Die chronisch obstruktive Lungenkrankheit COPD ist die dritthäufigste Krankheit, die zu einem frühzeitigen Tod führt. Dabei wäre sie in den allermeisten Fällen verhinderbar - durch einen Rauchverzicht. Wird die Erkrankung allerdings früh diagnostiziert und ein Rauchstopp mit einer Therapie kombiniert, können die Beschwerden gelindert und kann der Verlauf verlangsamt oder sogar aufgehalten werden.

COPD (Chronic Obstructive Pulmonary Disease) ist ein Sammelbegriff für Erkrankungen der unteren Atemwege. Sie umfasst die chronische Bronchitis, die chronisch verengten Atemwege und das Emphysem (zerstörte Lungenbläschen). Die frühzeitige Diagnosestellung wäre durch einen einfachen Lungenfunktionstest (Spirometrie) möglich. Dieser wird in der Hausarztpraxis aber zu selten durchgeführt. Die Diagnose erfolgt häufig erst im fortgeschrittenen Stadium durch den Lungenspezialisten. Grund dafür ist, dass die Symptome der COPD schleichend auftreten. Die Betroffenen passen sich an die Beschwerden an und erkennen die Ernsthaftigkeit der graduellen Abnahme ihrer Lungenfunktion oft erst im Spätstadium.

Ursachen und Häufigkeit

In mehr als 75 % der COPD-Fälle ist das aktive oder passive Zigarettenrauchen verantwortlich für die Entwicklung der Krankheit. Andere Risikofaktoren sind gehäufte Atemwegsinfektionen in der Kindheit, die Rauchexposition bei Kohle- und Holzheizungen, Asthma, Luftverschmutzung oder die berufliche Exposition gegenüber Umweltgiften (z. B. Dieseldämpfe). Eine seltene Ursache (1–2 %) ist eine angeborene Enzymmangelkrankheit (Alpha-1-Antitrypsin-Mangel).

20 bis 25 % der regelmässigen Raucherinnen und Raucher entwickeln eine COPD. Insgesamt sind in der Schweiz rund 450 000 Personen von der Erkrankung betroffen. Etwa 4 000 Menschen sterben jedes Jahr frühzeitig an ihren Folgen. Die häufigsten Todesursachen sind dabei Atemversagen und Herzinfarkte. 

Entstehung

Tabakrauch enthält viele Schadstoffe, die in den Atemwegen und der Lunge chronische Entzündungen sowohl verursachen als auch verstärken. Sie tun dies zum einen, indem sie die dortigen Zellen direkt schädigen und damit Entzündungsreaktionen auslösen. Zum anderen stören sie die normale Immunreaktion und beeinträchtigen den natürlichen Reinigungsmechanismus der Lunge, was beides Entzündungen weiter fördert. Die Folgen sind eine vermehrte Schleimbildung (chronische Bronchitis), eine Störung der Mechanismen zur Gewebereparatur sowie eine Wandverdickung und Vernarbung der kleinen Atemwege (vgl. Abb. 1). Je nachdem kommt die Zerstörung von Lungenbläschen (Emphysem) dazu (vgl. Abb. 2).

Diese Vorgänge führen zu einer Reihe von krankhaft veränderten Körperfunktionen. Dazu zählen die Zunahme des Atemwegswiderstands, eine verminderte Elastizität des Lungengewebes, die ungleiche Luftverteilung in der Lunge und eine zunehmende Verengung der Atemwege. Diese Veränderungen sind irreversibel – im Gegensatz zur reversiblen Verengung der Atemwege, wie sie beim klassischen Asthma bronchiale vorkommen, wo andere Vorgänge die Entzündung verantworten.

Chronische Bronchitis
Abb. 1: Eine chronische Bronchitis führt zu einer Wandverdickung der
unteren Atemwege (Bronchien) und zu vermehrter Schleimbildung
(1 Gesunde Bronchie, 2 Bronchie bei chronischer Bronchitis)
Lungenemphysem
Abb. 2: Bei einem Lungenemphysem werden die Wände der Lungenbläschen 1 zunehmend zerstört, worauf Hohlräume entstehen, sogenannte Emphysemblasen 2.

Symptome und Diagnose

Eine COPD bleibt lange Zeit unentdeckt, da jede Raucherin und jeder Raucher gewisse «Rauchersymptome» beklagt. Wenn produktiver Husten (Husten mit Auswurf) jedoch nicht verschwindet und eine Atemnot unter körperlicher Anstrengung auftritt, sollte unbedingt eine lungenfunktionelle Untersuchung erfolgen. Sie erlaubt die Unterscheidung von COPD zu Asthma bronchiale, Herzinsuffizienz und Dekonditionierung durch Vernachlässigung körperlicher Aktivitäten.

In der Spirometrie erfolgt auf einfache, ungefährliche und kostengünstige Weise die Messung der Erstsekundenkapazität (FEV1) und der forcierten Vitalkapazität (FVC). Erstere bezeichnet die grösstmögliche Menge an Luft, die innerhalb einer Sekunde nach maximaler Einatmung ausgepustet werden kann. Letztere ist das Gesamtvolumen an Luft, das forciert ausgeatmet werden kann, ebenfalls nach maximaler Einatmung. Das Verhältnis von FEV1/FVC beträgt beim Lungengesunden 70–80 %. 

Der Schweregrad der COPD folgt den Vorgaben der GOLD-Stadien 1–4 (Global Initiative for Chronic Obstructive Lung Disease): Stadium 1: FEV1 ≥ 80 % des Sollwerts, 2: ≥ 50–80 %, 3: ≥ 30–50 %, 4: < 30 %.

