In der Schweiz werden jährlich rund 20000 künstliche Hüftgelenke eingesetzt. Häufigster Grund für diesen Eingriff ist eine fortgeschrittene Hüftarthrose. Angezeigt ist ein Hüftgelenkersatz dann, wenn die Beschwerden ausgeprägt und alle konservativen Behandlungsmethodenausgeschöpft sind. In erfahrenen Händen hat die Operation heute eine sehr hohe Erfolgsquote. Worauf es dabei ankommt, beleuchtet der folgende Beitrag.

Im Jahr 2007 erschien in der medizinischen Fachzeitschrift The Lancet, einem der weltweit renommiertesten Wissenschaftsmagazine, ein Artikel mit der Überschrift «The operation of the century: total hip replacement» – übersetzt: «Die Operation des Jahrhunderts – der Ersatz des Hüftgelenks». Das ist nicht zu hoch gegriffen: Seit Jahrzehnten ermöglicht diese Operation weltweit Millionen von Patienten eine massive Reduktion ihrer Schmerzen und damit eine bedeutende Verbesserung ihrer Lebensqualität. Welche Faktoren zum Gelingen des Gelenkersatzes beitragen, soll im Folgenden näher beleuchtet werden.

Indikation und Patientenerwartungen

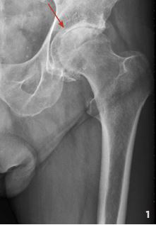
Die generelle Indikation für ein künstliches Hüftgelenk ist gegeben, wenn neben der bildgebend gesicherten Diagnose (z.B. hochgradige Arthrose oder Minderdurchblutung des Hüftkopfs) eine relevante subjektive Einschränkung der Lebensqualität vorliegt. Die Betroffenen leiden unter starken Schmerzen und einer Beeinträchtigung ihrer Mobilität, die sich mit Medikamenten und Physiotherapie nicht mehr behandeln lassen (vgl. Abb. 1).

Hüftgelenk 1
Abb. 1
Röntgenbild eines Hüftgelenks mit Arthrose.
Der Gelenkspalt (siehe Pfeil) ist aufgrund
des Knorpelabbaus verschmälert, und die
Knochen reiben schmerzhaft aufeinander.

Auch wenn das Durchschnittsalter der Patienten zum Zeitpunkt der Operation aktuell bei circa 68 Jahren liegt, wird der Gelenkersatz zunehmend auch bei jüngeren Patienten durchgeführt. So waren 2020 rund 12% der Patienten jünger als 55 Jahre. Vor diesem Hintergrund liegt es auf der Hand, dass die persönliche Erwartung an das Ergebnis der Operation massgeblich von den aktuellen Lebensumständen geprägt ist – vom Alter und vor der Berufstätigkeit ebenso wie vom sportlichen Anspruch und von Nebenerkrankungen. Wo für den einen «nur» die schmerzfreie Bewältigung des Alltags wünschenswert ist, erholt sich ein anderer, wieder problemlos auf eine Skitour gehen zu können.

Im Vorgespräch mit dem behandelnden Arzt sollten all diese Lebensumstände und Bedürfnisse erfasst werden, damit zusammen mit dem Patienten bereits im Vorfeld eine realistische Einschätzung der zu erwartenden Ergebnisse diskutiert werden kann. Diese Ergebnisse beziehen sich auf die beiden primären Ziele der Operation: eine objektivierbare Funktionsverbesserung des Hüftgelenks und eine Reduktion der subjektiven Beschwerden.

Operation

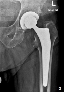
Ab den späten 1950er Jahren war die Operationstechnik so weit fortgeschritten, dass Eingriffe mit gutem Langzeitergebnis möglich wurden. In den letzten Jahrzehnten führten die kontinuierliche Verbesserung der operativen Technik auf ärztlicher Seite und die Weiterentwicklung der Implantate durch die Industrie nochmals zu bedeutenden Fortschritten (vgl. Abb. 2). Moderne Kunstgelenke sind äusserst langlebig: Die durchschnittliche «Lebensdauer» des künstlichen Hüftgelenks darf mit 15 bis 25 Jahren angegeben werden.

Hüftgelenk 2
Abb. 2
Röntgenbild einer zementfreien Hüftprothese.
Die raue Beschichtung der Prothesen- Oberfläche
ermöglicht ein gutes Einwachsen in
den Knochen.

Die Vorzüge moderner Kunstgelenke kommen naturgemäss nur dann zum Tragen, wenn sie perfekt eingesetzt werden. Als wesentlicher Faktor für eine erfolgreiche Operation gilt deshalb die Erfahrung des Operateurs. Beginnend mit dem Zugang zur Hüfte, legt er die Grundlage für eine weichteilschonende, minimalinvasive Operation. In den allermeisten Fällen kann der Patient hierbei in Rückenlage operiert werden, was gleichzeitig auch eine exakte Überprüfung der wiederhergestellten Beinlänge ermöglicht, welche vor der Operation durch die Arthrose zumeist verkürzt ist. Der Vorteil der minimalinvasiven Operationstechnik liegt darin, dass Muskeln und Sehnen besser geschont werden können. Dadurch haben die Patienten geringere Schmerzen und erholen sich schneller.

