Was können Anzeichen für ein Krebsleiden der Nieren sein?
 Nierentumore machen oftmals im frühen Stadium keine Beschwerden. Somit wird nicht selten ein kleinerer Nierentumor als Zufallsbefund bei radiologischen Untersuchungen wie Ultraschall, CT oder MRI festgestellt. Je früher Nierenkrebs entdeckt wird, umso besser ist die Chance auf Heilung. Wird ein Nierentumor erst durch Blut im Urin oder Flankenschmerz entdeckt, so ist die Erkrankung meist schon fortgeschritten und die Prognose entsprechend schlechter.
Welche Behandlungsmöglichkeiten gibt es bei Nierenkrebs?
 Die operative Entfernung des Tumors ist die wichtigste und etablierte Behandlungsform bei malignen Nierentumoren. Nach Möglichkeit wird versucht, die betroffene Niere zu erhalten und lediglich den Tumor zu entfernen.
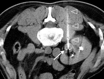
Bei kleineren Tumoren, d.h. wenn der Nierentumor kleiner 4 cm im Durchmesser ist, kommt auch eine minimalinvasive Behandlung infrage. Dieses Verfahren nennt sich Thermoablation, bei der Tumorzellen durch Hitze zerstört werden. Die Hitze wird dabei über eine spezielle Sonde erzeugt, welche in Lokalanästhesie CT-gestützt in den Tumor eingeführt wird. Vergleichende Langzeitstudien zeigten keine Überlebensvorteile der operierten gegenüber den minimalinvasiv behandelten Patienten.
Die Thermoablation sollte deshalb als Behandlungsalternative zur Nierenteilentfernung insbesondere bei älteren Patienten mit Begleiterkrankungen und damit erhöhtem Operationsrisiko sowie bei Einnierigkeit in Betracht gezogen werden.
 
                        
                        
                            