Medizin

Bei einer Arthrose wird der schützende Knorpel zwischen den Gelenkflächen abgenutzt, was zu Reibung und Schmerzen führt. Die Behandlungsmöglichkeiten sind vielfältig. So gibt es bei einer Kniearthrose nicht nur die Entweder-Oder-Lösungen «Keine Operation» oder «Prothese»: Es gibt auch chirurgische Eingriffe, die das Gelenk erhalten, zum Beispiel die Umstellungsosteotomie. Mehr über gelenkerhaltende Massnahmen bei Kniearthrose und wann diese Sinn machen, erklärt uns Dr. med. Alexander Strehl von der Klinik Am Rosenberg im Interview.

kniechirurgie-blog-dr-strehl

Herr Dr. Strehl, geben Sie uns bitte einen Überblick über die Behandlungsmöglichkeiten bei Kniearthrose, bevor wir detailliert auf einige davon eingehen.

Dr. med. Alexander Strehl: 

  • Die sogenannte konservative Behandlung erfolgt ohne Operation, mit Medikamenten und Physiotherapie. Oft startet man damit und schaut, wie und wie lange das Schmerzniveau des Patienten damit erträglich bleibt. 
  • Die nächste Stufe ist die Infiltration, also eine Spritze direkt ins Knie. Gespritzt wird je nachdem, ob es eher um die Schmerzstillung, Entzündungshemmung oder Gelenkschmierung geht, ein anderes Präparat.
  • Der «kleinste» operative Eingriff ist eine Kniearthroskopie, die mit nur kleinen Schnitten und einer Kamera im Gelenk erfolgt. Dabei kann man das Knie «ausputzen», also Meniskus- und Knorpelschäden sanieren, und allenfalls weitere Schäden beheben bzw. verhindern.
  • Ein weiterer gelenkerhaltender Eingriff ist die sogenannte Mikrofakturierung, die ebenfalls arthroskopisch erfolgt. Dabei versucht man, die Ausbildung eines Ersatzknorpels zu stimulieren.
  • Bei einer Umstellungsosteotomie wird mittels Operation der Schwerpunkt der Belastung auf den Knorpel verändert und so die beschädigte Stelle entlastet.
  • Schlussendlich gibt es Prothesen: Diese reichen vom kleinen «Flicken», den man in den Knorpel setzt, über Teilprothesen bis zu Totalprothesen.

Eine Übersicht über die verschiedenen Behandlungsmethoden finden Sie auch im Blogbeitrag eines Kollegen: «Bei der Behandlung der Kniearthrose gibt es keine Kochbuchlösung.»

Lassen Sie uns an dieser Stelle die gelenkerhaltenden Operationen, also ohne Prothese, genauer erläutern. Wem empfehlen Sie eine Kniearthroskopie?

Dr. med. Alexander Strehl: Die Erfolgsaussichten hängen vor allem vom Schweregrad der Arthrose ab, wobei ich aber auch schon häufig Patienten mit fortgeschrittener Arthrose erlebt habe, die davon profitierten. Wenn man, etwas lapidar ausgedrückt, «ausputzt», was defekt ist und im Gelenk stört, und allfällige Meniskus- oder andere Schäden behebt, kann das schon eine Linderung rund um den Knorpelschaden verschaffen.

In wenigen Fällen empfehle ich eine Arthroskopie auch zu Diagnosezwecken. Man erkennt mittels MRI-Aufnahme im Knie zwar fast jede Verletzung; manchmal hat der Patient aber ohne MRI-Hinweis Schmerzen und beschreibt Symptome nachvollziehbar so, dass da eigentlich etwas sein müsste. Dann ist eine Arthroskopie sinnvoll, vor allem, wenn man mit einer konservativen Behandlung nicht mehr weiter kommt.

Allenfalls kann in der gleichen Operation auch eine Mikrofakturierung stattfinden.

Und was geschieht bei einer Mikrofakturierung?

Dr. med. Alexander Strehl: Ziel ist, wieder Knorpel hinzubringen, wo keiner mehr ist, indem man den körpereigenen Reparaturmechanismus anregt: Man bohrt kleine Löchlein in die Knochenlamelle. Das bewirkt, dass sogenannte «pluripotente Zellen» aus dem Knochenmark austreten und einen Ersatzknorpel bilden, und das erstaunlich gut, auch wenn dieser Ersatz nicht die gleiche Qualität wie der Originalknorpel hat. Je nach Situation kann man diese Knorpelbildung noch mit einer Membran schützen (AMIC-Verfahren).

Für wen eignet sich eine solche Mikrofakturierung?

