Medizin

Lungenkrebs gehört, nebst Brust-, Prostata– und Dickdarmkrebs, zu den vier häufigsten Krebsarten in der Schweiz. Als Hauptursache für Lungenkrebs gilt nach wie vor das Rauchen. Dr. med. Karl Klingler, Belegarzt an der Klinik Hirslanden in Zürich, erklärt im Interview, wie schädlich das Rauchen wirklich ist, aber auch, wie schnell der Körper von einem Rauchstopp profitieren kann. Ebenso haben wir ihn zum Thema E-Zigaretten und Entzugserscheinungen befragt.

lungenkrebs-blogbild

In der Schweiz erkranken jedes Jahr durchschnittlich 4300 Personen an Lungenkrebs. 5 Jahre nach der Diagnose leben nur noch 18 % von ihnen. Der Grund für die tiefe Überlebensrate liegt vor allem darin, dass die Diagnose Lungenkrebs meist erst spät erfolgt und dass es sich bei Lungenkrebs um einen sehr aggressiven Krebs handelt, der rasch Metastasen bildet.

Herr Dr. Klingler, wie stark erhöht sich das Krebsrisiko bei einer Person, die raucht?

Dr. med. Karl Klingler: Bei einer Person, die regelmässig über eine längere Dauer raucht, erhöht sich das Lungenkrebsrisiko um das 25-fache im Vergleich zu einem Nichtraucher. Aber das Rauchen führt nicht ausschliesslich nur zu Lungenkrebs: Mit dem Rauchen werden insgesamt 13 Krebsarten assoziiert, die häufiger bei Rauchern als bei Nichtrauchern auftreten. Die zweithäufigste Krebsart bei Rauchern, nach Lungenkrebs, ist der Blasenkrebs. Es treten aber auch häufiger BrustkrebsBauchspeicheldrüsenkrebs und Leukämien auf.

Nebst dem Krebsrisiko steigt bei Rauchern das Risiko für andere Krankheiten wie beispielsweise einen Herzinfarkt.

Zudem bilden sich bei der Hälfte aller regelmässigen Raucher chronisch verengte Atemwege (COPD). Folge davon kann ein Lungenemphysem sein (Überblähungen einzelner Lungenbläschen, welche die Leistungsfähigkeit der Lunge stark einschränken). Von diesen beiden Erkrankungen sind in der Schweiz insgesamt 450'000 Personen betroffen. Krankheiten, die ohne Rauchen zu 100 % vermeidbar wären.

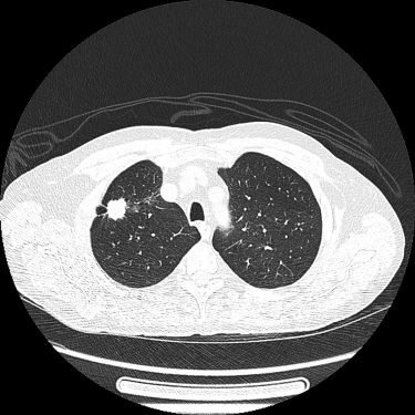
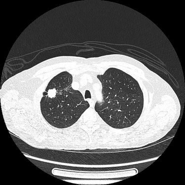
CT-Aufnahme eines bösartigen Lungentumors im Lungenoberlappen

Hat sich der Tabak denn in den letzten Jahren verändert? Gibt es positive Entwicklungen?

Dr. med. Karl Klingler: Es gab zwar Veränderungen beim Tabak, jedoch ist dieser heute nicht weniger gesundheitsschädigend. Insgesamt besteht der Tabak aus 4000 chemischen Substanzen. Vor 25 Jahren wurde die Tabakindustrie damit beauftragt, feinere Filter zu produzieren, damit weniger Schadstoffe in die Lunge gelangen. Durch die feineren Filter befindet sich der Krebs heute nicht mehr in den zentralen Atemwegen, sondern in der Peripherie. Man hat nur den Ort des Auftretens von Lungenkrebs verändert, nicht aber die Anzahl der Lungenkrebs-Fälle verringert.

Zum Trend E-Zigaretten: Sind diese genauso oder ähnlich krebserregend wie die üblichen Zigaretten?

Dr. med. Karl Klingler: Diese Frage ist schwierig zu beantworten, da es nicht «Die E-Zigarette» gibt. Jeder Hersteller produziert sein eigenes Produkt. Elektrische Zigaretten unterscheiden sich zum Teil erheblich in ihrer Funktionalität und können derzeit nicht als bedenkenlos bewertet werden. Der Verbraucher hat keine zuverlässigen Informationen über die Produktqualität. Auch eine gesundheitliche Belastung von Drittpersonen kann nicht ausgeschlossen werden, da beim Konsum von E-Zigaretten feine lungengängige Flüssigkeitspartikel, Nikotin und krebserzeugende Substanzen in die Raumluft abgegeben werden.

Wie schätzen Sie es ein, dass einige Raucher, anstelle davon, ganz mit dem Rauchen aufzuhören, auf E-Zigaretten zurückgreifen?

