Die Mehrzahl der Bauchaortenaneurysmen wird mittlerweile endovaskulär mittels EVAR behandelt. Ein Nachteil dieser ansonsten eleganten minimalinvasiven Methode ist jedoch das Auftreten einer sog. Endoleckage, d.h. eine persistierende Durchblutung des Aneurysmasacks, welches potenziell die Gefahr einer Zunahme des Aneurysmadurchmessers und somit der Aneurysmaruptur birgt. Aktuell werden insgesamt 5 verschiedene Endoleak-Typen unterschieden, die mittels CT-Angiographie oder auch Kontrastmittel-gestützter Sonographie erkannt und unterteilt werden können. Deshalb ist eine bildgebende Nachkontrolle nach Behandlung eines Bauchaortenaneurysmas mittels EVAR unbedingt erforderlich. Je nach Typ der Endoleckage ergeben sich unterschiedliche therapeutische Konsequenzen, welche nahezu ausnahmslos minimalinvasiv interventionell angegangen werden können.

endoleckage
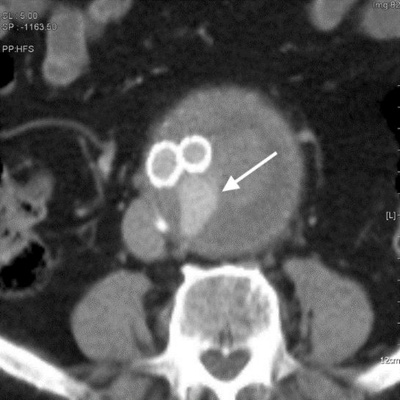
CT-Angiographie nach EVAR zeigt eine residuelle Durchblutung des Aneurysmasacks (Endoleckage).
Katheter-Embolisation
Minimalinvasive Behandlung der Endoleckage durch Katheter-Embolisation: über die grosse (Pfeilspitzen in A) und kleine (Pfeil in A) Darmarterie wird der Aneurysmasack mit einem Mikrokatheter rückwärts sondiert (weisse Pfeilspitze in B) und nachfolgend die Gefässe, die zur Endoleckage geführt haben mittels Metallspiralen (Coils, Pfeil) und Flüssigembolisat (Pfeilspitzen in C) verschlossen.