Dr. med. Alexander Strehl: Der Rest der Mechanik im Knie muss noch funktionieren. Weiter darf es kein Knorpelverlust über die ganze Fläche sein, sondern ein intakter Rest muss das Ganze noch mittragen. Am besten funktioniert diese Methode bei einem sehr lokalen Knorpelschaden, also zum Beispiel bei einem 25-jährigen Snowboarder, der sich ein Knorpelteil abgeschert hat. Der Patient sollte grundsätzlich gesund sein und nicht stark rauchen – sonst funktioniert dieser eigene Reparaturmechanismus nicht.

Was bezweckt eine Umstellungsosteotomie?

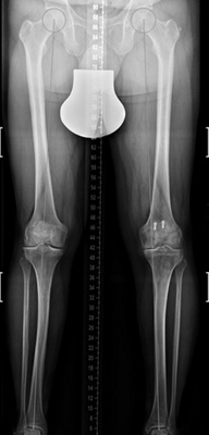
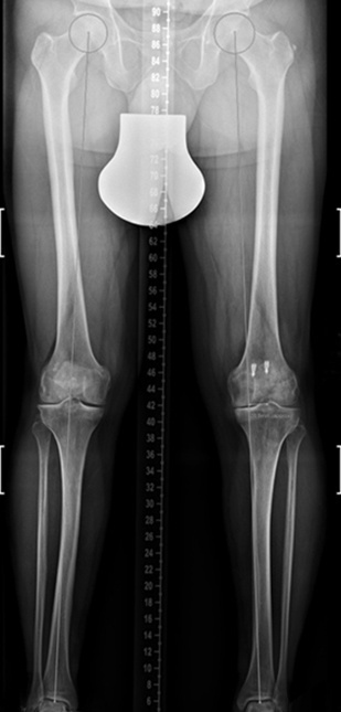
Dr. med. Alexander Strehl: Bei einer Umstellungsosteotomie wird die Lastachse im Knie und somit auch auf den Knorpel korrigiert. Korrekterweise geht die Belastung vom Oberschenkelkopfzentrum zum Sprunggelenkszentrum etwa mittig durchs Knie. Bei O- oder X-Beinen weicht diese Achse ab. Dies kann aus unterschiedlichen Gründen sein, zum Beispiel durch einen früheren Beinbruch oder weil der Patient in der Zeit des Skelettwachstums viel Fussball gespielt hat, kommt aber auch oft ohne eigentliche Ursache vor. Das O-Bein ist häufiger als das X-Bein. Manchmal sieht man diese Abweichung der Beinachse nicht auf den ersten Blick, sondern erst mit einer Ganzbeinstandaufnahme.

Durch O- oder X-Beine wird der Knorpel im Knie einseitig belastet. Da reichen manchmal schon wenige Millimeter, die die Achse abweicht. Folge ist, dass sich eine Knorpelseite deutlich schneller abnutzt als die andere. Mit der Operation wird die Belastung zurück auf die Mitte gesetzt oder eine kleine Überkorrektur auf die gesunde Seite vollzogen, sodass diese etwas mehr belastet und die abgenutztere Seite entlastet wird.

Und was geschieht bei der Operation, damit diese Korrektur erreicht wird?

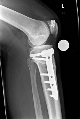
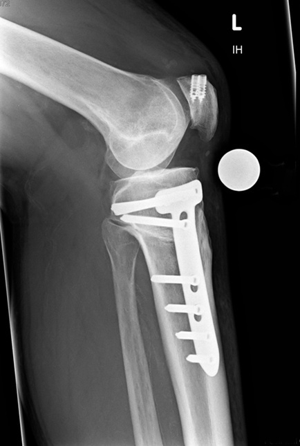
Dr. med. Alexander Strehl: Bei der häufigsten Umstellungsosteotomie am Unterschenkelkopf macht man einen Sägeschnitt am Knochen, klappt diesen gezielt auf und fixiert ihn mit einer winkelstabilen Platte; dies auf Basis dessen, was man vor der Operation bei der Planung gemessen und errechnet hat. Es entsteht ein winkelförmiger Spalt im Knochen, der von selber wieder zuwächst. Je nach Ort und Art der Deformität findet auch der Eingriff statt. Bei einem O-Bein ist dies meistens am Unterschenkelkopf. Es können aber auch Eingriffe am Oberschenkel nötig sein, vor allem beim X-Bein. Bei extremen Deformitäten kann auch eine Doppelosteotomie erforderlich sein, also dass man am Ober- und Unterschenkel korrigieren muss, um wieder eine gerade Achse zu erhalten. Dies muss man im Vorfeld genau analysieren und planen. Während der Operation wird die Beinachse mehrfach mit dem Ausrichtestab überprüft.