Dr. med. Karl Klingler: Elektrische Zigaretten können das Rauchverlangen und die Entzugssymptome verringern. Der Nutzen von E-Zigaretten als Hilfsmittel für einen dauerhaften Rauchstopp ist aber nicht erwiesen. E-Zigaretten werden in erster Linie aufgrund der geringeren Gesundheitsgefährdung, die ihr zugeschrieben wird, als Alternative zu herkömmlichen Zigaretten sowie als Hilfsmittel zum Rauchstopp verwendet. Aktuell weiss man noch nichts über die Langzeitschäden solcher Zigaretten. Momentan läuft eine grosse Studie an der Universität Bern, bei welcher zwei spezifische E-Zigaretten untersucht werden. Ziel dieser Studie ist es herauszufinden, inwiefern sich das Rauchen von E-Zigaretten auf die Gesundheit auswirkt. Ebenso wird untersucht, welchen Unterschied es macht, wenn ein Raucher lediglich von herkömmlichen Zigaretten auf E-Zigaretten umsteigt, anstatt ganz auf das Rauchen zu verzichten. Mit den Ergebnissen der Studie ist in rund 3 bis 4 Jahren zu rechnen.

Kann sich die Lunge/der Körper nach einem Rauchstopp wieder vollumfänglich erholen?

Dr. med. Karl Klingler: Ja, das ist möglich. Wie sich die Lunge und der Körper erholen, ist aber abhängig davon, wie lange und wie stark jemand geraucht hat. Auch die genetische Veranlagung spielt dabei eine grosse Rolle. Es gibt Menschen, die rauchen 3 Packungen am Tag und sind gesund. Hingegen kann jemand, der «nur» 10 Zigaretten am Tag raucht, schwer krank sein. Auch bei einer Person, die lange und stark geraucht hat, besteht aufgrund der genetischen Veranlagung grundsätzlich die Möglichkeit, dass sich ihre Lunge wieder vollständig erholen kann.

Wann sind nach einem Rauchstopp erste positive Veränderungen im Körper zu spüren?

Dr. med. Karl Klingler: Bereits eine halbe Stunde nach dem Rauchstopp beginnt sich der Körper zu regenerieren: Als Erstes verbessert sich die Durchblutung und der Puls sowie der Blutdruck normalisieren sich. Schon 24 Stunden, nachdem mit dem Rauchen aufgehört wurde, sinkt das Herzinfarktrisiko. 2 Jahre nach dem Rauchstopp ist das Herzinfarktrisiko um 50 % gesunken (vorausgesetzt, es liegen keine anderen Risikofaktoren wie schlechte Cholesterinwerte, hoher Blutdruck, Zuckerkrankheit und familiäre Veranlagung vor). Innerhalb weniger Monate nach dem Rauchstopp wird die Atmung unbeschwerter und die Kurzatmigkeit lässt nach. Genau aus diesen Gründen lohnt es sich, auch für Langzeitraucher, mit dem Rauchen aufzuhören. Als Faustregel gilt, dass es insgesamt 22 Jahre dauert, bis sich das Lungenkrebsrisiko bei einem Ex-Raucher wieder an dasjenige eines Nichtrauchers angeglichen hat. Das ist zwar lange, jedoch sinkt das Lungenkrebsrisiko innerhalb der ersten 10 Jahre nach einem Rauchstopp bereits um 90 %.

Das klingt alles schön und gut. Doch wie sieht es mit den Entzugserscheinungen aus? Was können Ex-Raucher dagegen tun?

Dr. med. Karl Klingler: Unmittelbar nach dem Rauchstopp kommt es hart auf hart. Rauchen unterdrückt einige Immunfunktionen der Lunge, sodass diese übermässig aktiv wird, sobald man mit dem Rauchen aufhört. Tatsächlich husten manche Menschen mehr nach dem Rauchstopp und haben mehr Sekret in der Lunge. Man könnte sich daher zunächst schlechter fühlen als vor dem Rauchstopp, da der Körper versucht, die Regeneration zu kompensieren.

Grundsätzlich gibt es zwei Formen von Entzugssymptomen: die körperlichen und die psychischen Symptome. Genau diese Kombination macht das Aufgeben des Rauchens besonders schwierig. Von der körperlichen Seite fallen vor allem Nervosität, Schmerzen im Brustbereich, schlechter Schlaf, Schwitzen, Ruhelosigkeit, gesteigerter Appetit etc. an. Diese körperlichen Entzugssymptome halten in der Regel maximal 4 bis 6 Wochen an.

Was den psychischen Aspekt angeht, mache ich gerne ein Beispiel: Es ist natürlich wahnsinnig schwierig, wenn man während 20 Jahren nach dem Essen eine Zigarette geraucht hat, von heute auf morgen darauf zu verzichten. Das ist ein Automatismus. Ich vergleiche das gerne mit Roger Federer, wenn er Tennis spielt: Er muss nicht bei jedem Ball überlegen, wie er den Schläger halten und seine Beine positionieren muss. Und genauso wenig überlegt der Raucher nicht, ob er seine Zigarette nach dem Essen rauchen will. Das passiert automatisch. Gemeinsam mit dem Raucher muss man analysieren, wann, wo und warum die Person raucht. Dann suchen wir nach einer alternativen Handlung, die getätigt werden kann anstelle davon, eine Zigarette zu rauchen.

Was ist Ihre Empfehlung: Wie können Raucher es schaffen, den Glimmstängel loszuwerden?

Dr. med. Karl Klingler: Für mich ist es ganz klar und essentiell: Um erfolgreich von der Zigarette wegzukommen, braucht ein Raucher eine verhaltenstherapeutische Unterstützung von seinem Hausarzt oder einer Institution wie der Lungen- oder Krebsliga. Die eigentliche Raucherentwöhnung kann in diesem Fall unter Umständen mit Medikamenten wie beispielsweise Nikotinersatzpräparaten erfolgen, die teilweise sogar von der Krankenkasse übernommen werden. Wichtig ist es auch, direkt nach dem Rauchstopp mit einem Ausdauertraining zu beginnen, um eine wahrscheinliche Gewichtszunahme aufgrund des stärkeren Appetits besser kontrollieren zu können.