Hirslanden Fachartikel

Die Hallux valgus Operation ist eine der häufigsten Eingriffe der modernen Fusschirurgie. Der Hallux valgus entsteht meistens durch eine Fehlstellung des Grundgelenkes der grossen Zehe und führt zu einer Funktionsstörung des wichtigen Grosszehenfussballes, der ca. 30% der Vorfussbelastung trägt. Diese Funktionsstörung ist schmerzhaft und führt zu Sekundärschäden in den benachbarten Anteilen des Vorfusses. Verkürzung der Gelenkkapsel und Muskeln sind die Folge.

Die Hallux-Operation ist – wie Vieles in der Medizin – keine hundertprozentige Sache. Vor vielen Jahren bestand die Behandlung eines Hallux valgus sehr pragmatisch in der Entfernung des nach innen abstehenden Knochens, der sogenannten Pseudoexostose. Pseudo deshalb, weil der Knochen nicht wirklich absteht, sondern durch die Fehlstellung nach innen verlagert ist. Allerdings war damit das Grundproblem, nämlich die Fehlstellung des Knochens nicht behoben.

Heute wird die Fehlstellung des Knochens sowie die Funktionsstörung durch die Operation behoben.

Ursachen

Die Ursachen sind vielfältig. Frauen sind häufiger betroffen als Männer und eine familiäre Disposition ist bekannt. Ein instabiles erstes Mittelfussgelenk, aber auch ein Knick- oder Senkfuss können zu einer erhöhten Belastung und damit zu einer Fehlstellung führen. Weitere Ursachen sind Verletzungen der Grosszehe oder entzündliche Erkrankungen (Rheuma).

Am häufigsten sind aber wohl zu enge Schuhe im Vorfussbereich verantwortlich für die Entwicklung eines Hallux valgus.

Wie entsteht die Fehlstellung? Das Grosszehengrundgelenk hat zwei kleine Knochen (Sesambeine), welche im Verlauf der kurzen Beugesehne liegen und helfen die Sehnen über dem Gelenk zu zentrieren. Die kurzen und langen Beugesehnen wie auch die Strecksehnen sind im Normalfall genau über dem Grosszehengrundgelenk zentriert. Durch die Dehnung der Gelenkkapsel auf der Innenseite verschiebt sich das Gelenk nach innen und die Sehnen, die Muskelstränge und die Sesambeine sind nicht mehr über dem Gelenk zentriert, sondern laufen aussen am Gelenk vorbei.

Dadurch wird die Grosszehe nach aussen gezogen und das Abrollen über den Grosszehenballen beim Gehen wird beeinträchtigt. Der zweite Zehenballen, der dafür nicht vorgesehen ist, muss die Last übernehmen. Schmerzen und Schwielenbildungen sind die Folge. Durch die erhöhte Belastung im Gelenk der zweiten Zehe kann es dort ebenfalls zu Schäden kommen, was nicht selten zu einer Hammerzehe der 2. Zehe führt.

hallux-operation-eine-100-prozentige-sache-1

Abb. 1
Hallux valgus Fehlstellung
a) Abductor
b) Flexor Hallucis
c) Extensor Hallucis Longus
d) Adductor

Chirurgische Korrektur

Es gibt mehr als 100 verschiedene Techniken, eine Fehlstellung zu korrigieren. Im Prinzip wird je nach Ausmass der Fehlstellung der geeignete Eingriff gewählt, wobei es 2 grosse Gruppen von Eingriffen gibt: Die gelenknahe Korrektur oder eine gelenkferne Korrektur.

Gelenksnahe Korrektur

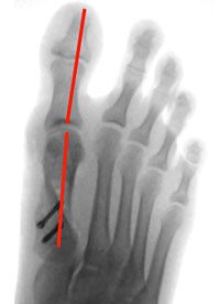
Die gelenksnahe Korrektur ist die häufigste angewandte Technik. Dabei wird der Mittelfussknochen nahe am Gelenk durchtrennt. In einem zweiten Schritt wird der Knochen in Richtung kleine Zehe verschoben und mit einer Schraube wieder zusammengefügt. Die Sehnen, die Muskelstränge sowie die Sesambeine werden damit genau über dem Gelenk zentriert.

Diese Technik ist nur dann möglich, wenn die Distanz zwischen dem 1. und dem 2. Mittelfussknochen nicht zu gross ist und die Fehlstellung eine reine Verlagerung des Knochens nach innen ohne Rotation in der Längsachse des Knochens beinhaltet. Ab einem gewissen Abstand muss der 1. Mittelfussknochen gelenkfern (ca. in der Mitte) durchtrennt werden, wobei der Abstand während der Operation nochmals geprüft wird. Vorteil dieser Methode: Nach der Operation kann sofort und voll belastet werden.