Zur definitiven Etablierung der Diagnose COPD werden oft Zusatzuntersuchungen durchgeführt, wie Reversibilitätstest mit Ventolin (Asthmaspray), Allergietestung, Blutgasanalyse, 6-Minuten-Gehtest, CT des Brustkorbs, nächtliche Langzeitpulsoxymetrie (Messung der Sauerstoffsättigung im Blut) und selten auch Bronchoskopie (Lungenspiegelung). Besteht eine gewisse Reversibilität der Atemwegsverengung nach zwei Hüben Ventolin (Zunahme der FEV1>15 %), liegt eine asthmoide Komponente vor. Die Erkrankung ist eine Mischform und wird als Asthma-COPD-Overlap-Syndrom (ACOS) bezeichnet.

Prophylaxe und Therapie

Die COPD ist weder heilbar noch reversibel. Die wirkungsvollste Prophylaxe ist die Meidung der Risikofaktoren, insbesondere der Rauchverzicht. Das Auftreten von wiederholten Atemwegsinfekten sollten durch regelmässige Impfungen gegen virale (Grippe, COVID) und bakterielle Erreger (Pneumokokken) vermieden werden. Im Vordergrund steht eine kompetente Beratung zur Aufgabe des Zigarettenkonsums. Neben einem verhaltenstherapeutischen Ansatz kommen dabei auch unterstützende Medikamente (Nikotinersatz, Bupropion) zum Einsatz.

In den Stadien 1 und 2 der COPD, wo häufig noch eine leichte reversible Komponente der Atemwegsverengung und der Entzündung vorliegt, kann eine inhalative Therapie zur Weitung der Bronchien nach erfolgreichem Rauchstopp eingesetzt werden. In den fortgeschrittenen Stadien 3 und 4 steht neben dem Rauchstopp aufgrund der zunehmend verminderten Leistungsfähigkeit des Herzens und der Lunge eine intensive ambulante und stationäre pulmonale Rehabilitation im Vordergrund, ergänzt durch eine intensivierte inhalative Therapie. Die pulmonale Rehabilitation reicht von Atem- und Physiotherapie über Ausdauer- und Krafttraining bis zu Ernährungsberatung.

Lungenemphysem - eine Sonderform der COPD

Rund 30 % der COPD-Erkrankten entwickeln ein Lungenemphysem – mit oder ohne chronisch verengten Atemwegen. Die Lunge besteht aus 300 Millionen Lungenbläschen. Dort werden Sauerstoff-Moleküle aus der Luft ins Blut transportiert. Durch den oxidativen Stress aufgrund der eingeatmeten Schadstoffe entsteht ein zunehmender Verlust an Lungenbläschen, worauf in der Lunge Hohlräume entstehen (Emphysemblasen; vgl. Abb. 2). Der Sauerstofftransport aus der Luft ins Blut wird dadurch vermindert, und es entwickeln sich zunehmend eine Überblähung der Lunge und eine Störung der Atemmechanik mit verminderter Beweglichkeit des Zwerchfells, des wichtigsten Atemmuskels.

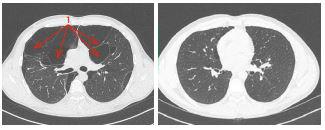
Fällt die Sauerstoffsättigung in Ruhe und unter Belastung unter 90%, ist eine Sauerstofftherapie angezeigt, die durch einen mobilen und/oder stationären Sauerstoffkonzentrator über eine Nasenbrille verabreicht wird. Beim fortgeschrittenen Lungenemphysem kommt nach Ausschöpfen der konservativen Therapien auch eine bronchoskopische oder operative Lungenvolumenreduktion (LVRS) in Frage, bei der die überblähten Lungenteile entfernt werden (vgl. Abb. 3). Die Auswahl der Patienten erfolgt bei uns an einem interdisziplinären Emphysemboard. 

Emphysemblase
Abb. 3: Lunge mit grossen Emphysemblasen (1) vor einer LVRS (links)
und danach (rechts)

Fazit

Rauchen ist das grösste vermeidbare Gesundheitsrisiko in den westlichen Industrienationen. In der Schweiz sterben pro Jahr 9 500 Personen an den Folgen des Tabakkonsums, 4 000 davon an COPD. Für die Allgemeinheit entstehen gemäss BAG Kosten in Milliardenhöhe. Der Rauchstopp ist somit die wichtigste Einzelintervention in der Medizin. 

LungenZentrum Hirslanden
Klinik Hirslanden
Witellikerstrasse 40
8032 Zürich
+41 44 387 22 55

Autor:

Facharzt für: Allgemeine Innere Medizin , Pneumologie (Lungenkrankheiten)

Glossar

  • Kleine Atemwege:  feinste Verzweigungen der Bronchien. Der Fachausdruck lautet Bronchiolen. An ihren Enden befinden sich die Lungenbläschen (Alveolen).
  • Oxidativer Stress: Ungleichgewicht zwischen freien Radikalen und Antioxidantien. Freie Radikale sind Moleküle mit einem ungepaarten Elektron. Sie können Gewebe schädigen, indem sie von anderen Molekülen Elektronen «stehlen». Antioxidantien sind Moleküle, die freie Radikale neutralisieren, indem sie ihnen eines ihrer Elektronen abgeben. Wenn die Menge der freien Radikalen die der Antioxidantien übersteigt, tritt oxidativer Stress auf.
  • Bronchoskop: flexibles optisches Instrument (Endoskop) zur Diagnose und Therapie von Lungenkrankheiten

Medienverantwortliche

Britta Seifried-Fedder
Britta Seifried-Fedder
Medien- und Kommunikationsverantwortliche