Bei Patienten ohne Voroperationen dauert der Eingriff unter zwei Stunden. Bei Voroperationen und vorhandenen Vernarbungen dauert es eventuell länger, da es schwieriger ist, alles zu lösen, um den Knochen aufzuklappen. Eine Doppelosteotomie dauert drei bis vier Stunden.

Wie verläuft die Rehabilitation nach einer Umstellungsosteotomie?

Dr. med. Alexander Strehl: Der Patient bleibt vier bis fünf Tage in der Klinik. Danach sind sechs Wochen Gehstöcke mit Teilbelastung angesagt. Wie stark der Patient mit den Stöcken belasten darf, hängt davon ab, wie stabil sich der Knochen während der Operation gezeigt hat und wie stark seine Beschwerden sind. Es folgt Physiotherapie, da es wichtig ist, dass das Gelenk gut beweglich bleibt. Nach sechs Wochen wird ohne Gehstöcke aufbelastet.

Bis man wieder voll funktionsfähig ist, dauert es etwa drei Monate. Manchmal geht es auch etwas schneller: Eine Patientin von mir wollte und konnte zum Beispiel nach zehn Wochen wieder Teilzeit als Verkäuferin im Supermarkt arbeiten, und dies bei bereits weit fortgeschrittener Arthrose der Innenseite und stärksten Schmerzen vor der Operation. Aber der Richtwert sind drei Monate.

Die Platte kann grundsätzlich im Knie bleiben. Ich empfehle aber, sie irgendwann wieder rauszunehmen, auch da so eine allfällige später nötige Prothesenoperation einfacher ist.

Ist eine Umstellungsosteotomie eine Alternative zur Knieprothese oder eher ein Mittel zur Zeitgewinnung, bevor eine Prothese zum Zug kommt?

Dr. med. Alexander Strehl: Sowohl als auch. Bei jüngeren Patienten mit stabilen Knochen und einseitiger Arthrose ist es eine gute Alternative zur Prothese und kann diese auch ersetzen. Braucht man später doch eine Prothese, macht diese Zeitgewinnung Sinn, da die Prothesen ja auch nicht unbeschränkt halten. So vermeidet man je nachdem eine Wechselprothese. Stammt die Arthrose primär von den O-Beinen, kann so das Fortschreiten der Arthrose gut verzögert werden.

Wie viel Zeit gewonnen werden kann, hängt sehr von der individuellen Situation ab. Der früheste Patient, den ich selbst habe beschwerdebedingt wiederkommen sehen, war nach sechs Jahren. Aber auch diese sechs Jahre waren ein Gewinn, zumal der Patient erst 50 Jahre alt war. Ich hatte aber auch Patienten, die 40 Jahre lang nach einer Umstellung zufrieden waren und bis dann keine Prothese brauchten. Gemäss Studien gewinnt man im Durchschnitt 10 Jahre, wobei sich die Methoden und die Planung in den letzten Jahren sehr verfeinert haben und der Zeitgewinn vermutlich inzwischen noch grösser geworden ist.

Wem empfehlen Sie eine Umstellungsosteotomie und wem nicht?

Dr. med. Alexander Strehl: Nicht geeignet sind Diabetiker, Raucher, Rheumatiker oder stark Übergewichtige, weil bei diesen der Knochen weniger gut zuwächst bzw. die Belastung von Platte und Knorpel zu hoch ist. Starke Raucher und Diabetiker haben eine schlechte Mikrodurchblutung, die aber zur Knochenheilung benötigt würde. Über 70-Jährigen empfehle ich diese Operation auch weniger, wobei man aber auch das individuell betrachten muss. Einem schlanken, sportlichen 75-Jährigen, der sich gegen eine Prothese sträubt, würde ich diese Option zumindest einmal erläutern und mit ihm die Entscheidung besprechen.

Geeignet ist die Umstellungsosteotomie vor allem für jüngere Patienten, die O- oder X-Beine haben und bei denen die Arthrose einseitig betont ist (wenn die Arthrose schon in allen Gelenksanteilen fortgeschritten ist, bringt auch eine Umstellung der Belastung nichts mehr). Solchen Patienten empfehle ich die Umstellungsosteotomie auch oft anstelle einer Teilprothese. Bei der Umstellung wird das natürliche Kniegelenk erhalten, während die Prothese eine «Einbahnstrasse» ist. Ist man mit der Prothese nicht zufrieden, kann man nicht sagen: «Ich will mein natürliches Knie wieder.» Andersrum kann man mit einer Umstellungsosteotomie immer noch auf eine Prothese umstellen und dies im besten Fall mit einigem an gewonnener Zeit. So wird die erste Prothese möglichst ins Alter gezogen und vermieden, dass man diese irgendwann ersetzen muss.

Schlussendlich ist es immer eine individuelle Beratung, in der man dem Patienten alle möglichen Optionen aufzeigt.