ihre gewohnten sportlichen Aktivitäten nach einigen Wochen wieder aufnehmen.

Teilersatz des äusseren Kniebereichs

Die Erfahrungen zum Ersatz des äusseren Anteils des Kniegelenks sind bei Weitem nicht so hoch wie jene auf der Knieinnenseite. Dies liegt zum einen daran, dass weniger Patienten von einer alleinigen Arthrose der Knieaussenseite betroffen sind, zum anderen auch am komplexeren Aufbau der Knieaussenseite. Bis vor wenigen Jahren waren die Ergebnisse wenig ermutigend, jedoch hat der technische Fortschritt auch hier gerade für jüngere Patienten zuverlässigere Implantate hervorgebracht. Idealerweise liegt ein moderates X-Bein vor, eventuell wurde früher der Aussenmeniskus entfernt.

Teilersatz der Kniescheibe

Zunehmend werden auch Teilprothesen hinter der Kniescheibe eingesetzt. Viele der betroffenen Patienten klagen seit Jahren über einen vorderen Knieschmerz, entweder als Unfallfolge oder durch eine Fehlanlage des Kniescheibengleitlagers (Trochleadysplasie, Patellaluxationen). Über eine lange Zeit wurde ein Oberflächenersatz hinter der Kniescheibe nur in Ausnahmefällen eingesetzt oder es wurde eine Totalprothese des Kniegelenks empfohlen, obwohl weder auf der Knieinnenseite noch auf der Knieaussenseite ein Schaden bestand. Vor allem grosse, klobige Implantate, welche die Kniescheibenbewegung nicht respektieren, führten zu unvorhersehbaren Resultaten. Mit schlanken und individuell einstellbaren Teilprothesen erreicht man heute unmittelbar ein sehr gutes Resultat. Langzeitergebnisse liegen allerdings noch nicht vor.

Arthrose auf der Knieinnenseite und hinter der Kniescheibe

Gelegentlich liegt die Arthrose nicht nur in einem der drei Teile des Kniegelenks, sondern gleichzeitig in mehreren Bereichen vor. Sind sowohl die Innen- als auch die Aussenseite befallen, wird eine Knietotalprothese eingesetzt. Sind hingegen die Innenseite und das Areal hinter der Kniescheibe befallen, kann eine Kombination von zwei Teilprothesen eingesetzt werden.

Sonderfall Miniprothese

Wenn keine generalisierte Arthrose vorliegt, sondern nur der Knorpel in einem umschriebenen Areal des Kniegelenks zerstört ist, bieten sich Mini- oder Knopfprothesen als Lösung an. Solche Prothesen können heutzutage nur in den Oberschenkelanteil des Kniegelenks implantiert werden. Der Meniskus und der Knorpel des Unterschenkels des Kniegelenks müssen noch intakt sein. Die Miniprothesen sind nur wenige Zentimeter gross und beeinträchtigen die natürliche Kniebewegung nicht.

Wer eignet sich für eine Teilprothese?

Grundsätzlich kann jeder Patient mit einer Arthrose in nur einem der drei Teile des Kniegelenks (Innenseite, Aussenseite oder Kniescheibe) eine Teilprothese anstelle einer Vollprothese erhalten. Am besten geeignet für eine Teilprothese sind sicherlich sportliche oder ehemals sportliche Patienten mit gehobenen Ansprüchen an das Kniegelenk.

In fortgeschrittenem Alter – mit daraus resultierender schlechterer Knochenqualität – wird öfters eine Knietotalprothese eingesetzt als bei jüngeren Patienten. Liegen Knorpelschäden oder Meniskusrisse in den nicht von Arthrose betroffenen Arealen vor, erhält der Patient ebenfalls eine Knietotalprothese. Bei Systemerkrankungen wie Rheuma wird der Einbau einer Knieteilprothese nicht empfohlen.

Vorteile der Teilprothese im Vergleich zur Vollprothese:

  • niedrigere Komplikationsrate
  • schnellere Genesung
  • bessere Gelenkbeweglichkeit sowie ein nahezu normales Gangbild
  • geringere Infektionsrate
  • geringerer Verlust von körpereigenem Gewebe
  • geringerer Blutverlust

Ärzte 1

Facharzt für: Orthopädische Chirurgie und Traumatologie des Bewegungsapparates