Welche interventionellen Behandlungsmöglichkeiten bei Leberkrebs und Lebermetastasen gibt es? 
Minimalinvasive Therapieverfahren zur Tumorbehandlung haben sich als wertvolle Ergänzung in Krebstherapiekonzepten etabliert und stellen eine der Kernexpertisen der Ärzte des Zentrums für Mikrotherapie dar. Hier steht ein breites Spektrum unterschiedlicher lokaler (Thermoablation) und lokoregionärer (transarterielle Therapien) interventioneller Verfahren zur Verfügung, welche allesamt an der Klinik Hirslanden angeboten werden können.

Minimalinvasive lokale Behandlung von Leberkrebs und Lebermetastasen mittels Thermoablation.
Bei der Ablation handelt es sich um ein interventionelles Therapieverfahren bei der Tumorzellen durch Hitze zerstört werden. Diese Hitze wird dabei über eine Sonde erzeugt, die in Lokalanästhesie CT-gestützt in den Tumor eingeführt wird. Eine lokale Tumorkontrolle kann in bis zu 90% erreicht werden. In internationalen Therapieleitlinien für die Behandlung von Leberkrebs findet sich die Thermoablation als gegenüber der Operation gleichwertiges Verfahren bei Tumoren bis zu einer Grösse von 3 cm wieder. Auch bei Patienten mit Darmkrebs und Lebermetastasen hat die Thermoablation einen Überlebensvorteil in Kombination mit Chemotherapie im Vergleich zur alleinigen Chemotherapie gezeigt (CLOCC-Studie). Das Zentrum für Mikrotherapie verfügt über beide hierzu gängigen Ablations-Systeme, zum einen die Radiofrequenzablation (RFA) sowie auch die Mikrowellenablation (MWA), so dass die jeweils beste Methode individuell für den Patienten gewählt werden kann.

 

leber1
Thermoablation einer Lebermetastase (weisser Pfeil) durch CT-gesteuerte Platzierung einer Mikrowellensonde (Pfeilköpfe).
leber2
Thermoablation einer Lebermetastase (weisser Pfeil) durch CT-gesteuerte Platzierung einer Mikrowellensonde (Pfeilköpfe).
leber3
CT-Kontrolle 6 Monate nach der Ablation zeigt typische narbige Veränderungen (schwarzer Pfeil) ohne Anhalt für ein erneutes Tumorwachstum.

Minimalinvasive lokoregionäre Behandlung von Leberkrebs und Lebermetastasen – TACE und SIRT
Bei Patienten mit Leberkrebs erfolgt leider oftmals die Diagnosestellung in einem Stadium, in dem eine chirurgische Entfernung des Tumors oder eine lokale Behandlung mittels Thermoablation nicht mehr möglich ist. Und auch bei Patienten mit inoperablen Lebermetastasen verlieren Chemotherapie-Regime mit zunehmender Erkrankungsdauer in der Regel ihre Wirkung. Hier kann die Behandlung der Tumorerkrankung mithilfe sogenannter lokoregionärer Verfahren sinnvoll sein. Hierbei wird in Lokalanästhesie – vergleichbar mit einer Herzkatheteruntersuchung – ein Katheter in die Leistenarterie eingeführt und unter Röntgen-Kontrolle zur Leberarterie navigiert. Dort erfolgt dann die Einbringung von Chemotherapeutika (TACE, transarterielle Chemoembolisation) oder radioaktiver Substanzen (SIRT, selektive interne Radioembolisation) in das Tumorgefässbett. Vorteile dieser Methoden ist eine vergleichsweise hohe lokale Tumorkontrollrate bei gleichzeitig guter Verträglichkeit aufgrund geringer systemischer Nebenwirkung.

body
Schematische Darstellung einer minimalinvasiven lokoregionären Behandlung bei Lebermetastasen.
tochtergeschwulst
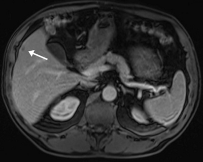
MRI mit zahlreichen Tochtergeschwülsten (Metastasen) in der Leber eines Patienten mit Darmkrebs. Ausgangsbefund vor Durchführung einer SIRT (linkes Bild) sowie Verlaufskontrolle 3 Monate nach der minimalinvasiven Behandlung (rechtes Bild) mit Nachweis eines deutlichen Therapieansprechens.