Ebenfalls von grösster Bedeutung ist die korrekte Positionierung der Implantate in das knöcherne Becken und den Oberschenkelknochen. Die Positionierung hat einen wesentlichen Einfluss darauf, ob es zu einer möglicherweise vorzeitig auftretenden Lockerung der Implantate oder auch einer potenziellen Instabilität des Gelenks kommt. Beides gilt es unbedingt zu vermeiden. Daher sollte bereits während der Operation eine Überprüfung der Stabilität erfolgen, die bei Bedarf auch unmittelbar optimiert werden kann. Hierbei kommt es entscheidend auf eine exakte Kenntnis der verwendeten Implantate an, mit deren Hilfe eine möglichst perfekte anatomische Wiederherstellung des Gelenks gelingen soll. Die Dauer der Operation sowie der Blutverlust spielen ebenfalls eine Rolle und können dank der Erfahrung des Operateurs und des Narkose-Teams minimiert werden.

Seit 2019 dürfen im Kanton Zürich nur jene Operateure einen Gelenkersatz an Hüfte und Knie durchführen, die eine gewisse Mindestzahl solcher Eingriffe pro Jahr nachweisen können. Damit ist ein starkes Instrument der Qualitätssicherung gegeben; die Daten sind für jedermann öffentlich einsehbar.

Spital

Neben der Operation selbst ist das Spital, in welchem operiert wird, ebenfalls ein wichtiger Erfolgsfaktor. Dabei gelten ähnliche Aspekte wie für das Operationsteam: Je mehr Eingriffe dieser Art in einer Klinik durchgeführt werden, umso eingespielter und weniger störanfällig sind die prozessualen Abläufe im Hintergrund. Diese Routine hilft, potenzielle Komplikationen und Risiken zu minimieren oder zu vermeiden. Dazu zählen beispielsweise Infektionen während der Operation oder der Wundheilung.

Robotik

Die Roboter-unterstützte Chirurgie spielt in manchen Fachbereichen bereits eine grosse Rolle, etwa in der Urologie, wo der Da-Vinci-Roboter mit Erfolg in der Prostata- Chirurgie eingesetzt wird. Auch in der Orthopädie gibt es bereits durchaus vielversprechende Entwicklungen, namentlich in der Knie-Chirurgie. Speziell in der Hüft- Chirurgie finden Roboter-unterstützte Eingriffe indessen noch keine breite Anwendung, wobei von Seiten der Industrie ein extrem hohes Entwicklungspotenzial besteht und für die Zukunft wichtige Neuerungen zu erwarten sind.

In der Regel ist unmittelbar nach der Operation eine Belastung mit vollem Körpergewicht unter gleichzeitiger Verwendung von Unterarm-Gehstöcken möglich. Operierte Patienten müssen gut instruiert werden, welche Bewegungen sie für die Dauer der ersten Wochen vermeiden sollten. Hierbei empfiehlt sich eine begleitende Physiotherapie über die Dauer von 8 bis 10 Wochen (vgl. Abb. 3). In den allermeisten Fällen ist nach 3 bis 4 Wochen eine Stockverwendung nicht mehr erforderlich. Wie bereits erwähnt, ist eine gute Vorbesprechung über das realistische Ergebnis nach der Operation unerlässlich. Die daraus resultierende Erwartungshaltung hilft, eine zeitlich adäquate, individuell angepasste Rückkehr zur körperlichen Belastung im Alltag, Beruf und Sport zu gestalten.

Hüftgelenk 3
Ortho Clinic Zürich
Seestrasse 315 8038 Zürich
Öffnungszeiten
Montag - Freitag
8.00 - 12.00 Uhr
13.00 - 17.00 Uhr

Glossar

  • HÜFTARTHROSE: Fortschreitende Abnutzung der Knorpelschicht im Hüftgelenk, die im gesunden Gelenk für eine fast reibungsfreie Bewegung sorgt. Mögliche Ursachen sind u.a. eine familiäre Veranlagung, angeborene Fehlstellungen, starkes Übergewicht, entzündliche Gelenkerkrankungen und Sportarten mit heftigen Stossbelastungen.
  • MINDERDURCHBLUTUNG DES HÜFTKOPFS: Verursacht durch verschiedene Faktoren wie z.B. Rauchen, Alkoholmissbrauch, Kortisoneinnahme oder Verletzungen, führt eine Minderdurchblutung des Hüftkopfs zu seinem (teilweisen) Absterben (Hüftkopfnekrose), was einen Gelenkersatz erforderlich machen kann.

Medienkontakt

Britta Seifried-Fedder
Britta Seifried-Fedder
Medien- und Kommunikationsverantwortliche