Gelenksferne Korrektur

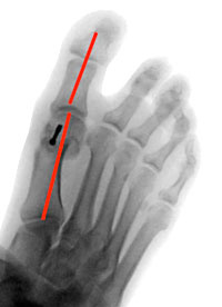
Wie bei der gelenksnahen Technik wird bei der gelenksfernen Korrektur der Knochen in Richtung Kleinzehe verschoben und wieder zusammengefügt. Der Nachteil dieser Methode: der Knochen ist nach der Operation noch instabil und kann nicht sofort voll belastet werden. Für ca. 6 Wochen werden ein Spezialschuh sowie Gehstöcke notwendig. Die Schrauben müssen in der Regel nicht entfernt und können ein Leben lang belassen werden.

Die gelenksferne Korrektur mit den zuverlässigsten Resultaten in der Hallux-Valgus Chirurgie bietet die Versteifung des ersten Mittelfussgelenkes. Das meist instabile Mittelfussgelenk wird versteift, jedoch hat der Patient dadurch keine Bewegungseinschränkung. Dies weil das Gelenk bei Gesunden nur ein Bewegungsausmass von etwa 10 Grad ausweist. Die Vorteile dieser Versteifung sind, dass auch sehr ausgeprägte Fehlstellungen mit Rotationsfehlern in der Längsachse des Knochens behoben werden können. Ein erneutes Wiederauftreten des Hallux valgus ist deutlich geringer als bei den anderen Operationstechniken. Das Grosszehengrundgelenk kann nach der Operation aggressiver bewegt werden und weist weniger Vernarbungen mit Bewegungseinschränkungen auf.

hallux-operation-eine-100-prozentige-sache-2

Abb. 2
Gelenknahe Korrektur

hallux-operation-eine-100-prozentige-sache-3

Abb. 3
Gelenkferne Korrektur

Zufriedenheit mit der Operation

Rund 85% der Patienten sind nach der Operation mit dem Resultat zufrieden. Die Resultate aus Studien sind unterschiedlich. Je nach Studie sind 5% bis 33% der Patienten trotz Verbesserung der Fehlstellung und Schmerzreduktion unzufrieden.

Was könnte schief gegangen sein, bei jenen 15% der Patienten, die nicht zufrieden sind?

Die Fehlstellung kann über- oder unterkorrigiert werden. Es kann zu einer Fehlverheilung des Knochens oder zu einer Verkürzung des Knochens kommen, was zu Schmerzen unter dem 2. Zehenballen führt. Es kann in seltenen Fällen zu einer Gelenksabnützung oder Arthrose, zu einer Minderdurchblutung des Knochens oder zu Nervenverletzungen kommen, obwohl während der Operation immer auf eine Schonung der Nerven geachtet wird.

Der häufigste Grund zur Unzufriedenheit ist das Wiederauftreten der Fehlstellung oder eine eingeschränkte Beweglichkeit des Grosszehengrundgelenkes durch Vernarbungen oder infolge der verkürzten Muskulatur. Das Wiederauftreten der Fehlstellung ist meist hervorgerufen durch das Tragen von ungeeignetem Schuhwerk nach der Operation oder die Folge einer Unterkorrektur.

Wie kann korrigiert werden?

Über- oder Unterkorrekturen können in einer Folgeoperation behoben werden. Auch Fehlverheilungen oder Verkürzungen der Knochen können operativ behoben werden.

Bei der Minderdurchblutung des Knochens mit Absterben des gelenknahen Knochens bleibt häufig nur noch die Versteifung des Grundgelenkes. Das gleiche gilt bei der Gelenksabnutzung (Arthrose). Die Erfahrung zeigt, dass die Versteifung des Grosszehengrundgelenkes von den Patienten erstaunlich gut toleriert wird – es gibt fast keine funktionalen Einschränkungen für alltägliche Aktivitäten. Einzig die Frauen müssen auf das Tragen von hohen Absätzen künftig verzichten.

Zusammenfassung

Bei richtiger Wahl der Operationsmethode sowie der korrekt durchgeführten und schonenden Operationstechnik sind 85% der Patienten mit dem Resultat zufrieden. Bei unbefriedigendem Resultat kann der Grund meist ausfindig gemacht und dementsprechend behandelt werden.

Interview mit Dr. med. Marc Merian

Herr Dr. med. Merian, wie viele Hallux valgus Operationen führen Sie pro Jahr durch.

Pro Jahr sind das ca. 80 Operationen.

Gibt es Vorsorgemöglichkeiten, damit ein Hallux valgus gar nicht entsteht?

Bei vielen Patienten könnte das Tragen von geeignetem Schuhwerk mit einer genügend breiten Zehenbox die Entstehung eines Hallux valgus verhindern.

Wann empfehlen Sie Ihren Patienten mit Hallux valgus die Operation?

Wenn die Lebensqualität durch die Beschwerden leidet. Ich empfehle die Operation nicht aus kosmetischen oder prophylaktischen Gründen.

Ansprechperson

Facharzt für: Orthopädische Chirurgie und Traumatologie des Bewegungsapparates